DR. BAHRI
DR. BAHRI

@DrBahriii

9 تغريدة 23 قراءة Feb 15, 2022
كيف ممكن تصور صور زي كذا بالرينق فلاش وبدون ما يكون فيها انعكاسات على التركيبات!؟
تابع الشرح في التغريدات الجاية وحخليك تستغني عن السوفت بوكس في صور زي كذا 😌
الرينق فلاش عادة ما تقدر تطلع منه اضاءة ناعمة لأنه ما يركب له مشتت اضاءة ( diffuser )
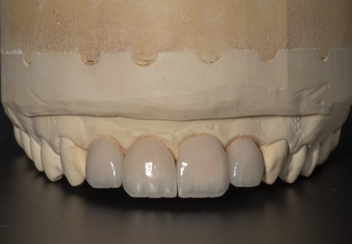
النتيجة المعتادة من التصوير بالرينق فلاش تكون زي الصور اللي تحت 👇
(شوفوا كيف الاضاءة ضاربة في وسط التركيبات)
فيه عدة طرق نقدر نحل فيها هذي المشكلة بدون ما نستخدم سوفت بوكس خصوصاً ان معظم الناس ما تقدر تشتريه
الطرق اللي استخدمتها كانت تتطلب انه يكون فيه صندوق تصوير المنتجات
الصندوق تلاقوه في متاجر كثير وفيه انواع مرة رخيصة ما تتعدى ٥٠ ريال (مو ضروري تاخذون اللي فيه اضاءة داخله)
فيه طريقتين استخدمتها أنا وكلها تهدف لتشتيت الضوء وكلها أعطتني نتائج ممتازة
الطريقة الأولى:
تجيب ورقة بيضاء أو قطعة قماش أبيض وتحطها قدام الفلاش وتصور
الطريقة الثانية:
توجه الرينق فلاش للسقف حق البوكس سواء بورقة زي الطريقة اللي فوق أو بدون ورقة (جرب بنفسك بورقة وبدون وشوف هل وصلت للنعومة حق الاضاءة اللي تبغاها او لا)
هنا في الفيديو الفلاش أنا موجهه للسقف واستخدمت كمان ورقة كمشتت اضافي للضوء.
هنا كواليس الصورة اللي في بداية الثريد وهذي اعداداتها
Lens: canon 100mm
Flash: Ring flash
Shutter speed: 1/160
F: 16
Iso: 100
هنا الفرق واضح بين الثنتين وبرضو اضطريت اني اغير في الاعدادات لما جيت اوجه الضوء بعيد عن التركيبات
التغيير اللي سويته كان في فتحة العدسة، الصورة اللي الفلاش موجه للسقف فتحت الفتحة حق العدسة شوية علشان الضوء يدخل فصارت الفتحة f/16
الصورة الثانية f/22 لأن الضوء زايد
يمين الفلاش موجه للسقف
يسار الفلاش موجه للتركيبات دايركت

جاري تحميل الاقتراحات...