Dr.Abdelmounim| د.عبد المنعم
Dr.Abdelmounim| د.عبد المنعم

@abdelmounimar1

4 تغريدة 40 قراءة May 01, 2022
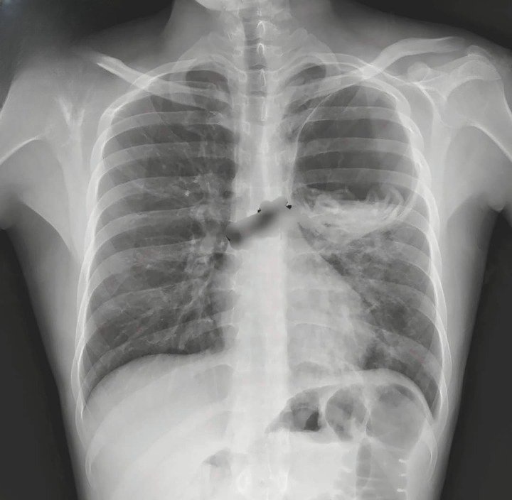
مريض عمره 35 سنة
يعاني مني سعال + بلغم + دم Hemoptysis
ما التشخيص المحتمل انطلاقا من الصورة المميزة 🪷؟
⬇️⬇️
#صوت_الطبيب
التشخيص المحتمل؟
هذه العلامة مميزة لمرض ما ..🪷
لن تنسوها بعد هذه التغريدة
Water Lily sign
يميز ال echinococcosis عندما ينفجر الكيس و تبقى أغشية الكيس تطيش في داخله !

جاري تحميل الاقتراحات...