في المؤتمر الصحفي من معهد التمريض في ريوتلنجن ، ألمانيا. قدم أخصائيو علم الأمراض البروفيسور الدكتور آرني بوركهارت والبروفيسور الدكتور والتر نتائج تشريح جثث ثمانية أشخاص ماتوا بعد تطعيم COVID19. بالإضافة إلى ذلك ، تم تقديم تحليلات مجهرية جديدة لمجموعة بحثية نمساوية حول مكونات1️⃣
اللقاحات.
بالامس كتبت السلسة حول مكونات اللقاحات واليوم اقدم سلسلة من نتائج تشريح الوفيات من لقاح كوفيد.
فيديو: الجزء الاول(بالألمانية) bitchute.com
بالامس كتبت السلسة حول مكونات اللقاحات واليوم اقدم سلسلة من نتائج تشريح الوفيات من لقاح كوفيد.
فيديو: الجزء الاول(بالألمانية) bitchute.com
الجزء الثاني
bitchute.com
هنا ملخص النقاط البارزة.
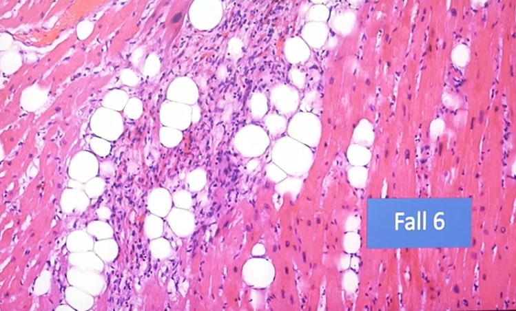
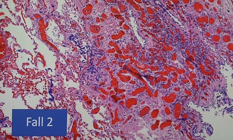
10 عمليات تشريح و 8 تقييمات.
⁃١-امرأة 82 سنة ، التطعيم: Moderna (1 * والجرعة الثانية) الوفاة : بعد 37 يومًا بعد الحقن
⁃٢-72 سنة ، التطعيم: Comirnaty (جرعة واحدة *) الوفاة : بعد 31 يومًا .
2️⃣
bitchute.com
هنا ملخص النقاط البارزة.
10 عمليات تشريح و 8 تقييمات.
⁃١-امرأة 82 سنة ، التطعيم: Moderna (1 * والجرعة الثانية) الوفاة : بعد 37 يومًا بعد الحقن
⁃٢-72 سنة ، التطعيم: Comirnaty (جرعة واحدة *) الوفاة : بعد 31 يومًا .
2️⃣
⁃٣-امرأة 95 سنة ، التطعيم: Moderna (جرعة واحدة * )الوفاة : بعد 68 يوم
⁃٤- امرأة 73 سنة ، التطعيم: Comirnaty (1) "الجرعة)
⁃٥- 54 عامًا ، التطعيم: جانسن (جرعة واحدة) .الوفاة بعد 65 .
⁃٦-امرأة 55 سنة ، التطعيم: Pfizer-BioNTech (جرعة واحدة * والجرعة الثانية)3️⃣
⁃٤- امرأة 73 سنة ، التطعيم: Comirnaty (1) "الجرعة)
⁃٥- 54 عامًا ، التطعيم: جانسن (جرعة واحدة) .الوفاة بعد 65 .
⁃٦-امرأة 55 سنة ، التطعيم: Pfizer-BioNTech (جرعة واحدة * والجرعة الثانية)3️⃣
الوفاة: 11 يومًا بعد اللقاح.
⁃٧-الرجل. 56 سنة ، التطعيم: Comirnaty (جرعة واحدة * و 2 جرعة)، الوفاة بعد ٨ ايام من اللقاح.
⁃٨- رجل 80 سنة، لقاح فايزر ، جرعتين . الوفاة بعد 37 يوم.
⁃٩-امرأة 89 سنة ، تطعيم: نوع غير معروف (جرعة واحدة * و 2 ن) وفاة: تقريبا بعد 6 أشهر. 4️⃣
⁃٧-الرجل. 56 سنة ، التطعيم: Comirnaty (جرعة واحدة * و 2 جرعة)، الوفاة بعد ٨ ايام من اللقاح.
⁃٨- رجل 80 سنة، لقاح فايزر ، جرعتين . الوفاة بعد 37 يوم.
⁃٩-امرأة 89 سنة ، تطعيم: نوع غير معروف (جرعة واحدة * و 2 ن) وفاة: تقريبا بعد 6 أشهر. 4️⃣
١٠-الرجل 62 سنة،التطعيم: النوع والجرعة غير معروف.الوفاة: 20 يوم بعد اللقاح.
