د. حمد بن سيف الهنائي
د. حمد بن سيف الهنائي

@HamedAlHinai4

4 تغريدة 335 قراءة Sep 30, 2021
خشونة أو احتكاك الركبة :
١- هو مرض يصيب المفصل ويتسبب بتآكل وتحلل الغضاريف المبطّنة لجدار المفصل والتي توفّر دعامة مرنة للمفصل أثناء الحركة .
٢- ينتج عن التآكل الى ظهور نتوءات عظمية زائدة تتسبب في صعوبة في المشي والحركة وتصاحبها آلالم شديدة.
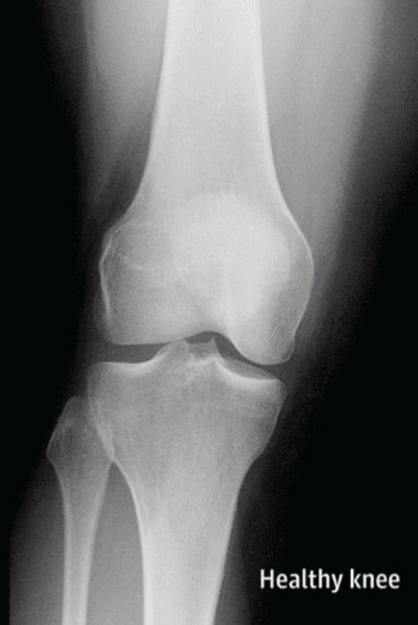
- ركبة سليمة👇
- الخشونة تمر بعدة مراحل.
- كل مرحلة لها علاج يختلف عن المرحلة الاخري.
- المرحلة البسيطة: تكون الآلام بسيطة وغير مؤثرة على حركة المريض.
المرحلة المتوسطة: الآلام تكون متوسطة ومؤثرة على الحركة.
- ظهور انتفخات مع الألم في اوقات متفرقة.
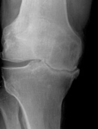
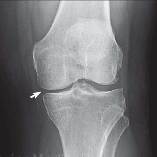
- ظهور نتؤات عظمية في الاشعه
المرحلة المتقدمة : ألم مزمن ومستمر.
- عدم المقدرة على الحركة وصعوبة في المشي.
- ميلان في الركبة.

جاري تحميل الاقتراحات...