لماذا هرب مكتشف كورونا في 2012 من السعودية؟
بدلاً من الاحتفال بعالم طب يضمه مستشفى سعودي، ضايقت وزارة الصحة الدكتور علي محمد زكي، مكتشف الفيروس الجديد من عائلة كورونا والذي سبق له أن تعرض لتحقيق ومضايقة سابقة من ذات الوزارة على اكتشافه وجود فيروس حمى الضنك في السعودية.
1.
بدلاً من الاحتفال بعالم طب يضمه مستشفى سعودي، ضايقت وزارة الصحة الدكتور علي محمد زكي، مكتشف الفيروس الجديد من عائلة كورونا والذي سبق له أن تعرض لتحقيق ومضايقة سابقة من ذات الوزارة على اكتشافه وجود فيروس حمى الضنك في السعودية.
1.
سنقدم حكاية الدكتور علي زكي من أفضل مصدرين في هذا الخصوص (جريدة اليوم، عدد الخميس 6رجب1434، وإذاعة هولندا، الموقع الإلكتروني).
سنبدأ بسرد حكاية الدكتور علي مع الفيروسات و»الرعاية» التي لقيها من وزارة الصحة جراء اكتشافاته.
2.
سنبدأ بسرد حكاية الدكتور علي مع الفيروسات و»الرعاية» التي لقيها من وزارة الصحة جراء اكتشافاته.
2.
استقطب مستشفى الدكتور فقيه في جدة الدكتور علي زكي المتخصص في الأحياء الدقيقة سنة 1993 ليعمل في حقل الفيروسات.
ويقول زكي أنه هو الذي أسس معملاً للفحوصات الفيروسية في المستشفى في ذلك الوقت.
وبعد سنة من عمله في جدة لاحظ أن بعض المرضى يكونون في حالة صحية سيئة
3.
ويقول زكي أنه هو الذي أسس معملاً للفحوصات الفيروسية في المستشفى في ذلك الوقت.
وبعد سنة من عمله في جدة لاحظ أن بعض المرضى يكونون في حالة صحية سيئة
3.
لكن لم يكن ممكنا تشخيص حالتهم بسبب أن نتائج فحوصاتهم للأمراض المتوطنة بالمملكة تكون سلبية، أي أنهم سليمون.
لم تكن تُجرى لهؤلاء المرضى فحوصات على حمى الضنك، لأن المملكة كانت تصنف بوصفها بلدا خاليا من هذا المرض.
بعد سنوات، أي في 2005-2006، اكتشف زكي بمساعدة باحث فرنسي
4.
لم تكن تُجرى لهؤلاء المرضى فحوصات على حمى الضنك، لأن المملكة كانت تصنف بوصفها بلدا خاليا من هذا المرض.
بعد سنوات، أي في 2005-2006، اكتشف زكي بمساعدة باحث فرنسي
4.
ان المرضى مصابون بفيروس جديد من عائلة فيروسات حمى الضنك، وأطلق على الفيروس الجديد اسم «الخمرة» نسبة لمنطقة الخمرة في جدة، حيث سجلت أول حالة مصابة به.
كان الاكتشاف مهم للتعامل مع الحالات المرضية، إذ أن المرضى لايحصلون على علاج ملائم لأن الأطباء لم يكونوا قادرين على تشخيص المرض.
5.
كان الاكتشاف مهم للتعامل مع الحالات المرضية، إذ أن المرضى لايحصلون على علاج ملائم لأن الأطباء لم يكونوا قادرين على تشخيص المرض.
5.
المتوقع طبقاً لهذا الفتح من الدكتور زكي أن تعمد وزارة الصحة إما لاستقطابه لمختبراتها أو أن تقدم منحة مالية للمختبر الذي يعمل به كتقدير للاكتشاف الحاسم الذي ساعد في إنقاذ كثيرين. لكن الذي حصل العكس. فقد أخطر مستشفى فقيه الدكتور بعزمه إغلاق المختبر بحجة ضغط النفقات.
6.
6.
أرسل الدكتور أسرته للقاهرة وتهيأ للالتحاق بها. لكن وزارة الصحة أخبرته قبل موعد رحيله بيوم أنه ممنوع من السفر وأنه رهن التحقيق.