حالات الوفاة المرتبطة بالتطعيمات ضد كورونا 10 حالات تم فحصها مسبقًا بتشريح الجثة .
-ارتباط محتمل جدًا 5
-ارتباط محتمل 2
-ارتباط غير واضح/محتمل 1
-الارتباط متزامن إلى حد ما 1
-لم يتم تقييمه بعد 1
5️⃣
حالات الوفاة المرتبطة بالتطعيمات ضد كورونا 10 حالات تم فحصها مسبقًا بتشريح الجثة .
-ارتباط محتمل جدًا 5
-ارتباط محتمل 2
-ارتباط غير واضح/محتمل 1
-الارتباط متزامن إلى حد ما 1
-لم يتم تقييمه بعد 1
5️⃣
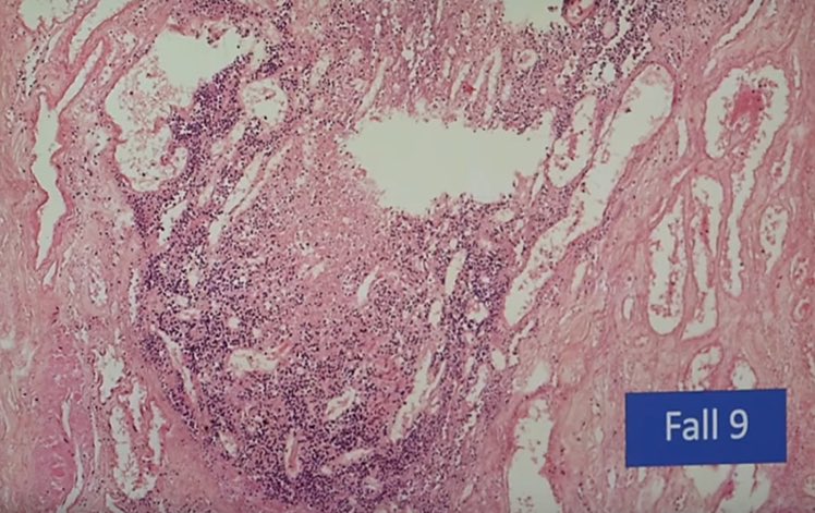
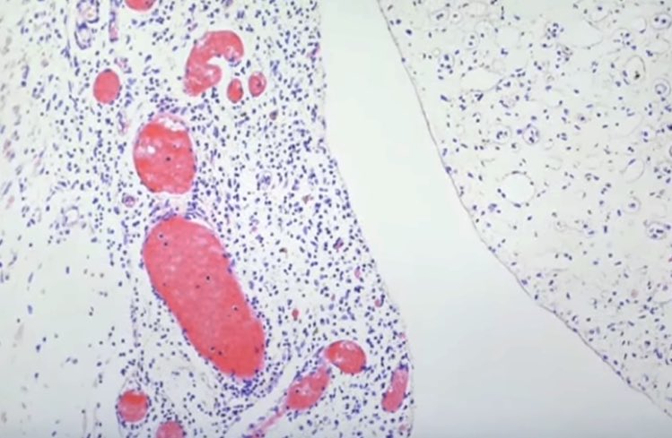
النتائج الرئيسية:
التهاب عضلة القلب اللمفاوي ، التهاب غشاء القلب ، التهاب التامور ، "غلبة الخلايا الليمفاوية" :
⁃نموذجي للعدوى الفيروسية
⁃يصعب التعرف عليها بالميكروسكوب ،
⁃غالبًا ما يُساء تفسيرها من الناحية النسيجية على أنها معدية (الخلايا الحبيبية!). 6️⃣
التهاب عضلة القلب اللمفاوي ، التهاب غشاء القلب ، التهاب التامور ، "غلبة الخلايا الليمفاوية" :
⁃نموذجي للعدوى الفيروسية
⁃يصعب التعرف عليها بالميكروسكوب ،
⁃غالبًا ما يُساء تفسيرها من الناحية النسيجية على أنها معدية (الخلايا الحبيبية!). 6️⃣
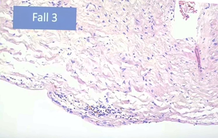
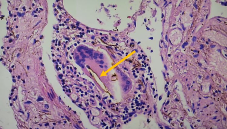
⁃عادةً ما تكون البؤر صغيرة متعددة ، وبالتالي لا يتم اكتشافها في كثير من الأحيان
⁃التأثير على قدرة الضخ (تحذير: وزن القلب الحرج)
⁃فشل القلب في الجهاز عندما يتأثر نظام التوصيل ؛ "الموت القلبي المفاجئ" ، الاكتشاف بالكاد ممكن (حوالي 15000 قسم)7️⃣
⁃التأثير على قدرة الضخ (تحذير: وزن القلب الحرج)
⁃فشل القلب في الجهاز عندما يتأثر نظام التوصيل ؛ "الموت القلبي المفاجئ" ، الاكتشاف بالكاد ممكن (حوالي 15000 قسم)7️⃣
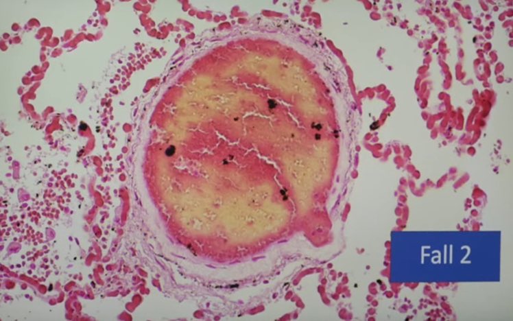
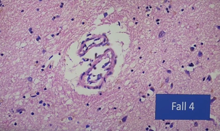
الأعراض الجانبية المشتبه بها:
الآثار الجانبية المشتبه بها للقاح كورونا ذات العواقب المميتة المحتملة:
- ظواهر المناعة الذاتية ("الهجوم الذاتي")
-انخفاض القدرة المناعية ،
-التأثير على نمو السرطان.
