ماهذا؟ ما فائدته؟ ما تأثيره على صحة الإنسان؟
#د_هيفاء_الراشد
#معلومات_عن_صحة_فمك
تحت التغريدة سأشرح موضوع
(استعمال الزينة حول الفم وداخله)
#سلسلة
اذا تعجبك، ما تعجبك، شايفها وودك تعرف عنها معلومات،ناوي تسوي، بنتك حطت، فضلوها❤️ وارجعوا لها وقت الفراغ أو الحاجة
#د_هيفاء_الراشد
#معلومات_عن_صحة_فمك
تحت التغريدة سأشرح موضوع
(استعمال الزينة حول الفم وداخله)
#سلسلة
اذا تعجبك، ما تعجبك، شايفها وودك تعرف عنها معلومات،ناوي تسوي، بنتك حطت، فضلوها❤️ وارجعوا لها وقت الفراغ أو الحاجة
الحلق حول الفم وداخله:
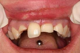
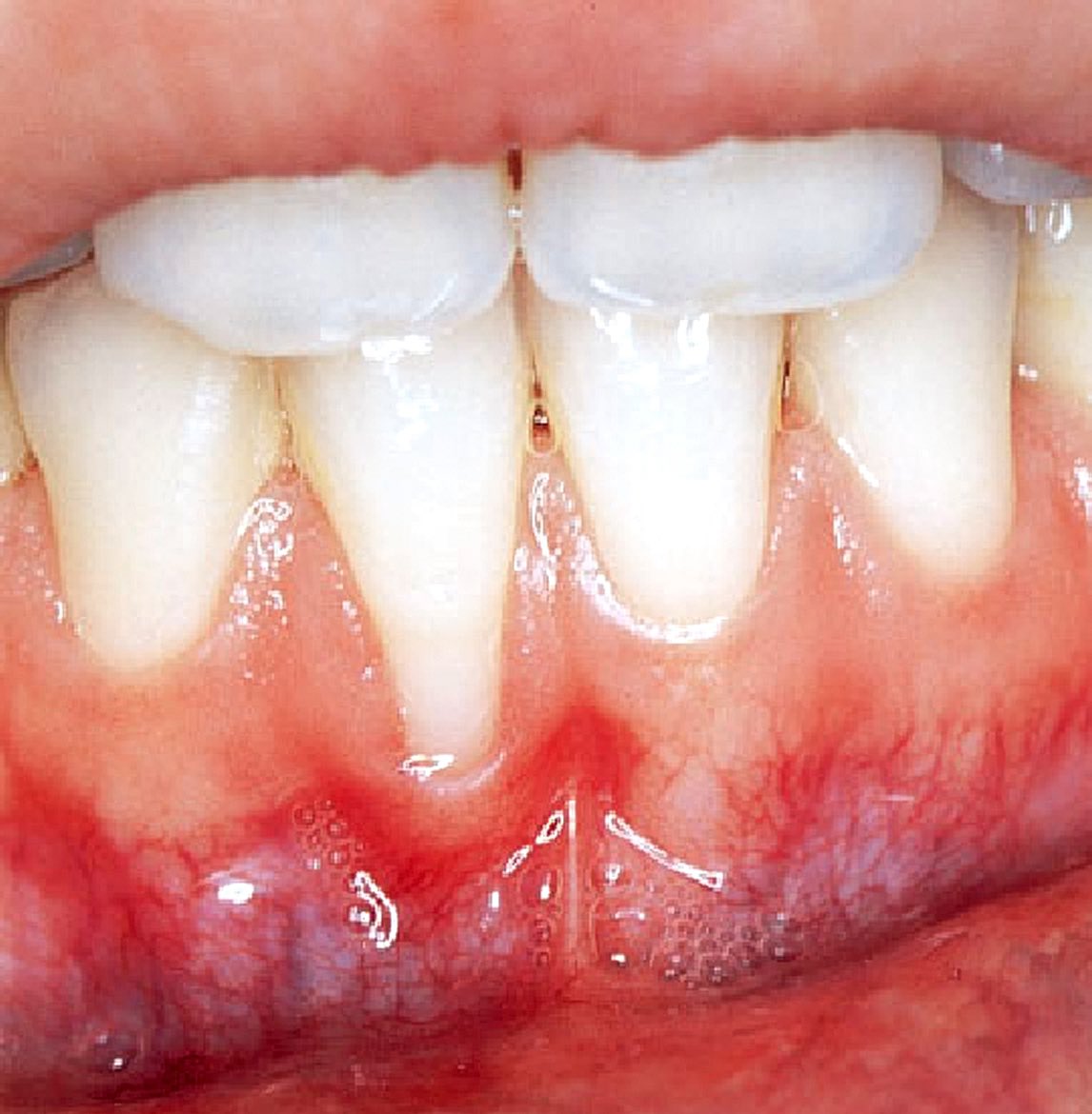
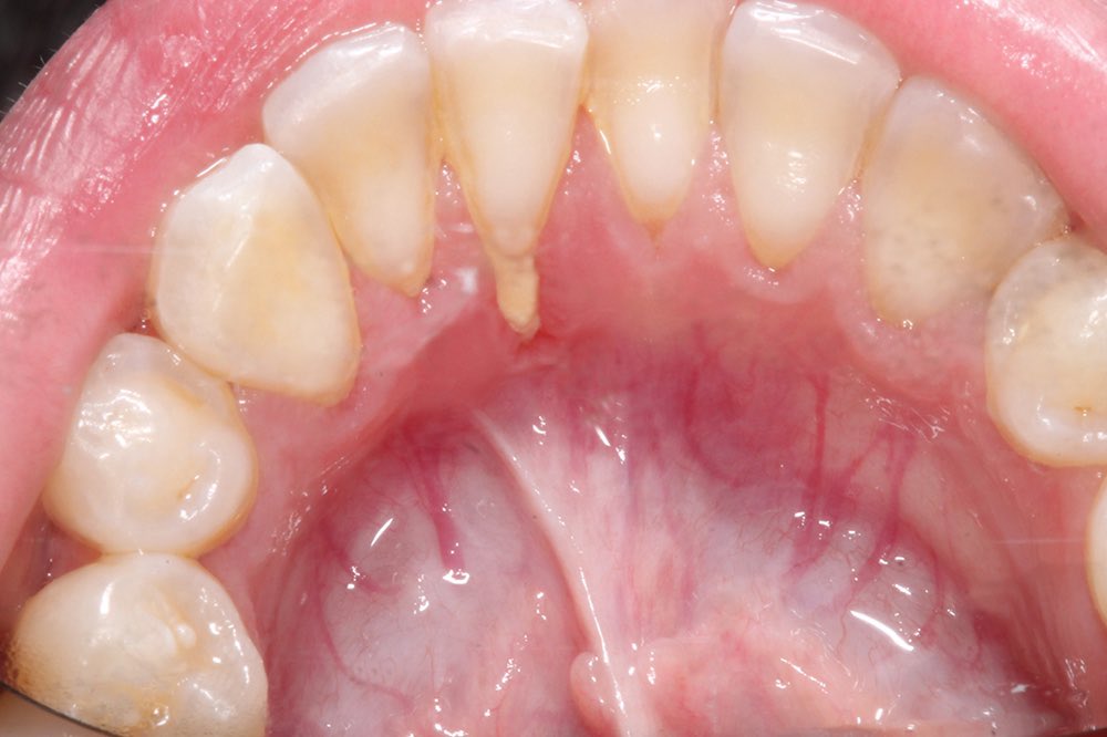
مع انتشار استعمال الحلق في منطقة الشفة واللسان.. أجد من واجبي التحذير من مضارها على المدى البعيد كإنحسار اللثة1️⃣أو تفرق الأسنان4️⃣والمدى القريب كالإلتهابات الحادة2️⃣وكسور الأسنان 3️⃣
فوجود هذه الاجسام المؤذية في مناطق دقيقة وحساسة غير مستحب
#د_هيفاء_الراشد
مع انتشار استعمال الحلق في منطقة الشفة واللسان.. أجد من واجبي التحذير من مضارها على المدى البعيد كإنحسار اللثة1️⃣أو تفرق الأسنان4️⃣والمدى القريب كالإلتهابات الحادة2️⃣وكسور الأسنان 3️⃣
فوجود هذه الاجسام المؤذية في مناطق دقيقة وحساسة غير مستحب
#د_هيفاء_الراشد
مشاكل ترتبط بتركيب الحلق في منطقة القم وحوله (٢):
-التهابات عضلة القلب
-تسمم الدم
-تعفن الدم
-صدمة إنتانية
-ذبحة صدرية
-تفاعلات الحساسية
-حساسية تلامسية
-التهابات عضلة القلب
-تسمم الدم
-تعفن الدم
-صدمة إنتانية
-ذبحة صدرية