قضى ستة أشهر في جدة بلا عمل وغير قادر على العودة لبلاده.
يقول لإذاعة هولندا: «انتهيت إلى الشارع لا عمل ولا دخل مالي وأسرتي غادرت إلى مصر
7.
قضى ستة أشهر في جدة بلا عمل وغير قادر على العودة لبلاده.
يقول لإذاعة هولندا: «انتهيت إلى الشارع لا عمل ولا دخل مالي وأسرتي غادرت إلى مصر
7.
هكذا عشت لمدة نصف عام قبل أن تصلني رسالة بأن المستشفى قد قرر استيعابي في وظيفة بالمعمل».
رجع إلى العمل وأتيح له العمل بالمختبر من جديد ليتفحص الفيروسات ويعمل عليها. بعد خمس سنوات، أي بصيف 2012، أدخل مريض ستيني من بيشة لمستشفى فقيه.
كان يعاني التهابا حادا في الجهاز التنفسي.
8.
رجع إلى العمل وأتيح له العمل بالمختبر من جديد ليتفحص الفيروسات ويعمل عليها. بعد خمس سنوات، أي بصيف 2012، أدخل مريض ستيني من بيشة لمستشفى فقيه.
كان يعاني التهابا حادا في الجهاز التنفسي.
8.
أجرى زكي للمريض تحليل لعاب لفحص فيروسات أنفلونزا الخنازير والطيور وغيرهما من فيروسات الأنفلونزا فكانت النتائج تبين أن المريض سليم من كل هذه الفيروسات.
أجرى مزيداً من التحاليل على لعاب المريض يقول لإذاعة هولندا «ردة فعلي الأولية كانت: تكرار الفحوصات المخبرية.
9.
أجرى مزيداً من التحاليل على لعاب المريض يقول لإذاعة هولندا «ردة فعلي الأولية كانت: تكرار الفحوصات المخبرية.
9.
خوفا من أن أكون قد قمت بخطأ. قمت بإجراء الفحوصات وجاءت النتائج سلامة المريض من الفيروسات التي يجري التحقق منها.
أرسل عينة لمختبرات وزارة الصحة، فعملت فحص واحد على أنفلونزا الخنازير وحين ظهور النتيجة سلبية تركوا الحالة غير مدفوعين بأي نوع من الشغف لمعرفة طبيعة الحالة الغريبة.
10.
أرسل عينة لمختبرات وزارة الصحة، فعملت فحص واحد على أنفلونزا الخنازير وحين ظهور النتيجة سلبية تركوا الحالة غير مدفوعين بأي نوع من الشغف لمعرفة طبيعة الحالة الغريبة.
10.
بحكم خبرته السابقة، شك الدكتور زكي أن المريض مصاب بنوع غير معروف من الفيروسات.
شك بالفيروسات التاجية (كورونا)، فأجرى فحص العينة لتأتي النتيجة إيجابية وأرسل عينة للفحص في مختبر هولندي للتأكد، فأكدوا صحة نتائجه بإصابة المريض بفيروس جديد من عائلة كورونا،
11.
شك بالفيروسات التاجية (كورونا)، فأجرى فحص العينة لتأتي النتيجة إيجابية وأرسل عينة للفحص في مختبر هولندي للتأكد، فأكدوا صحة نتائجه بإصابة المريض بفيروس جديد من عائلة كورونا،
11.
أعلن الطبيب نتائجه عبر وسيلة تواصل بين الأطباء عن الأمراض المعدية تسمى ProMED. وفي اليوم التالي لإعلانه نتاج فحوصاته، زار فريق من وزارة الصحة الطبيب وفتحوا معه تحقيق.
سألوه لماذا تزرع الفيروسات؟! غادر جدة في اليوم التالي خوفاً من تكرار تجربة 2007.
12.
سألوه لماذا تزرع الفيروسات؟! غادر جدة في اليوم التالي خوفاً من تكرار تجربة 2007.
12.
بعد مدة، أخبره مستشفى فقيه بالاستغناء عن خدماته بسبب ضغوط وزارة الصحة!
عينة على العنجهيه والبلاده.
