د.عبدالله الفريج
د.عبدالله الفريج

@Abdullahk88

12 تغريدة 52 قراءة Aug 02, 2022
أضراس العقل🦷: ماهي أضراس العقل؟ هل صحيح يجب خلعها؟ هل صحيح اذا كانت مايله تخرب صفة الأسنان؟ تابع معي 👇🏼#ثريد
أولا: بسم الله الرحمن الرحيم
لاتنسون متابعه الحساب، فيه ثريدات مفيده ، وأي أستفسارات أنا لكم بأي وقت 🤍
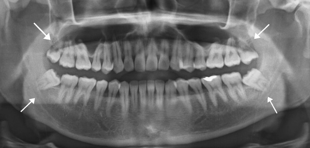
أضراس العقل أو الرحى الثالثه: هي أخر أضراس موجوده في الفك من جهة الخلف وكل أنسان يكون عنده ٤ في كل ربع واحد ، يكتمل بزوغه في اواخر *الطعشات* 😆 وبداية العشرينات ، هاذي صورة أشعة توضح مكانه حطيت لكم سهم عليهم 👇🏼
ليش تصير مايله؟ عند أغلب الناس بالذات اللي تحت؟ في أغلب الحالات الميلان يكون بسبب موقع السن نفسه لانه يعتبر في اخر الفك، ولعدم وجود مساحة كافيه في الفك يخرج بشكل مائل لكن بعض الناس يطلع عندهم بشكل قائم..
وفي معلومه لا أعلم هل هي صحيحه أم لا لكن يقولون أن الأنسان كان فكه في العصور القديمه أكبر مما هو عليه الأن ف لذلك كانت أضراس العقل تخرج بشكل سليم،،
متى يجب خلع أضراس العقل؟
أولا إذا كانت مائله تعتبر مخبأ لبقايا الطعام ويصعب على الفرشه أن تصلها مما يؤدي لتسوس ضرس العقل نفسه، أو يسبب تسوس للسن اللي قبله مما يؤدي في المستقبل لخلع ضرس العقل نفسه والسن اللي قبله 🤷🏻‍♂️
ثانياً : إلتهاب الأنسجه المحيطة بالسن نفسه بما يسمى pericoronitis وهي حالة مؤلمه تصيب الأنسجه حول السن تكون ملتهبه ومتضخمه وتغطي السن مما يؤدي الى ألم أثناء الأكل
علاج الحاله إما الخلع ، أو قص الجزء الزائد من الأنسجه بالليزر، وفي الغالب يحتاج مضاد حيوي
ثالثاً عدم الأطباق: بسبب ميلان أضراس العقل لن يكون هناك إطباق بين السن العلوي والسفلي، وبذلك لن تستفيد من الضرس , على قولتنا وجوده مثل عدمه
أما موضوع أن ضرس العقل يخرب صفة الأسنان الأماميه أثناء خروجه ، أكدت أغلب الدراسات أن أضراس العقل بريئه من هذا الكلام ولا تسبب أي إزدحام للأسنان 🦷
صعوبة خلعه؟ الصعوبه تعتمد على بزوغ الضرس:
١-ظاهر بشكل كامل وهو الأسهل
٢- يظهر بشكل جزئي
٣- مدفون بالكامل وهو الأصعب في الغالب
معلومة سريعة: لو كانت أضراس العقل عندك بازغه بشكل سليم ومستقيم لاحاجه لخلعها ..
أتمنى كان شرح كافي ومبسط ، الله يحفظكم يارب ودمتم بألف خير 🤍

جاري تحميل الاقتراحات...