كوثر فارس ¦ Kouther Faris
كوثر فارس ¦ Kouther Faris

@Koutherfaris

21 تغريدة 64 قراءة Nov 17, 2021
كأخصائي مختبر
عندنا فرصة نتأمل بديع صنع الخالق من خلال عدسة المايكروسكوب
نتأمل خلايا وأنسجة الجسم
بعد صبغها بألوان زاهية توضح تفاصيلها في حاله الصحة والمرض
في هذا الثريد راح اخذكم في جولة تعريفية مليئة بالألوان لصبغات ال Histopathology 🔬
لذلك لايك وريتويت وخلكم معاي 😉✨
في البداية لازم نعرف انه عندنا نوعين من الصبغات
1️⃣ الروتينية وهي
hematoxylin and eosin
الهيماتوكسلين قاعدية وترتبط مع الحمض النووي في نواه الخلية وتظهر باللون الازرق 🧿
الايوسين حامضية وترتبط بسايتوبلازم الخلية وتظهر باللون الوردي 🌸
2️⃣ الصبغات الخاصة
انواعها كثير ومن اسمها يتم استخدامها لانواع خاصة من الانسجة و لدواعي تشخيصية معينة 🧐
نبدأ نذكرها واحد واحد 🤝
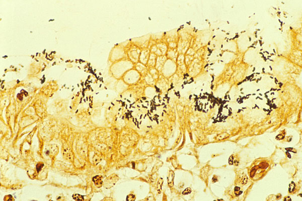
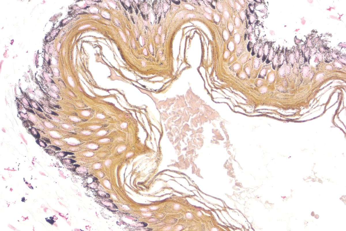
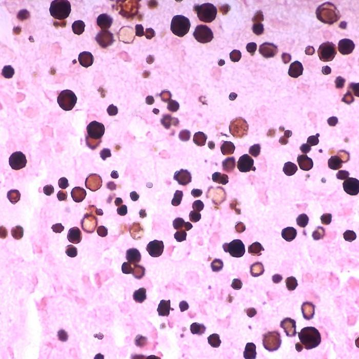
📌 Warthin Starry
يتم استخدامها للتشخيص باكتيريا
Spirochaete and H pylori
والنتيجة عندنا تظهر عندنا بالاسود للأثنين
اما بالنسبة الأنسجة يكون لونها اصفر الى البني
📌 Grocott methenamine silver nitrate
وتستهدف ٣ اشياء
الفطريات، الجليكوجين، المخاط mucin
تظهر الفطريات باللون الاسود
والمخاط بالرمادي
والجليكوجين بالبني
📌PAS
تستهدف جدار الخلية للفطريات و الكربوهيدرات
والاثنين يطلعون بلون اسمه ماجينتا
يعني كذا موف مايل عالفوشي (موفوشي؟) 🤔
المهم هذا المنظر الي راح تشوفوه 🤝⬇️
📌Giemsa
📌Crystal violet acetate
