ليه في حالات التروما
ضروري نسأل عن mechanism of trauma ؟
مثل حوادث السيارة ليه مانكتفي بحادث وخلاص؟ ليه نسال المصاب المرافق هل بقى في السيارة ولا رمته؟ هل تقلبت؟ كم مره انقلبت؟ دعس ولا صدم؟ كان رابط الحزام؟ كيف كان جالس وقت الصدمة؟
ليه كل هذا؟
يلا عشان شويات ونسوي سيناريو سوا 😍
ضروري نسأل عن mechanism of trauma ؟
مثل حوادث السيارة ليه مانكتفي بحادث وخلاص؟ ليه نسال المصاب المرافق هل بقى في السيارة ولا رمته؟ هل تقلبت؟ كم مره انقلبت؟ دعس ولا صدم؟ كان رابط الحزام؟ كيف كان جالس وقت الصدمة؟
ليه كل هذا؟
يلا عشان شويات ونسوي سيناريو سوا 😍
وانت في الطواري دخل مريض عن طريق الاسعاف على هارد بورد وسرفايكل كولار
قربت منه سألته وش اسمك قال : عنجليط. وفعلا معاه الهوية تبعه اسمه عنجليط.
سألته ايش حصل قالك حادث. وسكت
لاحظت معاه محفظة وساعة ابل وخاتم فضة وجوال
اخذت اغراضه الثمينة بعد اذنه وسلمتها للامانات
قربت منه سألته وش اسمك قال : عنجليط. وفعلا معاه الهوية تبعه اسمه عنجليط.
سألته ايش حصل قالك حادث. وسكت
لاحظت معاه محفظة وساعة ابل وخاتم فضة وجوال
اخذت اغراضه الثمينة بعد اذنه وسلمتها للامانات
سألته عن الحادث كيف حصل قال مايذكر 🤨
لكن يذكر انه كان مقلوب في السيارة وفك حزام الامان وطلع من السيارة. ومايذكر كيف صار الحادث.
سألت المرافق اللي معاه وقالك انه كان ماشي وراه ولاحظ خروجه عن المسار وانقلبت السيارة
لكن يذكر انه كان مقلوب في السيارة وفك حزام الامان وطلع من السيارة. ومايذكر كيف صار الحادث.
سألت المرافق اللي معاه وقالك انه كان ماشي وراه ولاحظ خروجه عن المسار وانقلبت السيارة
عملت له اسسمنت من الهد الى التوي لاحظت وجود خدوش بسيطة في الوجه والكتفين والظهر. لانك ممرض شاطر عرفت انه من القزاز وليس احتكاك بالازفلت لان من كلام المصاب انه ماطلع من السيارة.
التنفس تمام. العلامات الحيوية مستقرة. ثنتين كانيولا مركبة وجاهزة ، المصاب مايشكي من أي ألم
التنفس تمام. العلامات الحيوية مستقرة. ثنتين كانيولا مركبة وجاهزة ، المصاب مايشكي من أي ألم
اذا كنت تعتقد فيه معلومة مذكورة فوق مالها لزمه في التشخيص فأنت غلطان
ماتتخيل قد ايش ممكن تخرج بكل معلومة هنا.
حتى هذي اللحظة وقبل نكمل بقية الاجراءات
اللحظة هذي وش تفسيرك للي حصل لعنجليط؟
ماتتخيل قد ايش ممكن تخرج بكل معلومة هنا.
حتى هذي اللحظة وقبل نكمل بقية الاجراءات
اللحظة هذي وش تفسيرك للي حصل لعنجليط؟
بعد ماجمعنا كل المعلومات وعملنا كل الاسسمنت
كل شي تقريبا واضح إلا شيء واحد فقط اللي عليه ضبابية
وهي ان عنجليط بيقولنا انه مايذكر كيف صار الحادث. كل اللي يتذكره وقت ماكان مقلوب وداخل السياره بعدها طلع
ع بال مانسوي الاكس راي والCT
خلونا نعرف ايش ممكن يكون سبب انه مو فاكر
كل شي تقريبا واضح إلا شيء واحد فقط اللي عليه ضبابية
وهي ان عنجليط بيقولنا انه مايذكر كيف صار الحادث. كل اللي يتذكره وقت ماكان مقلوب وداخل السياره بعدها طلع
ع بال مانسوي الاكس راي والCT
خلونا نعرف ايش ممكن يكون سبب انه مو فاكر
ودي الرد يكون هنا مو بالخاص عشان نربط افكارنا ببعض
خل غيرك يشوف اجابتك 😍
خل غيرك يشوف اجابتك 😍
ممكن ناخذ هستوري من المصاب؟ وش الاسئلة اللي بنسأله اياها؟
اللي يبغى يسأل المصاب اي سؤال باعمل له منشن :
حتى اللي يردون بالخاص باعمل لكم منشن هنا 😂
راجعوا التغريدات اللي فوق
فيه شي ماحيعطينا السبب مباشرة لكن يقودنا لاسئلة نوجهها للمصاب.
