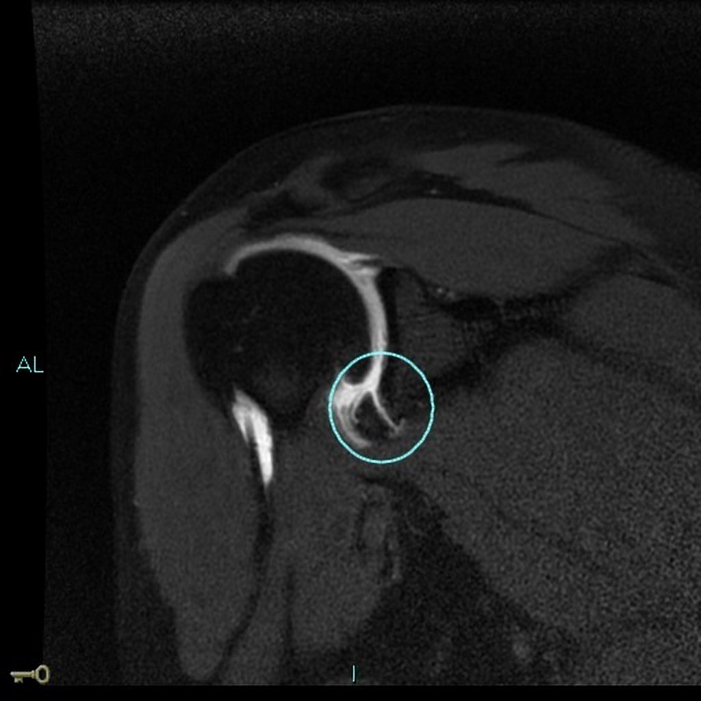
عندما يحدث هذا، يتشكل تجويف في مقدمة الحقاني الذي يسمح لرأس عظمة العضد بالانفصال فيه. 💡
معلومة 📍"سميت آفة بانكرت على اسم جراح العظام آرثر سيدني بلونديل بانكرت."
الأسباب المحتملة لخلع الكتف:
⁃حادث سيارة 🚗
⁃الوقوع على الكتف 🤕
⁃الإصابات الرياضية🏋🏻♂️
⁃ارتخاء الأربطة
⁃حادث سيارة 🚗
⁃الوقوع على الكتف 🤕
⁃الإصابات الرياضية🏋🏻♂️
⁃ارتخاء الأربطة
🛑📍 الأعراض:
⁃ألم بالكتف
⁃عدم ثبات بالمفصل
⁃ضعف في عضلات الكتف
⁃محدودية في الحركة
⁃ألم بالكتف
⁃عدم ثبات بالمفصل
⁃ضعف في عضلات الكتف
⁃محدودية في الحركة
العلاج:
⁃ غير جراحي
⁃ جراحي
⁃ غير جراحي
⁃ جراحي
" غالبًا يُفضل العلاج الغير جراحي مع كبار السن"
تتمثل إحدى مشكلات طريقة العلاج هذه أنه عند تثبيت الكتف بالحمالة، يميل الشفا الحقاني إلى الالتئام في المكان الخطأ قليلاً ، لذلك يتم تقليل عمق التجويف ، مما يجعل الكتف أكثر عرضة للخلع المتكرر.📍
تتمثل إحدى مشكلات طريقة العلاج هذه أنه عند تثبيت الكتف بالحمالة، يميل الشفا الحقاني إلى الالتئام في المكان الخطأ قليلاً ، لذلك يتم تقليل عمق التجويف ، مما يجعل الكتف أكثر عرضة للخلع المتكرر.📍
العلاج الجراحي:
“Bankart repair“
عادةً ما يتم إجراء إصلاح آفة بانكرت بالمنظار. يهدف لإصلاح وشد الأربطة المتمددة والمتضررة وكبسولة المفصل والغضاريف.
“Bankart repair“
عادةً ما يتم إجراء إصلاح آفة بانكرت بالمنظار. يهدف لإصلاح وشد الأربطة المتمددة والمتضررة وكبسولة المفصل والغضاريف.
لا بُد من الابتداء بالتأهيل فورًا بعد Bankart Repair،
الهدف من العلاج الطبيعي:
- تثقيف المريض
- تقليل الألم و الالتهاب
- تحسين معدل الحركة للكتف
- تحسين قوة العضلات
- تحسين ثبات الكتف
- زيادة القدرة على التحمل
- العودة إلى الأنشطة الوظيفية الكاملة
الهدف من العلاج الطبيعي:
- تثقيف المريض
- تقليل الألم و الالتهاب
- تحسين معدل الحركة للكتف
- تحسين قوة العضلات
- تحسين ثبات الكتف
- زيادة القدرة على التحمل
- العودة إلى الأنشطة الوظيفية الكاملة
جاري تحميل الاقتراحات...