هل يمكن للعلم أن يتقدم في آلية تتبع نظم المراقبة لما يقال ويعلن من معلومات وآراء؟ بعبارة أخرى، هل الحرية ضرورية لتقدم المعرفة العلمية؟ سؤال كبير في الدراسات الاجتماعية للعلوم.
13.
عينة على العنجهيه والبلاده.
هل يمكن للعلم أن يتقدم في آلية تتبع نظم المراقبة لما يقال ويعلن من معلومات وآراء؟ بعبارة أخرى، هل الحرية ضرورية لتقدم المعرفة العلمية؟ سؤال كبير في الدراسات الاجتماعية للعلوم.
13.
يفسر الدكتور زكي سلوك الوزارة حياله بالغضب من أن يكتشف الفيروس من قبل مستشفى خاص وليس معامل الوزارة.
ربما أن الوزارة تريد أن يسمع المجتمع عن مؤتمراتها وورش عملها وندواتها وافتتاحها للمستشفيات وبنائها للمرافق الصحية. وهذه كلها أمور محمودة بلا شك.
14
ربما أن الوزارة تريد أن يسمع المجتمع عن مؤتمراتها وورش عملها وندواتها وافتتاحها للمستشفيات وبنائها للمرافق الصحية. وهذه كلها أمور محمودة بلا شك.
14
ما حصل بعد ذلك طرد الدكتور من السعوديه وكان قد ارسل عينة من الفيروس الى مختبرات نوتردام بهولندا والدكتور رون فيوشيه الذي يشرف على المختبر الذي اشتهر باكتشاف فيروس إنفلونزا الطيور (H1N1). أكّد فوشيه لزكي أنّ الأمر يتعلق بسلالة قديمة غير معروفة من فيروس "كورونا"
15.
15.
انحدرت على ما يبدو من الخفافيش، قائلا إنّ العينة كانت إيجابية المصل. وفي 20 سبتمبر/أيلول، نشر زكي ما خلص إليه على الشبكة الأوروبية ProMED-maid .بعد نشر الدكتور محمد زكي لبحثه، باتت هيئات عديدة بالإضافة إلى دول ومؤسسات ومختبرات تطلب عينات من الفيروس من مختبر فوشيه.
16.
16.
لكن فوشيه كان يطلب من الجميع التوقيع على اتفاق يعرف باسم EMC يحفظ حق مختبره. كما اندلعت معركة مدارها من هو صاحب الملكية الفكرية، ومازالت دائرة إلى الآن. في الأثناء، عبرت السعودية عن غضبها لتصرف البروفيسور زكي، معتبرة أنه أبقى سلطاتها "في الظلام" دون أن يبلغها بحقيقة الفيروس
17.
17.
لكن زكي قال إنه تصرف وفق المعمول به ولم يتجاوز سلطاته وإنه أرسل عينة من الفيروس وتوصيفا له إلى وزارة الصحة السعودية في 18 يونيو/حزيران، وفشلت السلطات في تحديد ماهيته وأضاف أن التحاليل على أساس أن الفيروس ربما يكون فيروس انفلونزا الخنازير جاءت سلبية.
18.
18.
وكيل وزارة الصحة زياد مميش قال لوكالة الأنباء إنّ القوانين المنظمة لعمل الدول أعضاء WHO تجبر الدول على إطلاق تحذيرات وتبادل معلومات في حال وجود مخاوف من أوبئة، لكنها أيضا تحفظ سيادتها. قررت السلطات إنهاء عمل البروفيسور الذي عاد Gلقاهرة ليشرف على أحد أقسام جامعة عين شمس
19.
19.
في هذا الجزء وصفنا انتقال الفيروس من جدة الى نوتردام وفي السلسة القادمة سنحكي كيف انتقل الفيروس من هولندا الى كندا الى ووهان الى كل مكان كل مرحلة بجزء
الى اللقاء
قصه ممتعه تقهرك بنفس الوقت لانها وقعت فعلا ليست فيلم وموثقة بالتواريخ والروابط والفضائح
الى اللقاء
قصه ممتعه تقهرك بنفس الوقت لانها وقعت فعلا ليست فيلم وموثقة بالتواريخ والروابط والفضائح
قبل الانتقال الى الفصل الثاني نختم بكلام الدكتور:
كانت السلطات السعودية غاضبة جدا ولا ألومهم على ذلك ماداموا لم يكونوا على علم دقيق بحقيقة خطورة الفيروس، بعد أن فشلوا في تحديد ماهيته.
