كوثر فارس ¦ Kouther Faris
كوثر فارس ¦ Kouther Faris

@Koutherfaris

16 تغريدة 21 قراءة Feb 22, 2022
بإستخدام إبره وادوات فريده ، يتم التنقيب بين عظام النخاع وسائله للبحث عن اجوبة لأسئلة هامت في بال الطبيب ومريضه‼️
Bone marrow Biopsy & Aspiration💉🔬
راح نتعرف في هذا الثريد عن طبيعة هذا الاجراء وهدفه والتحاليل الطبية الي تنعمل منه 🤝
لايك وريتويت وخليكم معاي🔽
نخاع العظم
يمكن تسمعون المصطلح هذا بس مو عارفين هو ايش بالزبط ؟
نخاع العظم عباره عن نسيج ناعم يشبه الاسفنج ويحتوي بدوره على شبكه الياف غنية بسائل ويكون موجود داخل العظام الكبيره في اجسادنا
وهذا السائل مشبع
📌لخلايا الجذعية للدم
📌خلايا دم بمختلف مراحلها وانواعها
📌ومواد خام اساسية لإنتاج خلايا الدم
(حديد، حمض الفوليك، فيتامين ب١٢)
ومهمة نخاع العظم الاساسية هي انتاج وصناعة خلايا الدم بمختلف انواعها في الحالة الطبيعية وفي المرض اذا كان الجسم يحتاجها بصوره اكبر
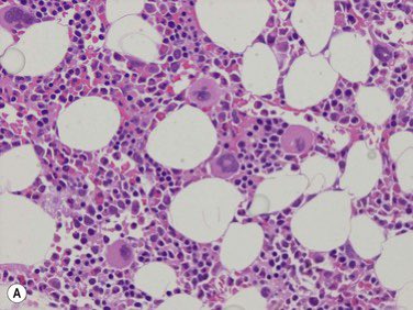
Bone marrow Aspiration
هو عملية جمع السائل الموجود داخل نخاع العظم
ويتم اجراء تحاليل كثير بإستخدام هذا السائل منها :
1️⃣الفحص المايكروسكوبي
بعد فرده على شريحة زجاجية وصبغة
وبعدها يتم تقدير الخلايا وتسجيل الملاحظات عليها بناءً على
(عددها،نوعها،مرحلتها،مظهرها، وغيره)
يتم تحديد٣ اشياء بشكل اساسي
📌M/E ratio
(Myeloid/erythroid ratio )
وهي النسبة بين بادئة خلايا الدم الحمراء و بادئة خلايا الدم البيضاء
📌Differential
يتم تحديد خلايا الدم الحمراء، البيضاء، والصفائح الدموية
هل هي موحوده بمختلف مراحلها واعداد طبيعية؟
يتبع…
📌presence of abnormality
تحديد وكشف الخلايا الغير طبيعية زي في حالات اللوكيميا مثلاً
2️⃣Flow cytometry immunophenotyping
قياس التدفق الخلوي المناعي
وابسط شرح لهذا التحليل هو تحديد انواع الخلايا المناعية بدقة
3️⃣ Chromosome analysis
والي شرحته سابقاً هنا
4️⃣ Fluorescence in situ hybridization (FISH)
بكل بساطة نقدر نقول انه هذا التحليل يحدد مكان وجود الجينات المستهدفه داخل خلية الانسان وفي اي جزء من الكروموسومات تحديدات
واكيد ممكن يتم تطبيقه على الخلايا المستخرجة من مصنع الخلايا ‼️
5️⃣ Molecular testing 🧬
وعينه سائل نخاع العظم تحديدا عشان تساعد في تشخيص حالات مرضية جينية زي مثلاً
📌T-cell receptor gene rearrangement
📌B-cell immunoglobulingene
rearrangement
📌JAK2 mutation
📌BCR-ABL
وغيرهم
6️⃣ Microbiology testing (culture)
للتاكد من وحود العدوى البكتيرية في حال الاشتباه فيها
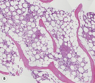
Bone marrow Biopsy
هي خزعة نخاع العظم او قطعة النسيج العظمي الاسفنجي نفسه 🦴
راح تروح على معمل الهيستوباثولوجي وهناك يتم التعامل معاها وتحضيرها وصبغها
وفحصها تحت المايكروسكوب لتحديد الاتي 🔽
📌cellularity
تحديد حجم الخلايا مقارنه ببقية مكونات نخاع العظم زي خلايا الدهون واذا كانت طبيعية مقارنه بعمر المريض
📌Differential
وجود خلايا الدم بانواعها ومراحلها بصوره كافية وطبيعية
📌Abnormalities
ملاحظة اي مظهر غير طبيعي ممكن يدل على عدوى او سرطان
يتم عمل هذا الاجراء باستخدام ادوات وابره مخصصة على يد طبيب متخصص في امراض الدم Hematologist
يتم اجراءه لتشخيص حالات مرضية كثير زي مثلاً
📌الانيميا الشديدة
📌امراض نخاع العظم مثل
Myelofibrosis
📌بعض حالات الدم الغير طبيعية مثل
Leukopenia or polycythemia
📌سرطانات الدم
📌العدوى المزمنة مثل الدرن
وبكذا نختم الثريد حقنا بعد ماصار عندكم تصور لهذا الاجراء وتحاليله
اتمنى انكم استفدتم وما اكون طولت عليكم
🙏🏻💜

جاري تحميل الاقتراحات...