د.عبدالملك الوهابي
د.عبدالملك الوهابي

@Drwahabi91

4 تغريدة 40 قراءة Jan 15, 2022
كما نوهت كثيرا ومرار وتكرارا يوميا تجي حالات معموله بالاخص فينير وتلبيسات وعندما يتم فحص السن يكون السن ميت وذكرت اسباب كثره ومتكرره وهي المبالغه في تحضير وحك السن للفينير والتلبيس وهو سن حي ومن غير متخصص وغير فاهم بخطورة هذا العمل وايضا وجود حشوات عميقه بهذا السن وفتحات بالتلبيس
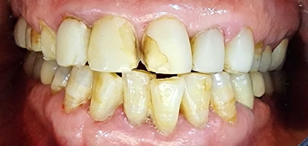
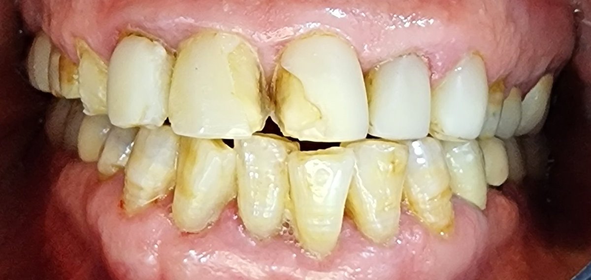
عندما نقول الكتاب باين من عنوانه معاناة المريضه بسقوط الفينير المتكرر مرتين وثلاث في الاسنان العلويه يتضح جليا مدى سوء العمل من بدايته الى نهايته فحص الاسنان كلها غير حيه ومتعفنه وايضا هل هذا يعتبر علاج فينير صحيح لا طبعا ولا تمت للفينير ولا التركيب بأي صله ولا علاقه
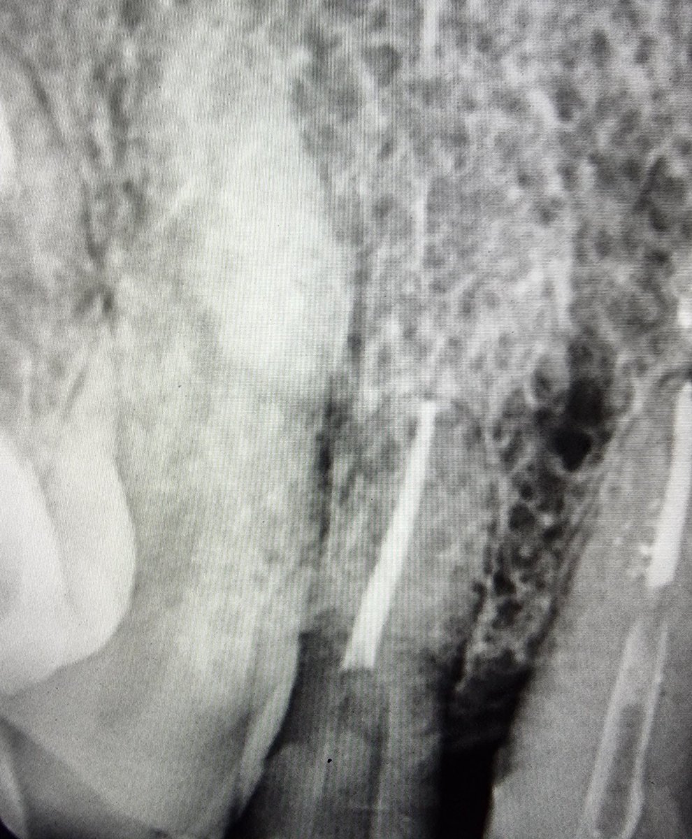
سن معمله علاج عصب وفراغ لم يعمل فيه وتد وتم التركيب عليه فينير وليس تلبيس كامل وهذي اخطاء مركبه
سن معمول له عصب ووتد ومعمول له فينير سيئ وليس تركيب ومتكسر وشكل بشع غير لائق بجودة عمل فاااضحه للاسف وغير مقبوله في تخصصنا
ناب تم فحصه ومركب عليه فينير سيئ السن تكلس وبالفحص السن ميت non vital تم فتح التكلس وعلاج العصب وجميع الاسنان الاماميه بهذا الشكل للاسف ان المريض ذكر لي انها بأرقى أرقى عيادات الرياض وهذا ما استغربته واثبت ذلك بالفعل يعني لا احد يقول المريض ملخبط

جاري تحميل الاقتراحات...