وأضاف مع ذلك نجحت بمختبر صغير بموارد قليلة في الكشف عن أمر يتعلق بفئة من الفيروسات القاتلة.
1.1
كانت السلطات السعودية غاضبة جدا ولا ألومهم على ذلك ماداموا لم يكونوا على علم دقيق بحقيقة خطورة الفيروس، بعد أن فشلوا في تحديد ماهيته.
وأضاف مع ذلك نجحت بمختبر صغير بموارد قليلة في الكشف عن أمر يتعلق بفئة من الفيروسات القاتلة.
1.1
وأوضح "لم أفعل أمرا غريبا. فكل مصحات جدة ترسل عيناتها إلى الخارج للتأكد وأنا كنت أعمل في مصحة خاصة وليس في مستشفى حكومي."
ولم يخف البروفيسور زكي "سعادته" بفصله من السعودية قائلا "لا ألومهم في النهاية فقد أرسلت إليهم العينة ولكنهم فشلوا في فحصها."
1.2
ولم يخف البروفيسور زكي "سعادته" بفصله من السعودية قائلا "لا ألومهم في النهاية فقد أرسلت إليهم العينة ولكنهم فشلوا في فحصها."
1.2
توقع زكي أن يستمر الفيروس في الانتشار في المنطقة لكن ليس بالضرورة بنفس الشراسة.
وحول الملكية الفكرية للفيروس، اعتبر الأمر عادي ولا يخشى أن تقوم هيئات أو أطراف من داخل السعودية أو خارجها بالسطو على اكتشافه كل شيء موثق ولا شيء يمكنه أن يبعد اسمي وحقوقي الأكاديمية بشأن الموضوع.
1.3
وحول الملكية الفكرية للفيروس، اعتبر الأمر عادي ولا يخشى أن تقوم هيئات أو أطراف من داخل السعودية أو خارجها بالسطو على اكتشافه كل شيء موثق ولا شيء يمكنه أن يبعد اسمي وحقوقي الأكاديمية بشأن الموضوع.
1.3
تقارير أعربت عن مخاوف ان السعودية ربما تعمدت إخفاء أمور بسبب موسم الحج استبعد البروفيسور أن تكون أي من الحكومات في المنطقة تتعمد التعتيم.
وقال الوكيل، بمؤتمر بالرياض، إنّه ليس من سياسة السعودية أن تخفي الأمور نحن شفافون وقد دعونا وفودا من المنظمات الدولية للاطلاع على الوضع.
1.4
وقال الوكيل، بمؤتمر بالرياض، إنّه ليس من سياسة السعودية أن تخفي الأمور نحن شفافون وقد دعونا وفودا من المنظمات الدولية للاطلاع على الوضع.
1.4
الجزء 2
انتقال الفيروس من روتردام الى كنكا المعروفه باسم كندا في الوقت الحاضر
سنبدأ بملخص ما سبق
فيروس كورونا سلاح بيولوجي – كيف سرق الصين فيروس كورونا من كندا لاستعماله كسلاح
في يناير 2020 تم القبض على شحنة غامضة لتهريب فيروس كورونا من كندا.
2.1
انتقال الفيروس من روتردام الى كنكا المعروفه باسم كندا في الوقت الحاضر
سنبدأ بملخص ما سبق
فيروس كورونا سلاح بيولوجي – كيف سرق الصين فيروس كورونا من كندا لاستعماله كسلاح
في يناير 2020 تم القبض على شحنة غامضة لتهريب فيروس كورونا من كندا.
2.1
تم تعقبها إلى جواسيس صينيين يعملون في مختبر كندي وربطت التحقيقات اللاحقة بين العملاء والبرنامج الصيني للحرب البيولوجية الذى يشتبه في ان الفيروس تسرب منه مما تسبب في تفشى فيروس ووهان كورونا .