هذي الاثنين تستخدم للكشف عن بكتيريا ال
H. Pylori
وتظهر فيها باللون الازرق
والانسجة المحيطة بتدرجات الازرق 🧿👀
📌بالاضافة يتم استخدام ال crystal violet acetate
لصبغ الانسجة والخلايا العصبية والكشف عن
Nissl bodies
📌 DIFF QUICK
وتستهدف بكتيريا ال H. PYLORI
والي تظهر باللون الازرق الغامق
📌 Giemsa
تستخدم للكشف عن عدوى الطفيليات
زي الاميبا و الجيراديا
Entamoeba histolytica
Giardia lamblia
وتظهر فيها الطفيليات باللون الازرق او البنفسجي وكمان نواه الخلايا 👀🧿
والخلفيك او الانسجة المحيطة بالوردي 🌸
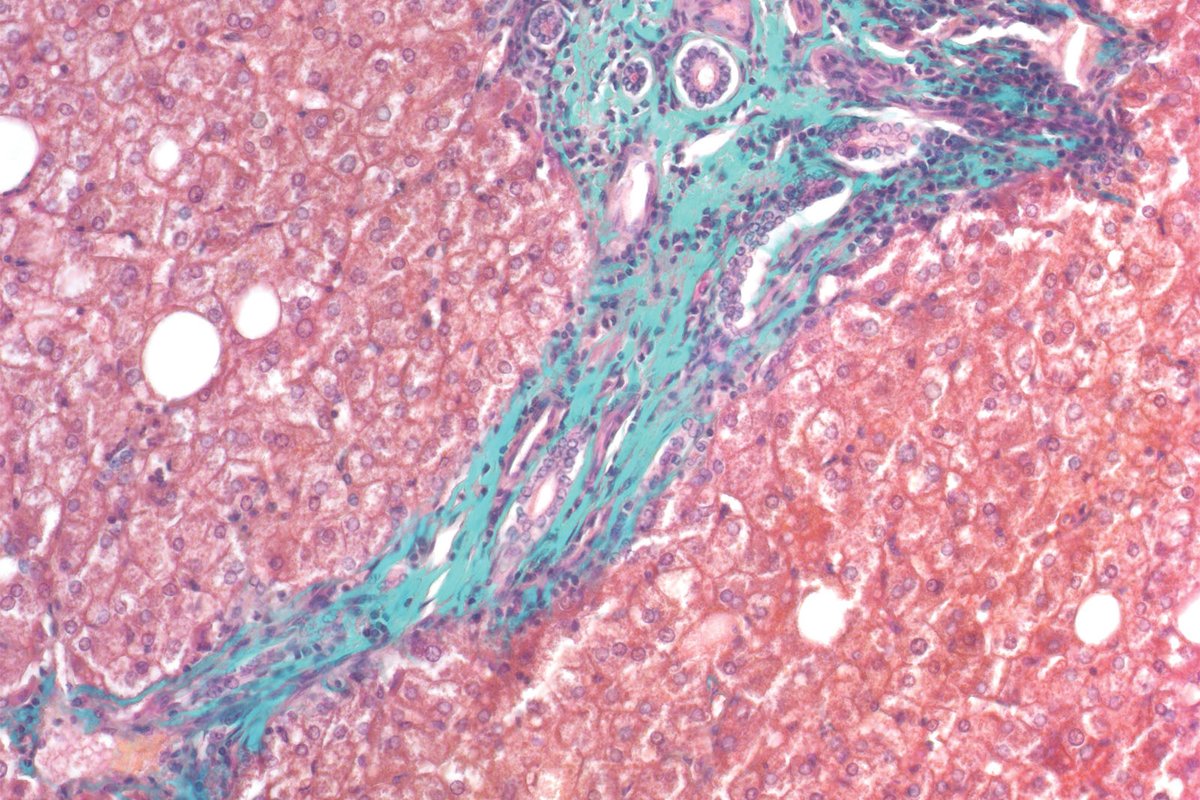
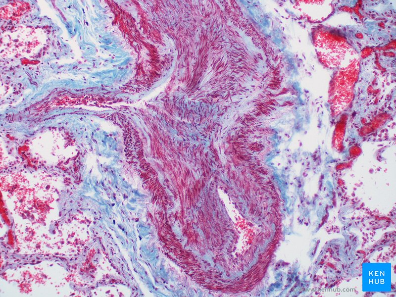
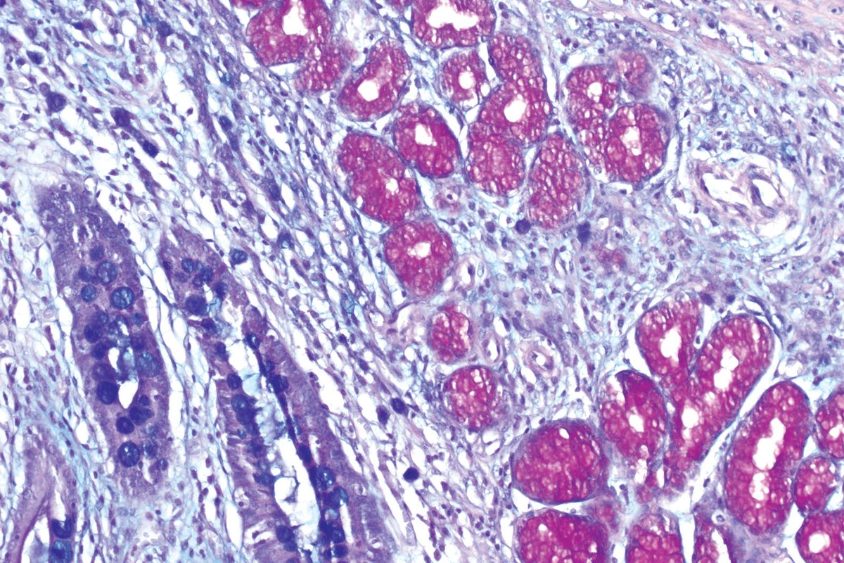
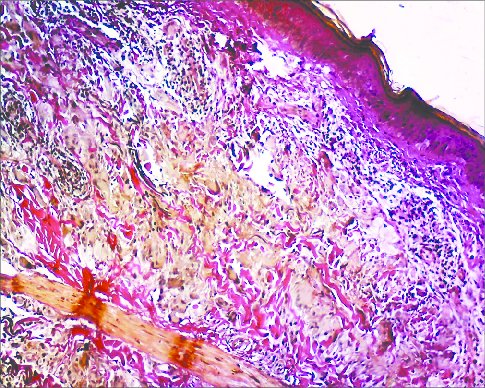
📌 Masson Trichrome
يستهدف الانسجة الضامة
