كوثر فارس ¦ Kouther Faris
كوثر فارس ¦ Kouther Faris

@Koutherfaris

14 تغريدة 109 قراءة Mar 20, 2022
قرص دائري احمر وزاهي هو شكلها الطبيعي
نميزه بوضوح مع كل شريحة دم مصبوغة بمهارة لما نتمشى بين فيلداتها تحت عدسة المايكروسكوب 🔬✨
بس فيه اشكال غير طبيعية لخلايا الدم الحمراء
كيف راح تكون وايش ممكن يكون سببها ؟ 🤔
فضلوا التغريدة و لاتنسوا الريتويت وخليكم معاي 😉🔽
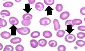
اول شي نشوف الشكل الطبيعي لخلايا الدم الحمراء ونفتكره كويس
قرص دائري احمر مفرغ نوعاً ما من المنتصف ✅
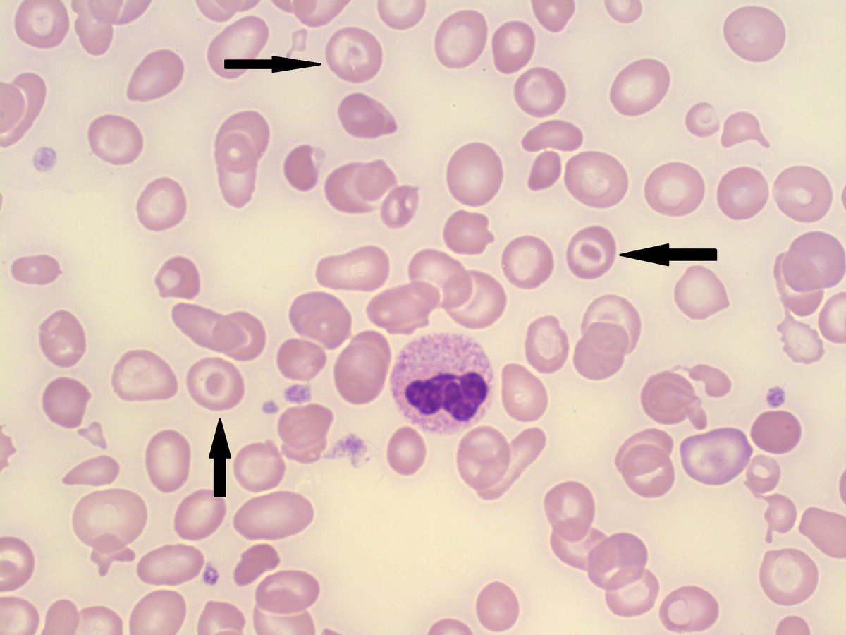
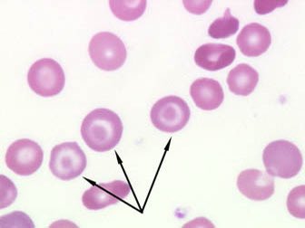
Target cells
فيه اربعة حالات مرضية تتسبب بانتاج الجسم لهذا الشكل من الخلايا وهما :
📌الثيلاسيميا
📌امراض الكبد واليرقان
📌اضطرابات هيموجلوبين c
📌استئصال الطحال
ممكن نلاقيها كمان باعداد اقل في :
📌الانيميا المنجلية
📌انيميا نقص الحديد
📌التسمم بالرصاص
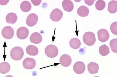
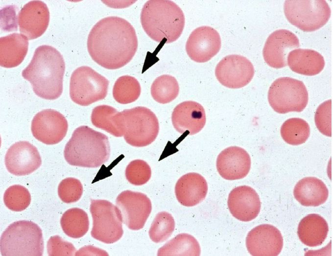
Spherocytes
دائره حمراء صغيره الحجم بلا اي معالم ثانية لها ، دائره ساده بالمعنى الحرفي 🤷🏻‍♀️
تكون موجودة في حالة مرضية وراثية اسمها
Hereditary spherocytosis
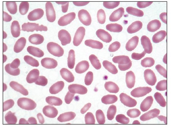
Elliptocytes
خلايا بيضاوية وطولية الشكل ،كما لو انه تم تمطيط خلايا الدم الحمراء الطبيعية 😅
لها اسم ثاني وهو pencil cells
تكون موجودة بشكل كبير جداً في حالة وراثية اسمها
Hereditary elliptocytosis 📌
بس كمان ممكن نشوفها بكميات قليلة في
📌انيميا نقص الحديد
Stomatocyte
Stoma يعني شيء شبيه بالفم ومن هنا جا اسمها بسبب شكل التجويف الي فيها.