ولم يؤكد نتائج هذا التحقيق سوى خبير الأسلحة البيولوجية الدكتور فرانسيس بويل
2.2
ولم يؤكد نتائج هذا التحقيق سوى خبير الأسلحة البيولوجية الدكتور فرانسيس بويل
2.2
الذي صاغ قانون اتفاقية الأسلحة البيولوجية الذي اتبعته دول كثيرة. وقد أثار التقرير جدلا دوليا كبيرا وقمعه بنشاط قسم من وسائط الإعلام الرئيسية.
إنفوجرافيك استنادا إلى هذا التقرير – التاريخ السري للفيروس كورونا
2.3
إنفوجرافيك استنادا إلى هذا التقرير – التاريخ السري للفيروس كورونا
2.3
عينة السارس السعودية
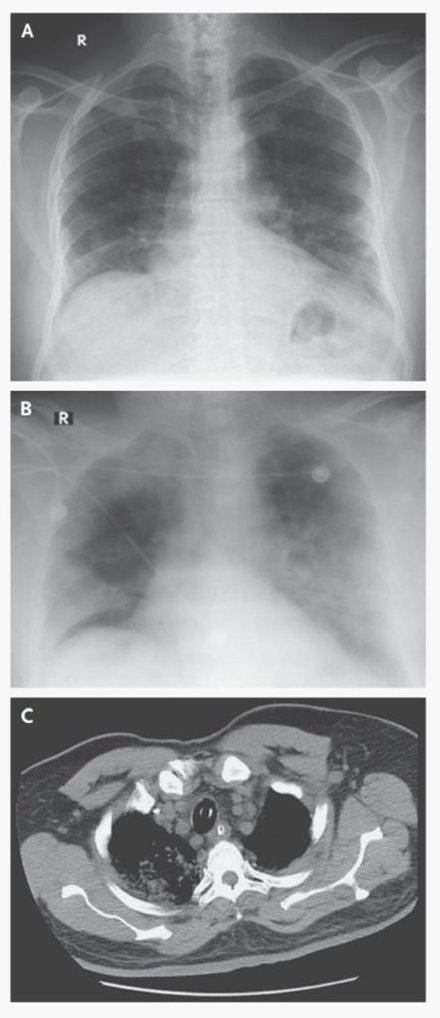
في 13 يونيو 2012، أدخل رجل سعودي يبلغ من العمر 60 عاما إلى مستشفى خاص في جدة، المملكة العربية السعودية، يشكو من الحمى والسعال وضيق في التنفس لمدة 7 أيام. لم يكن لديه تاريخ أمراض قلب ورئة أو كلى، ولم يكن يتلقى أي أدوية طويلة الأجل، ولم يكن يتتن.
2.4
في 13 يونيو 2012، أدخل رجل سعودي يبلغ من العمر 60 عاما إلى مستشفى خاص في جدة، المملكة العربية السعودية، يشكو من الحمى والسعال وضيق في التنفس لمدة 7 أيام. لم يكن لديه تاريخ أمراض قلب ورئة أو كلى، ولم يكن يتلقى أي أدوية طويلة الأجل، ولم يكن يتتن.
2.4
عزل عالم الفيروسات المصري الدكتور علي محمد زكي وتعرف على فيروس تاجي لم يكن معروفا من قبل من رئتيه. بعد فشل التشخيص الروتيني في تحديد العامل المسبب، اتصل زكي برون فوشييه، عالم الفيروسات الرائد في مركز إيراسموس الطبي (EMC) في روتردام، هولندا، للحصول على المشورة.
2.5
2.5
(فوشييه) قام بعمل تسلسل الفيروس من عينة أرسلها (زكي) واستخدم طريقة واسعة الطيف "شمل عموم فيروس كورونا" في الوقت الحقيقي البوليميراز سلسلة التفاعل (RT-PCR) لاختبار السمات المميزة لعدد من الفيروسات التاجية المعروفة التي تصيب البشر.
