سعود بن سلمان
سعود بن سلمان

@Sauds_qh

14 تغريدة 40 قراءة Dec 02, 2021
تجربة سيئة للكثير و قد نكون مرينا بها أو نعرف شخص قريب جربها، التغريدات القادمة ان شاء الله تفيدكم
في هذا الـ #ثريد راح نشرح أسباب التهاب العصب و علاجه و مقطع بالأخير شرح 🦷
إذا مشغول فضّل التغريدة وأرجع لها بعدين
بالبداية الحساب هذا شخصي راح يكون فيه محتوى علمي خاص بالأسنان و محتوى شخصي و أتمنى يفيدكم ❤️
أولًا فيه حاجة لازم نفهمها و هي طبقات السن تتكون من ثلاث طبقات (المينا، العاج، العصب)
- كل طبقة لها خصائصها و إذا تضررت يكون العلاج على حسب امتداد الضرر لأي طبقة
ركزوا معي التغريدة الجاية
- عند تكوّن التسوس يكون في الجزء الخارجي للسنّ و مع مرور الوقت و عدم علاجه يوصل لطبقات أعمق
- عادةً إذا كان التسوس في طبقة المينا، ما راح يحس المريض بأي ألم أو حساسية
- إذا وصل التسوس لطبقة العاج يبدا يحس المريض بحساسية و ألم مع ( البارد، الحامض، الحار )
- إذا وصل التسوس للعصب، يبدا يزيد الألم و يسبب انقطاع بالنوم و آلام قوية لدرجة إن بعض المسكنات ما تكون فعالة في هذه المرحلة (التهاب العصب)
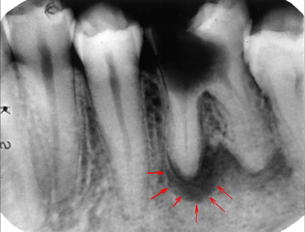
- إذا التهب العصب لفترة طويلة و ما تم علاجه يموت العصب و تبدا الالتهابات توصل لنهاية الجذور و الأنسجة الداعمة
- وش المشاكل اللي ممكن تصير بالمرحلة الأخيرة ؟
- يبدا المريض يحس بألم وقت العض، تكون خراجات متكررة، تآكل بالأنسجة الداعمة.
- طيب وش الحل ؟
الحل يكون على حسب المرحلة اللي وصل لها المريض و راح أذكر علاج كل مرحلة بالتغريدات القادمة.
إذا كان التسوس سطحي و على طبقة المينا فقط
- يكون العلاج بإزالة التسوس و عمل حشوة دائمة
- إذا كان التسوس وصل لطبقة العاج
العلاج يكون بإزالة التسوس و وضع طبقة عازلة تحت الحشوة الدائمة لتفادي الحساسية بعد الحشوات العميقة
-إذا كان التسوس وصل للعصب و مسبب التهاب بالعصب.
-يتم إزالة العصب و تنظيف القنوات العصبية و عمل حشوة للقنوات فيما بعد.
-العلاج ياخذ أكثر من جلسة غالبًا بناءً على عدد القنوات و وضع الجذور.
- وش بعد علاج العصب ؟
يتم تقييم الجزء المتبقي من السن بعد إزالة التسوس إذا كان يحتمل حشوة أو تلبيسة و قد يحتاج إلى وتد لدعم الجزء المتبقي من السن و راح تشوفون شرحها بمقطع تحت.
-حاجات المفروض نعرفها بعلاج العصب.
-يتم تقييم استجابة السن للعلاج و توقع النتائج من قبل الطبيب و ليست جميع الحالات متشابهة.
-المفترض أن الطبيب ياخذ أشعة قبل و أثناء و بعد العلاج.
-المفترض يتم استخدام العازل المطاطي أثناء العلاج للتقليل من نسبة فشل علاج العصب.
نصيحتي هي
-انكم تحافظون على الزيارة الدورية لأن بدايات التسوس تكون غير مؤلمة و ممكن اكتشافها و علاجها بطرق بسيطة قبل ما تتطور.
-عند الشعور بالألم أو الحساسية توجه للطبيب لا تطنش و تستخدم المسكنات لفترة طويلة لأنها تخفف الأعراض لكن ما تحل المشكلة.
في هذا المقطع حاولت أشرح الموضوع باختصار و ممكن يفيدكم

جاري تحميل الاقتراحات...