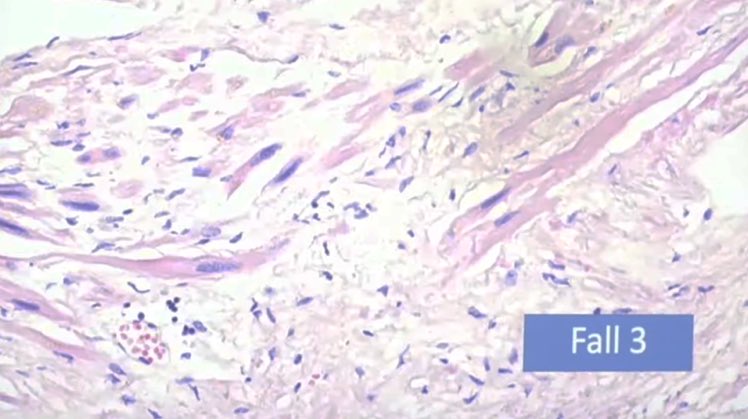
-تلف الأوعية الدموية "التهاب البطانة" ، التهاب الأوعية الدموية ،
الآثار الجانبية المشتبه بها للقاح كورونا ذات العواقب المميتة المحتملة:
- ظواهر المناعة الذاتية ("الهجوم الذاتي")
-انخفاض القدرة المناعية ،
-التأثير على نمو السرطان.
-تلف الأوعية الدموية "التهاب البطانة" ، التهاب الأوعية الدموية ،
توجد مشكلة في تسجيل الآثار الجانبية للتحصين المميت:
تسجيل الآثار الجانبية للتحصين مع العواقب المميتة :
⁃ لا قيمة لبيانات شهادة الوفاة بدون معلومات إلزامية عن حالة التطعيم.
⁃الأشخاص المتضررون والأقارب يلتزمون الصمت لأنهم متضررون.
⁃الأطباء والمدعين العامين المعنيين
تسجيل الآثار الجانبية للتحصين مع العواقب المميتة :
⁃ لا قيمة لبيانات شهادة الوفاة بدون معلومات إلزامية عن حالة التطعيم.
⁃الأشخاص المتضررون والأقارب يلتزمون الصمت لأنهم متضررون.
⁃الأطباء والمدعين العامين المعنيين
ليسوا متحمسين للقيام بذلك •
⁃تشريح الجثث في معاهد الطب الشرعي دون الفحوصات النسيجية الروتينية غير مناسب منهجيًا مسبقًا. •
⁃رفض التشريح في المعاهد المرضية جزئياً. غالبًا ما تفتقر المعرفة بأنماط المرض "الجديدة" منهجيا غير مناسب بداهة.
⁃تشريح الجثث في معاهد الطب الشرعي دون الفحوصات النسيجية الروتينية غير مناسب منهجيًا مسبقًا. •
⁃رفض التشريح في المعاهد المرضية جزئياً. غالبًا ما تفتقر المعرفة بأنماط المرض "الجديدة" منهجيا غير مناسب بداهة.
⁃يعتبر تشريح الجثة متعدد التخصصات والتقييم من قبل الأطباء الشرعيين وأخصائيي علم الأمراض مع الفحص النسيجي الإجباري لجميع الأعضاء والآفات هو الطريقة الوحيدة المبررة للتعامل مع هذه المشكلة (نموذج هايدلبرغ)
انتهى.
انتهى.
جاري تحميل الاقتراحات...