نقطة مهمة في اختيار الشيد
اختيار الشيد قبل وضع الربر دام
الربر دام يسحب رطوبة السن في يصبح more opaque ابيض بزيادة ف بالتالي إختيار شيد خاطئ.
اختيار الشيد قبل وضع الربر دام
الربر دام يسحب رطوبة السن في يصبح more opaque ابيض بزيادة ف بالتالي إختيار شيد خاطئ.
Button try technique
هو اسم التكنيك في اختيار الشيد
طبعا فيتا شيد كلش ماينفع ف الكمبزت shade selection ينفع للسراميك
ليش؟ لانه كل شركة كمبزت تختلف عن الثانيه ف مثلا A2 من شركة tokuyama يختلف عن A2 من شركة ivoclar
ف لازم نجرب الكمبزت ع السن ونشوف الاضبط
هو اسم التكنيك في اختيار الشيد
طبعا فيتا شيد كلش ماينفع ف الكمبزت shade selection ينفع للسراميك
ليش؟ لانه كل شركة كمبزت تختلف عن الثانيه ف مثلا A2 من شركة tokuyama يختلف عن A2 من شركة ivoclar
ف لازم نجرب الكمبزت ع السن ونشوف الاضبط
ف مثل ما احنا عارفين السن يتكون من dentin , enamel
ف طريقة اختيار كمبزت دنتين تختلف عن الاينامل كمبزت
Dentin composite نختار الشيد من جهة cervical third or from canine
ليش ؟ لانه كمية الدنتين جدا عالية ب هالمنطقة
ف طريقة اختيار كمبزت دنتين تختلف عن الاينامل كمبزت
Dentin composite نختار الشيد من جهة cervical third or from canine
ليش ؟ لانه كمية الدنتين جدا عالية ب هالمنطقة
واختيار الاينامل شيد يكون من جهة
Incisal third
ليش لانه كمية الاينامل جدا عالية ب هالمنطقة
Incisal third
ليش لانه كمية الاينامل جدا عالية ب هالمنطقة
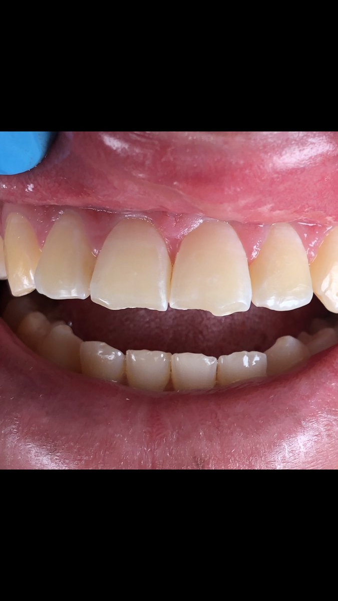
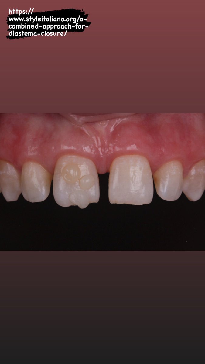
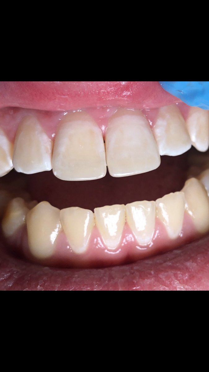
Button try technique
هو انه نجيب كمبزت 0,5-1mm من كل شيد احنا متوقعينه غالبا A3,A2 من دنتين ومن اينامل
العملية لازم تكون بسرعه ف نجهز القطع خارج في ورقة وبس يوصل المريض
ويفتح فمه نمسح السن من سلايفا ونحط الكمبزت ونعمل لايت كيور
هو انه نجيب كمبزت 0,5-1mm من كل شيد احنا متوقعينه غالبا A3,A2 من دنتين ومن اينامل
العملية لازم تكون بسرعه ف نجهز القطع خارج في ورقة وبس يوصل المريض
ويفتح فمه نمسح السن من سلايفا ونحط الكمبزت ونعمل لايت كيور
ليش لايت كيور لانه لون الكمبزت الحقيقي هو بعد عمل فولي لايت كيور له
ونطلب من المريض يمرر لسانه على السن اللي محطوط له الكمبزت بحيث يرجع له الرطوبة وناخذ صورة
ونطلب من المريض يمرر لسانه على السن اللي محطوط له الكمبزت بحيث يرجع له الرطوبة وناخذ صورة
جاري تحميل الاقتراحات...