ياسر ابو دارين
ياسر ابو دارين

@YasserAbuDarin

8 تغريدة 92 قراءة Jan 02, 2022
(معلومة ع الهامش)
جسمك الخارجي عبارة عن شاشة عرض لما يحدث في الداخل مثلا اذا شفت بقع بنية متل النمش او بقع حمراء صغيرة في ساق قدمك فهذا مؤشر ان لديك مشكلة في الكبد او ضعف الدورة الدموية او علامة لمرض السكر
اما اذا شفت اوردة عنكبوتية او دوالي هذا مؤشرا على ارتفاع هرمون الاستروجين
2.بسبب ضعف الكبد لان احد مهام الكبد هي التخلص من فائض #الهرمونات مثل #الاستروجين.
اما اذا كان كعبك متشقق فهذا يحدث لسببين والسببين مرتبطين بالكبد فاما يكون السبب نقص فيتامين B 3
او نقص #اوميغا3.
ونقصهما قد يكون بسبب مشكلة في انتاج الكبد للمادة الصفراء في المرارة لانها المسؤلة عن
3.امتصاص #الفيتمينات والمعادن ومنها الاوميغا و B3
اما ان كان لديك #حكة في اسفل القدم اسفل القدم فهذا مؤشر على تراكم #السوائل في الكبد.
اما اذا كان لديك سخونة وحرارة اسفل #القدم ورائحة قدم كريهة فهذا يحدث لسببين
اما مشكلة في الكبد او #التهاب اللفافة الاخمصية
4.لانه عندما يعجز الكبد عن ازالة #السموم بشكل صحيح تتسرب هذه السموم عبر #الجلد فاذا كانت حالة الكبد سيئة فهذا يعني ان #نظامك الغذائي سيء بالتالي ستكون حالة الكلى سيئة جدا لانها ستتحمل عبئ تنظيف جسمك لوحدها
اما ان كان لديك #بواسير او #قولون فهذا يعني ايضا مشكلة في الكبد
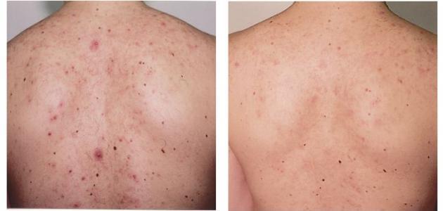
5.اما ان كان لديك دمامل او بثور او حبوب او بقع في الجلد فهذا ايضا مؤشر على تراكم السموم في الكبد
اما اذا ضغطت باصبعك على قدمك بشكل خفيف ولاحظت ان اصبعك ترك اثر كما عندما تفحص السمكة ان كانت طازة او لا فهذه الوذمة ايضا مؤشر على مشكلة في الكبد
اما اذا كان لديك فطريات في اظافر القدم
6.فهذا بسبب مشكلة في الكبد وهو ناتج عن اختلال توازن البكتيريا #الهاضمة في امعاءك
اما ان كان لديك #قشرة في الراس او #صدفية في الجلد او تحولت اطراف اظافر يدك الى اللون الابيض هذا بسبب ضعف الدورة #الدموية ومشكلة في الكبد
اما ان اردت الخلاص من هذه المشاكل فامامك خياران لا ثالث لهما
7.اما ان تغير نظامك #الغذائي السيئ وتتبع نظام صحي وافضل نظام يخلصك من هذا هو نظام #الكيتو او الصيام المتقطع
او ان بقيت مصر على نظامك السيئ فاعلى الاقل الخيار الثاني هو نظف #الكبد بحليب #الشوك ثم اذهب للطبيب ليفحص الكبد ويعرف مدى وحجم المشكلة.
اللهم هل بلغت اللهم اشهد.
8.تركيبة من اقوى منظفات الكبد من حليب الشوك والهندباء والزنجبيل والكركمين والفلفل الاسود والخرشوف
جرعة كبسولة بعد الغدا
iherb.co
اوميغا3 جرعة كبسولة بعد الغدا
iherb.co
كود الخصم DFG6823

جاري تحميل الاقتراحات...