حتى اللي يردون بالخاص باعمل لكم منشن هنا 😂
راجعوا التغريدات اللي فوق
فيه شي ماحيعطينا السبب مباشرة لكن يقودنا لاسئلة نوجهها للمصاب.
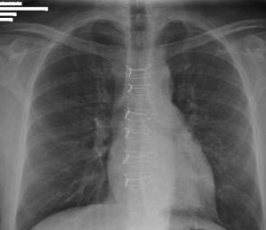
شرايكم نشوف الاكس راي مره الثانيه 🙊
صديقنا محمد @I_MO34 يسال المصاب اذا ياخذ أدوية ؟
نعم ، ياخذ التالي :
Aspirin
Concor
Plavix
Lasix
Omperazole
🙏🏽
نعم ، ياخذ التالي :
Aspirin
Concor
Plavix
Lasix
Omperazole
🙏🏽
للمعلومية، لسى مابدينا مانيجمنت. لسى احنا نجمع معلومات ونعمل اسسمنت ونحاول نعرف ليه ما يتذكر كيف صار الحادث
صديقتنا @hmsssea تسأل المصاب اذا كان مريض قلب ؟
نعم 🙏🏽
نعم 🙏🏽
صديقنا الدافور زياد @ziadalayed3 😍
احد الادوية اللي ياخذها المصاب ( concor ) من البيتا بلوكر
احد اعراضها انخفاض نبضات القلب
انخفاض الضغط
احد الادوية اللي ياخذها المصاب ( concor ) من البيتا بلوكر
احد اعراضها انخفاض نبضات القلب
انخفاض الضغط
كذا ممكن نقول انو سبب انه مايتذكر وسبب انحرافه اصلا عن الطريق هو فقدانه للوعي بسبب الكنكور
طيب هل نقدر نثبت هذا الشيء فعليا؟ نستخدم اي شي ممكن لاثبات ان نبضات القلب كانت منخفضة جدا وقت وقوع الحادث !
طيب هل نقدر نثبت هذا الشيء فعليا؟ نستخدم اي شي ممكن لاثبات ان نبضات القلب كانت منخفضة جدا وقت وقوع الحادث !
لسى احنا في طور جمع المعلومات وتحليلها حتى نجد تفسير منطقي للي حصل للمصاب.
لانه بناءً على استنتاجاتنا نعرف وين نحول المريض وايش البلان تبعه.
طبعا المريض امداه يشيل السيرفايكل كولار وامداه يجلس والحين جالس يتابع تغريداتكم وردودكم 🦦
لانه بناءً على استنتاجاتنا نعرف وين نحول المريض وايش البلان تبعه.
طبعا المريض امداه يشيل السيرفايكل كولار وامداه يجلس والحين جالس يتابع تغريداتكم وردودكم 🦦
(بعد مانتأكد من سلامة المريض حاليا نحوله لطبيب قلب لمراجعة الادوية اللي ياخذها)
شفتوا الكلام اللي بين قوسين؟ ماكان حيصير لو ما اهتمينا في
ال mechanism of injury
وهذي اجابة السؤال المذكور في اول تغريدة في هذا الثريد
شكرا للمبدعين اللي شاركوا
كلكم رهيبين والله 👍🏽🤍
شفتوا الكلام اللي بين قوسين؟ ماكان حيصير لو ما اهتمينا في
ال mechanism of injury
وهذي اجابة السؤال المذكور في اول تغريدة في هذا الثريد
شكرا للمبدعين اللي شاركوا
كلكم رهيبين والله 👍🏽🤍
جاري تحميل الاقتراحات...