طراد الشريف | Trad
طراد الشريف | Trad

@PT_tradalshreef

17 تغريدة 35 قراءة Jun 17, 2022
اعوجاج إصبع القدم الكبير (ابهام القدم) - Hallux Valgus
🛑 ثريد تمارين وحلول لتخفيف الألم والمضاعفات
أكثر الإصابات شيوعا ويعتبر من الإصابات الي تتطور تدريجيا
في هذا الثريد صورت لكم تمارين و بنتكلم عن :
1- التعريف
2- الأسباب
3- الاعراض
4- طريقة التشخيص وشدة الإصابة
5- الطرق العلاجية
6- الدعامات
7- التمارين والعلاج اليدوي
8- بعض التعديلات للتمارين لتتناسب مع الانحراف تمارين تصحيحية
9- المضاعفات
التعريف : يكون بروز عظمي او نتوء عظمي وهذا النتوء يسبب ضغط والتهاب في الانسجة وتغير في وظيفتها الحركية ويسبب الام مع الحركة والمشي. يتضمن انحراف جانبي للخارج الإصبع الكبير وانحراف مشط القدم من الى الداخل.
🛑 نقطة مهمة ممكن التعايش معه ولا توجد علاقة بين التغير الهيكلي ودرج الالم
الاسباب ( غير معروفة ) بشكل جيد ولكن هناك عوامل داخلية وخارجية قد تلعب دور كبير في شدة الإصابة
1- العمر والوزن
2- ليونة الاربطة
3- الجينات الوراثية
4- النوع ذكر او انثى في الاناث اكثر.
5- الامراض العصبية والكسور.
6 - الامراض المزمنة مثل الروماتزم
7- لبس الأحذية الضيقة او الكعب العالي - النساء أكثر عرضة بنسبة ٣٥٪
خففو من استخدامه ولا داعي للخوف بشكل كبير منه.
ونصيحة التمارين ( المقاومة والمرونة تفيد في المحافظة على القدم بشكل كبير )
مو بس من انحراف الاصباع كذلك من الألم المصاحب للكعب.
الاعراض:
الورم المصاحب لإبهام القدم
احمرار
ارتفاع حرارة المفصل او حرارة سببها الالتهاب
الم شديد عند المشي لفترة طويلة
اخر الأسباب الوخز او التنميل.
نقطة مهمة مو كل الم في ابهام القدم يعني بسبب الانحراف ( اعرف سبب الألم قبل تبدا في اي تمرين )
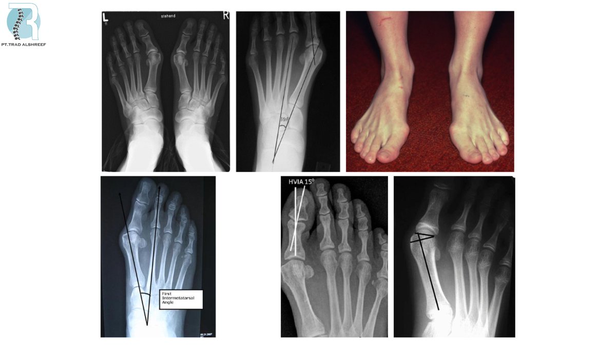
طريقة التشخيص: عن طريق الاشعة تتضح الصورة مثل هذه الصورة
شدة الإصابة: تنقسم الى ثلاث مستويات بناء على التغير في زاوية الأصابع للداخل وتقاس عن طريق الاشعة
الطبيعي انها تكون الزاوية ١٥ درجة وهذا طبيعي اما لو كانت ٢٠ وأكبر معناته هنا وجود الانحراف الغير الطبيعي.
الطرق العلاجية
وبناء على درجة الانحراف تتحدد الطرق العلاجية
-علاج تحفظي تمارين علاجية + عدم ارتداء الأحذية الضيقة من الامام + دعامات مساعدة.
-علاج جراحي (عن طريق إزالة النتوء الزائد، ولو كانت الزاوية عالية ممكن يكون هناك تعديل جراحي عن طريق استخدام شرائح للتثبيت)
الدعامات ما تصحح التشوه !! زي ما يعتقد البعض في دراسة بين مجموعتين مجموعة تستخدم الدعامات ومجموعة لا تستخدم النتيجة التأثير لا يذكر على المرحلة الخفيفة و المتوسطة من التشوه تمت خلال سنة. وكذلك الشريط اللاصق والأدوات المساعدة لتفريق الأصابع عن بعض بس تقلل الالم.
التمارين والعلاج اليدوي بعرض لكم الان مع شرح صوتي.
التمرين الاول ( تحرير عظمي ).
التمرين الثاني ( رفع القدم ) ما يسمى تمرين عضلات البطة - calf raises
تغيير بسيط للتمرين الثاني للتسهيل للمبتدئين او لمن يعاني من الم شديد.
التمرين الثاني زيادة الشدة ( مرحلة متوسطة الى متقدمة ) قوة اكبر مدى حركي اكبر.
التمرين الثالث تباعد الاصابع - Toe Spread Exercises
يقوي العضلات العميقة في القدم وخصوصا الخارجية + يخفف الألم
توضيح اكثر التمرين الثالث تباعد الاصابع - Toe Spread Exercises
بعض التعديلات للتمارين لتتناسب مع الانحراف تمارين تصحيحية بهدف تخفيف الضغط على مقدمة القدم.
المضاعفات : ممكن تكون تلف الانسجة قلة الحركة تيبس في المفصل.
التزامك في التمارين واستشارة مختص العلاج الطبيعي بتساعدك كثير في رحلتك العلاجية الف سلامة اتمنى كان ثريد مفيد للجميع.

جاري تحميل الاقتراحات...