د. ياسر الهدّاب
د. ياسر الهدّاب

@Alhaddab_Yasser

8 تغريدة 43 قراءة Nov 26, 2021
🦴 آلام مشط #القدم !
عندك آلام في أسفل القدم ومتضايق منها؟ هل الألم مستمر معك أو خلال ممارسة نشاط معين؟
📍نتعرف على أهم الأسباب في سلسلة التغريدات القادمة ونجيب على تساؤلاتكم بما تيسر بإذن الله..
١-انتفاخ أو تورم العصب "Morton’s neuroma”
زيادة في سماكة الأنسجة حول أحد الأعصاب المغذية للأصابع.
وفيها يشعر المريض بوجود مثل الحصاة داخل الحذاء مع فترات ألم حاد أو كهرباء وتنميل بين الأصابع
العلاج إما بلبس أحذية واسعة من الأمام، حقن الكورتيزون أو التدخل الجراحي
٢-قصر في عضلة الساق الخلفية:
قد تكون قلة المرونة أو قصر العضلة الخلفية للساق سبباً لوجود آلام مشط القدم بحيث يكون الوزن أكبر على المشط عند المشي لعدم قدرة القدم على التحرك للأعلى بسبب الشد
ممارسة تمارين الاستطالة هي الحل و إرخاء العضلة جراحياً يكون عند فشل العلاج التحفظي.
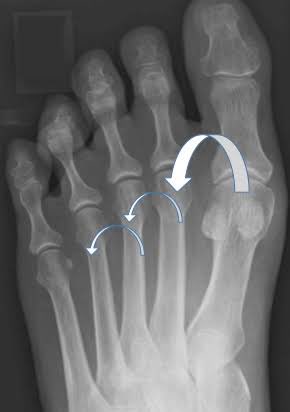
٣-القدم الجوفاء "ذات القوس العالي":
وجود قدم بقوس عالي "عكس المسطحة" يسبب خلل في توزيع الوزن على القدم.
حيث يصبح الوزن أثقل على منطقة الكعب و مشط القدم كما هو موضح بالصورة 👇🏼يلاحظ وجود تكلسات على المشط مما يدل على وجود وزن زائد عليها
٤-التهاب مفاصل الأصابع
وذلك قد يكون إما لأحد الأسباب المذكورة أو لإصابة سابقة!
قد يكتفى بعلاج المشكلة باستخدام دعامات خاصة توضع داخل الحذاء أو إبر الكورتيزون.. و يكون الحل الجراحي أخيرا بتعديل العظم لتخفيف الضغط
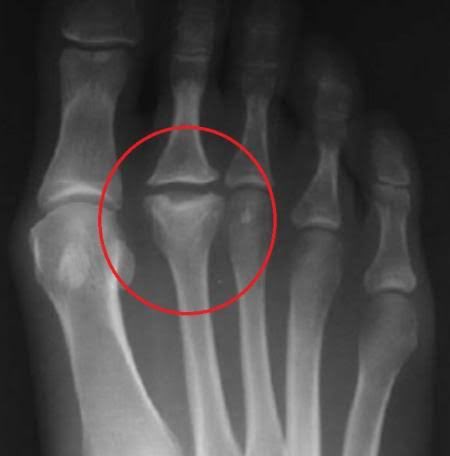
٥-متلازمة فرايبورغ:
عبارة عن نقص في التروية الدموية لمفصل قاعدة الأصابع ولا يعرف حتى الآن السبب الرئيسي لذلك
👈🏻يصيب النساء اكثر من الرجال بأربع مرات بين ١٤-١٨ سنة، خصوصاً من يمارسون الرياضة بشكل كبير ومستمر
بالأشعة المرفقة يلاحظ وجود تآكل في رأس المفصل لضعف التروية الدموية.
٦-انحراف أو خشونة في إبهام القدم:
من المعلوم بأن ٣٠٪ من الوزن يكون على إبهام القدم.
عند وجود خلل في الإبهام ينتقل الوزن للأصابع الأخرى مما يسبب آلام مزمنة وذلك لتحمل هذه الأصابع فوق طاقتها
ويطلق على هذه الظاهرة آلام مشط القدم الرجيعة
📌 الخلاصة:
- الأسباب كثيرة ويصعب حصرها و الفحص السريري شرط أساسي للوصول للتشخيص المناسب!
- احرص على زيارة طبيب متخصص.
- لا تستعجل بالحل الجراحي حتى تستنفذ جميع الحلول الأخرى بشرط عدم إهمالك للمشكلة على حساب صحتك!

جاري تحميل الاقتراحات...