Collagen ويظهر بالازرق\الاخضر
Muscle يظهر بالاحمر
Reticulin اخضر مزورق
Fibrin احمر
📌 Verhoeff Van Gieson
يستهدف الElastic Fibers
وتظهر فيه الانسجة كالاتي
Collagen احمر
Muscle, Elastin, Reticulin الاصفر
Nuclei ازرق غامق
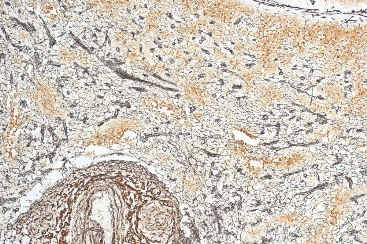
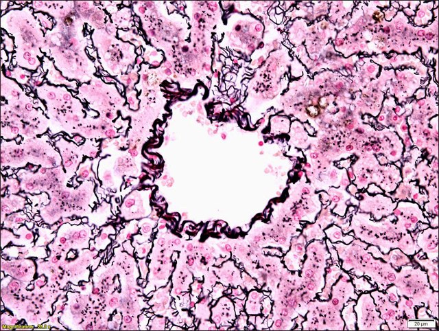
📌 Reticulin Stain
يستهد الياف ال Reticulin
وتظهر باللون الاسود
📌 Perls Purssian
يستهدف جزيئات الحديد، النواه والسايتوبلازم
وتظهر كالاتي
Ferric iron ازرق
Nuclei احمر
Cytoplasm وردي
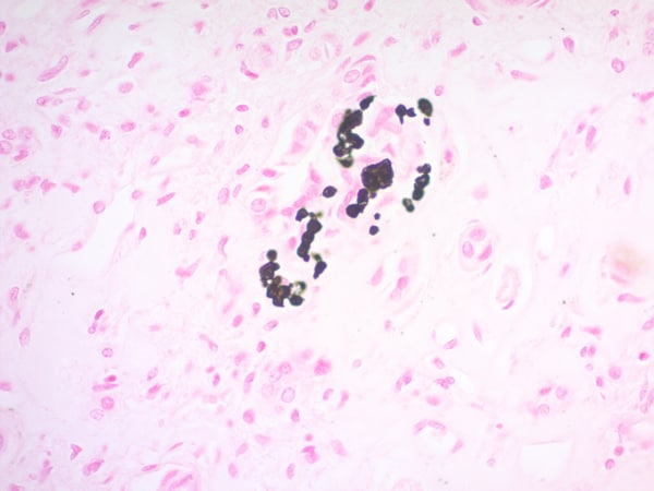
📌 Masson Fontana
يستهدف جزيئات الميلانين
وتظهر كالاتي
Melanin اسود
Nuclei احمر
📌 Von Kossa
تستهدف الكالسيوم، النواه، والسايتوبلازم
Calcium الاسود
Nuclei احمر
Cytoplasm وردي