حالات كثير مره ممكن تسببها زي :
📌الاورام
📌امراض القلب والشرايين
📌امراض الكبد
📌تعاطي الكحول
📌 استدام المريض لعلاجات او ادوية معينة مثلاً chlorpromazine
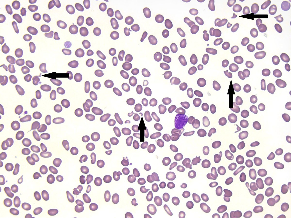
Teardrop cell
خلايا تشبه الدموع في شكلها 🩸
تكون موجودة حالات كثير منها :
📌تليف نخاع العظم
📌انيميا نقص الحديد الشديدة
📌الثيلاسيميا
📌سرطان نخاع العظم
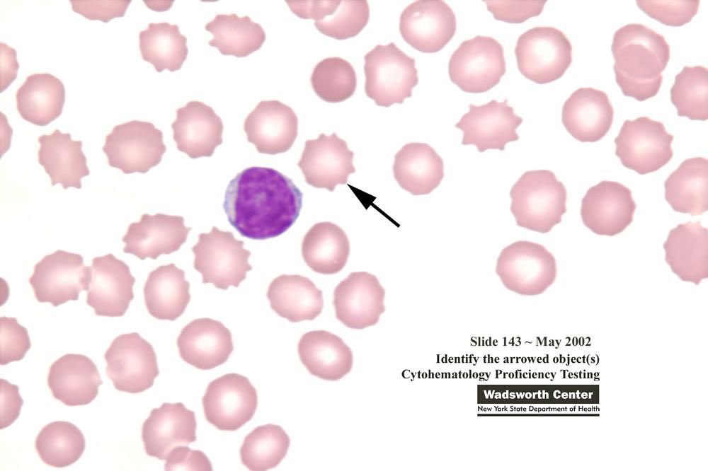
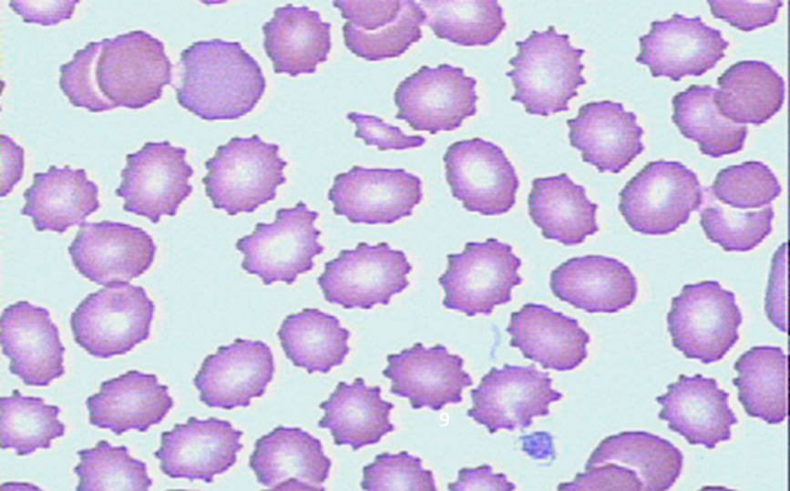
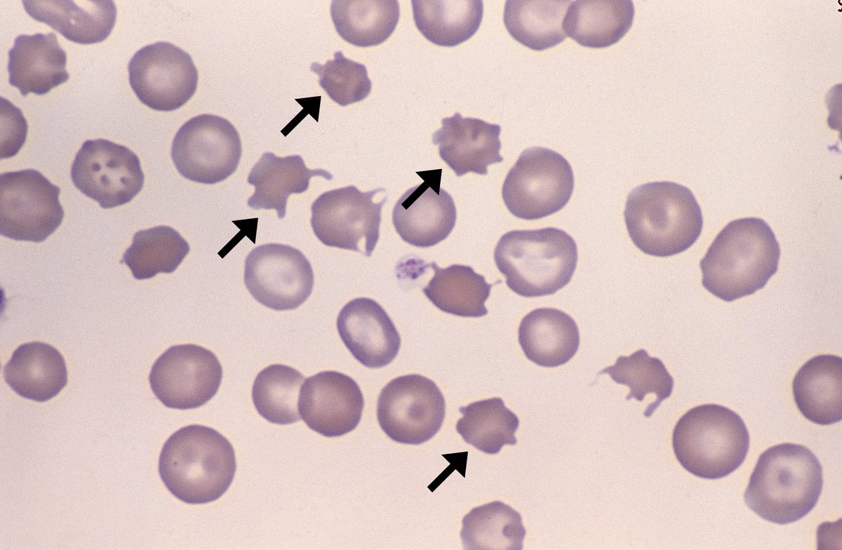
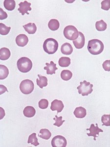
Burr cells
خلايا كأنها محاطه بأشواك زي القنفذ كذا 🦔
تكون موجوده في حالات كثيره ومتنوعة زي مثلاً
📌امراض الكلى
📌امراض الكبد
📌نقصان فيتامين E
📌فقر الدم الانحلالي
Alkalosis📌
Acanthocytrs
هي الخلايا الي تطلع منها اجزاء زي الشعيرات او الاصابع وسببها هو اختلال توزيع جزيئات الدهون والبروتين في غشاء خلية الدم الحمراء 👀
ممكن يكون وراثي
