عندنا حالة جديدة للمهتمين بالهستوباثولوجي والحالة 👍👍 فعلو التنبيه
Eosinophilic esophagitis..
هذه الصورة من نسيج المريئ..مصاب بحالة التهابيه تسمى!التهاب المريئ اليوزيني..
حيث تظهر عدد من كريات الدم البيضاء تسمى الeosinophils
بكميات كبيره على الغشاء المبطن للمرئ
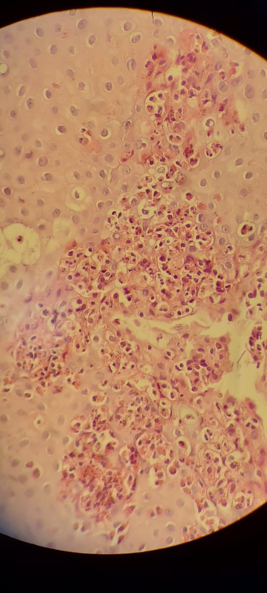
حيث تظهر عدد من كريات الدم البيضاء تسمى الeosinophils
بكميات كبيره على الغشاء المبطن للمرئ
التهاب المريء اليوزيني عبارة عن مرض مزمن في الجهاز المناعي يسبب تراكم كرات الدم البيضاء في بطانة الأنبوب الذي ينقل الطعام من فمك إلى معدتك (المريء).
يمكن أن يؤدي هذا التراكم، وهو رد فعل إلى التهاب أو إصابة أنسجة المريء و يمكن أن يؤدي تلف أنسجة المريء إلى صعوبة البلع أو التسبب في التصاق الطعام عند البلع.
وهي حاله التهابية وليست سرطانية ( مهم جدا )
والفكره المهمه هي مشاهده والتعرف على الازينوفيلز وهي في بطانة المريىء .
وما يميزها وجود كميات كبيرة من الازينوفيلز كما بالصورة
والصورة السابقة للحالة لدينا تم تصويرها لكم …. لا تنسوني من دعواتكم
والفكره المهمه هي مشاهده والتعرف على الازينوفيلز وهي في بطانة المريىء .
وما يميزها وجود كميات كبيرة من الازينوفيلز كما بالصورة
والصورة السابقة للحالة لدينا تم تصويرها لكم …. لا تنسوني من دعواتكم
جاري تحميل الاقتراحات...