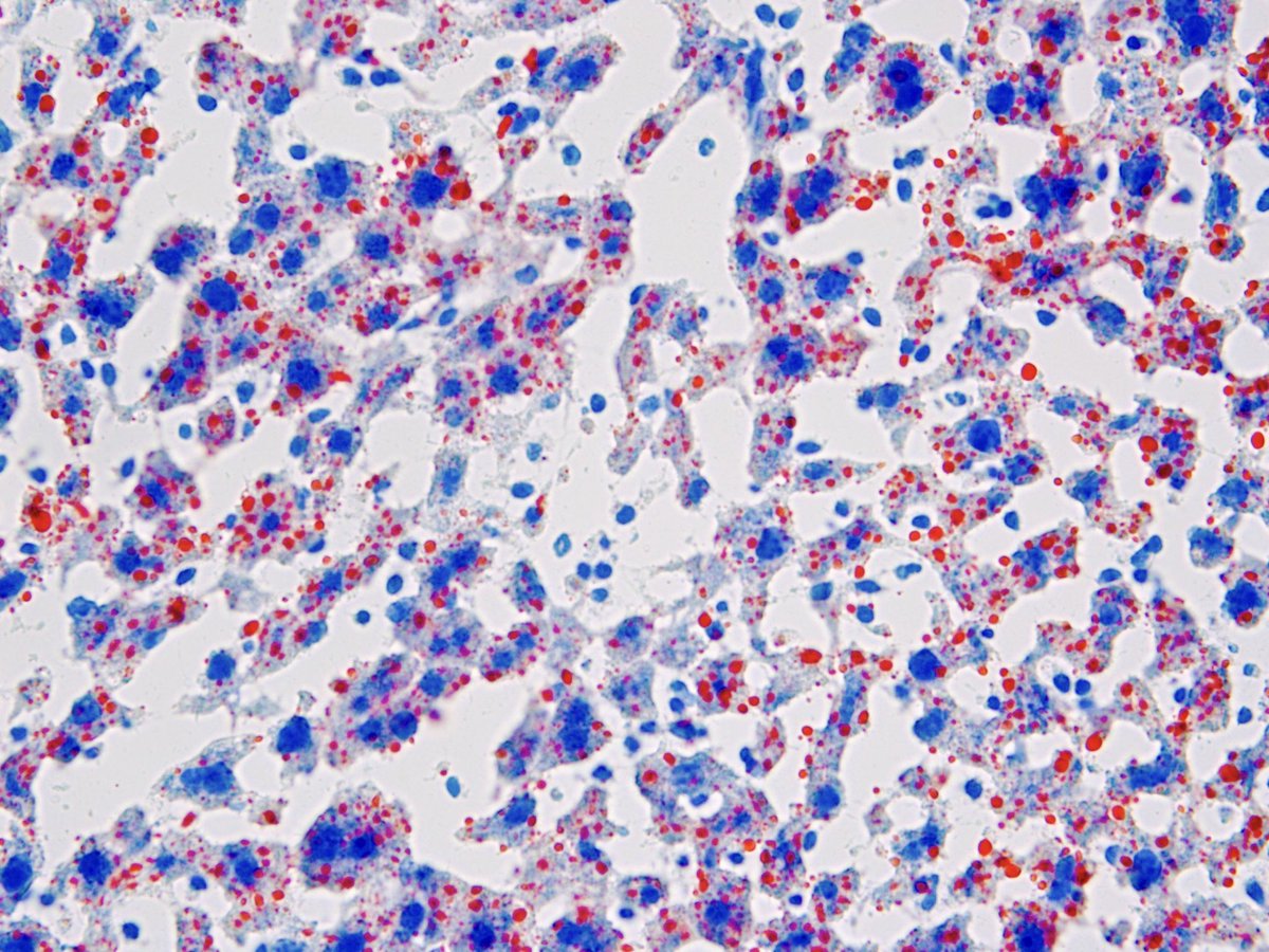
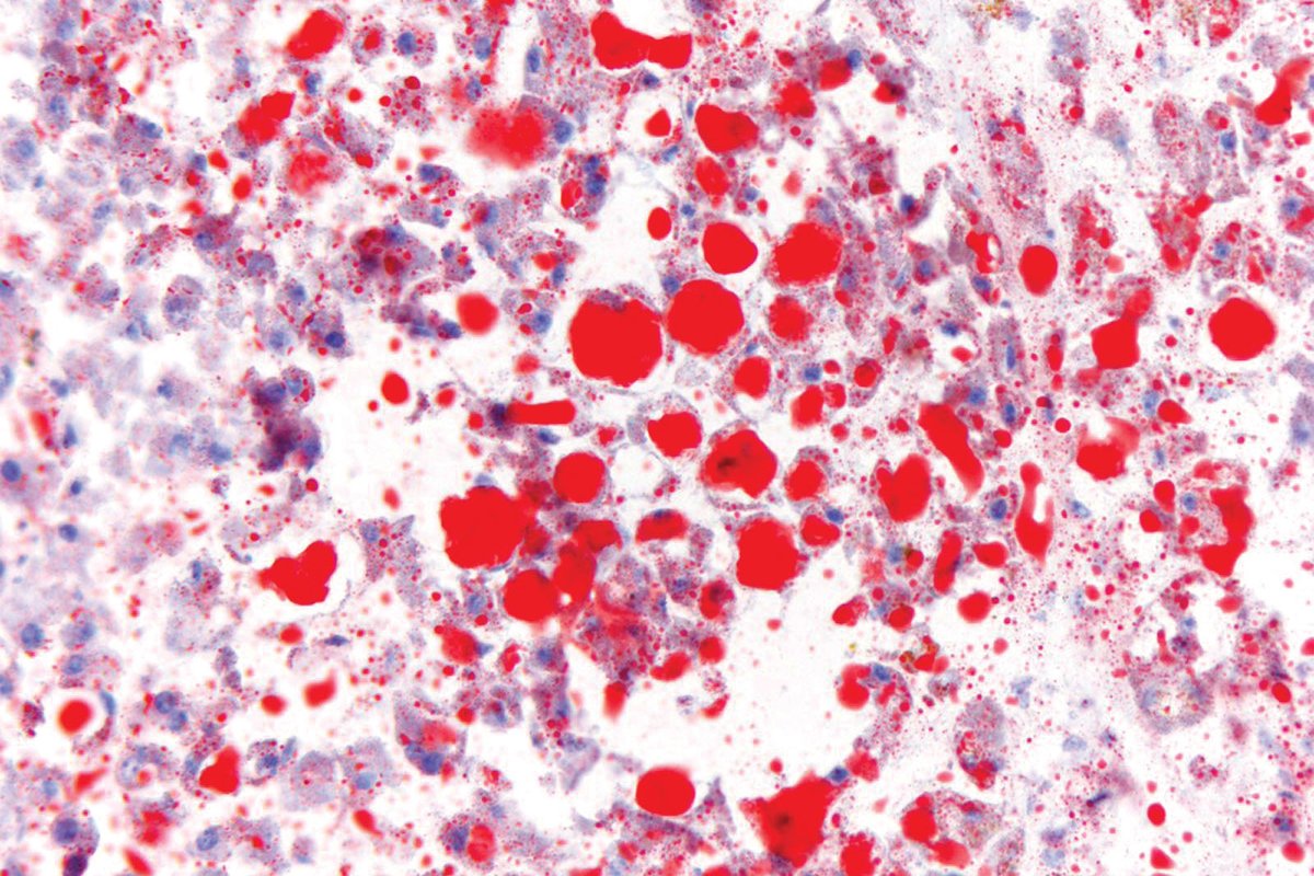
📌 Oil red o
يستهدف الخلايا والحزيئات الدهنية و النواه
Fats احمر
Nuclei ازرق
📌 Sudan black
تستهدف الجزيئات الدهنية (الليبدات)
Lipid اسود
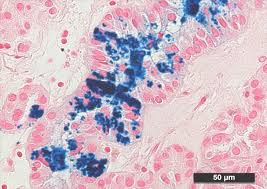
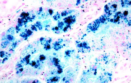
📌 Alican blue
يستهدف المخاط الحمضي او
ال Acid mucin والنواه 🤝
يظهر المخاط الحمضي باللون الازرق الغامق🧿
والنواه بالازرق العادي🌀
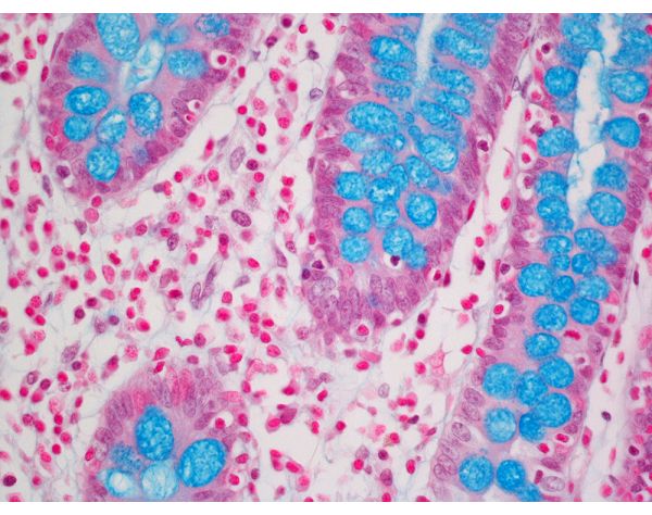
📌 Alcian blue PAS
يستهدف المخاط الحمضي و المخاط المتعادل
المخاط الحمضي يظهر باللون الازرق الغامق
والمتعادل بالمجينتا (الموفوشي)
بحمدالله اخيراَ انتهى الثريد
اتمنى انه كان مفيد وممتع بصرياَ لكم 🤍💜💗

جاري تحميل الاقتراحات...