وممكن يكون بسبب حالات مرضية زي مثلاً
📌فقدان الشهية العصبي
📌استئصال الطحال
📌امراض الكلى
📌او تأثير بعض الادوية
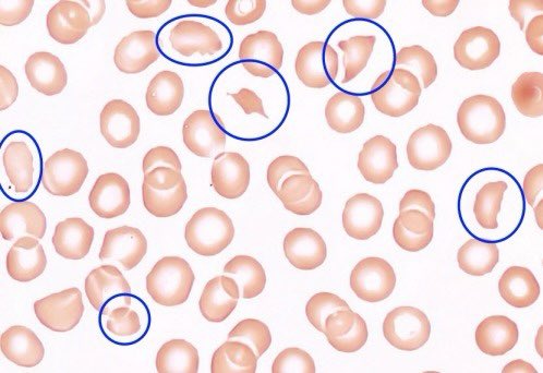
Schistocyte
ما اتوقع ينفع نقول عنها خلايا، لانها الاجزاء المدمرة من خلية الدم الحمراء الطبيعية
جزيئات صغيره محطمة ومدمره 😔
عاده ما نلاقيها في فقر الدم الانحلالي
(الي تتكسر فيه خلايا الدم)
Helmet cell
خلية الخوذة او الطاقية
هي كمان زي الي قبلها خلية دم بدأت بالتكسر والتحطم ونلاقيها عاده في حالة
Microangiopathic hemolytic anemia
(MAHA)
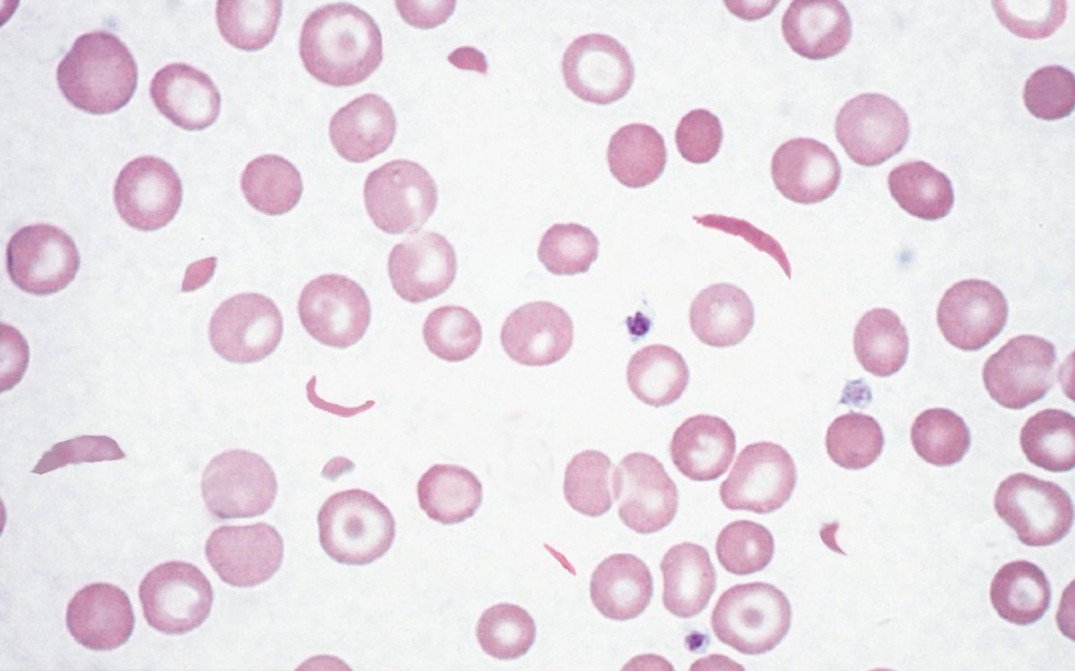
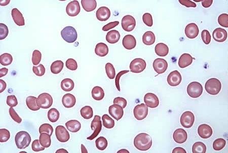
Sickle cell
خلايا الدم المنجلية او هلالية الشكل 🌙
تكون موجودة عند المرضى المصابين بمرض فقر الدم المنجلي او sickle cell anemia
في ثريد سابق ذكرت انواع الشوائب والتفاصيل الي ممكن نلاقيها داخل خلايا الدم الحمراء نفسها كمان شيكوا عليه 🔽✨
وبس والله تم بحمد الله ✨

جاري تحميل الاقتراحات...