-تفاعلات الحساسية
-حساسية تلامسية
بعض المشاكل الأخرى:
يمكن أن يتسبب وجود الثقوب في التجويف الفموي و حول الفم في حدوث آفات مختلفة ، بما في ذلك:
- الوذمة والآفات التفاعلية
-الغشاء المخاطي
-والتضخم الليفي الالتهابي
- الخراجات المحتجزة المخاطية.
- ورم ليفي رضحي ، وهو ورم موضعي
-نسيج إصلاح ليفي
يمكن أن يتسبب وجود الثقوب في التجويف الفموي و حول الفم في حدوث آفات مختلفة ، بما في ذلك:
- الوذمة والآفات التفاعلية
-الغشاء المخاطي
-والتضخم الليفي الالتهابي
- الخراجات المحتجزة المخاطية.
- ورم ليفي رضحي ، وهو ورم موضعي
-نسيج إصلاح ليفي
اللعاب:
وجود المعادن والزينات يحفز اللعاب ويزيد سيلانه.
مشاكل اخرى:
- الاختناق بالزينة
-صعوبة المضغ
-افساد اشعة الرئس والعنق
#د_هيفاء_الراشد
وجود المعادن والزينات يحفز اللعاب ويزيد سيلانه.
مشاكل اخرى:
- الاختناق بالزينة
-صعوبة المضغ
-افساد اشعة الرئس والعنق
#د_هيفاء_الراشد
في الختام:
لاحظت بعض التعليقات مسيئة للأشخاص الذين يضعون هذه الزينة..
يجب أن لا نهاجم الأمر وإنما نناقش بهدوء، الفئة الأكبر هي المراهقين..
والمصادمة أمر غير صحي، ولكل جيل تقليعات.
المراهق يحتاج رفق ولين وإقناع فقط..والقرار له وليس لنا ولسنا سوى ناصحين محبين ❤️
تمت #السلسلة
لاحظت بعض التعليقات مسيئة للأشخاص الذين يضعون هذه الزينة..
يجب أن لا نهاجم الأمر وإنما نناقش بهدوء، الفئة الأكبر هي المراهقين..
والمصادمة أمر غير صحي، ولكل جيل تقليعات.
المراهق يحتاج رفق ولين وإقناع فقط..والقرار له وليس لنا ولسنا سوى ناصحين محبين ❤️
تمت #السلسلة
جاري تحميل الاقتراحات...