2.7
2.7
سنثبت في الفقرة القادمة من الجزء الثاني حصول المختبر الكندي على الفيروس زاتو وملابسات اغتياله
بروح افطر
2.10
بروح افطر
2.10
عزل فيروس كورونا المستجد عن رجل مصاب بالتهاب رئوي في السعودية
علي محمد زكي، ساندر فان بوهيمين ، Theo M Bestebroer ، ألبرت DME أوسترهاوس ،رون آم فوشير
ملخص
تم عزل فيروس كورونا غير معروف سابقا من بلغم رجل 60 عام أصيب بالتهاب رئوي حاد وفشل كلوي لاحقا مع نتيجة قاتلة في السعودية.
2.12
علي محمد زكي، ساندر فان بوهيمين ، Theo M Bestebroer ، ألبرت DME أوسترهاوس ،رون آم فوشير
ملخص
تم عزل فيروس كورونا غير معروف سابقا من بلغم رجل 60 عام أصيب بالتهاب رئوي حاد وفشل كلوي لاحقا مع نتيجة قاتلة في السعودية.
2.12
يتكاثر الفيروس (المسمى HCoV-EMC) (المسمى HCoV-EMC)(المسمى HCoV-EMC)(المسمى HCoV-EMC)(المسمى HCoV-EMC)(المسمى HCoV-EMC)(المسمى HCoV-EMC)(المسمى HCoV-EMC)(المسمى HCoV-EMC)(المسمى HCoV-EMC)(المسمى HCoV-EMC)(المسمى HCoV-EMC)(المسمى HCoV-EMC)
2.13
2.13
بسهولة في زراعة الخلايا ، مما ينتج عنه تأثيرات اعتلال خلوي للتقريب والانفصال وتكوين المخلوقات. يمثل الفيروس نوع جديد من فيروس بيتاكورونا. أقرب الأقارب المعروفين هم فيروسات الخفافيش التاجية HKU4 و HKU5. هنا ، يتم تقديم البيانات السريرية وعزل الفيروس والتعرف الجزيئي.
2.14
2.14
كانت الصورة السريرية مشابهة بشكل ملحوظ لتلك الخاصة بتفشي مرض الالتهاب الرئوي الحاد (سارس) في عام 2003 وتذكرنا بأن فيروسات كورونا الحيوانية يمكن أن تسبب مرضًا شديدًا لدى البشر.
المصدر pubmed.ncbi.nlm.nih.gov
2.15
المصدر pubmed.ncbi.nlm.nih.gov
2.15
الجزء الثاني فقره 2
خيانة مختبر كنكا واغتيال الخائن في كينيا في ظروف غامضه
فرانك بلامر – عالم كندي هو مفتاح التحقيق حول كورونافيروس الذي اغتيل في أفريقيا?
6 فبراير 2020
وفي تحول شديد للأحداث، قام العالم الشهير فرانك بلومر الذي تلقى عينة من فيروس كورونا السعودي بالسارس
2.16
خيانة مختبر كنكا واغتيال الخائن في كينيا في ظروف غامضه
فرانك بلامر – عالم كندي هو مفتاح التحقيق حول كورونافيروس الذي اغتيل في أفريقيا?
6 فبراير 2020
وفي تحول شديد للأحداث، قام العالم الشهير فرانك بلومر الذي تلقى عينة من فيروس كورونا السعودي بالسارس
2.16
كان يعمل على فيروس كورونا (ولقاح فيروس نقص المناعة) في المختبر الكندي ، حيث تم تهريب الفيروس من قبل عملاء الحرب البيولوجية الصينيين واغتيل في ظروف غامضة. كان فرانك بلومر مفتاح قضية التجسس البيولوجي الصيني في المختبر الوطني لعلم الأحياء المجهرية في وينيبيغ.
2.17
2.17
وذكرت شبكة سى بى سى ان بلومر كان فى كينيا حيث كان متحدثا رئيسيا فى الاجتماع السنوى للمركز التعاونى لابحاث وتدريب جامعة نيروبى فى مجال فيروس نقص المناعة / الايدز / الأمراض المنقولة جنسيا .
2.18
2.18
وعنونة المقال:
وفاة العالم الكندي فرانك بلومر في كينيا، حيث قاد نجاحات حول فيروس الايدز
تاريخ النشر: فبراير 04, 2020
ساعد عمل الدكتور فرانك بلومر في مجال الأمراض المعدية على تنظيم سياسات الصحة العامة الدولية.(جون وودز/الصحافة الكندية)
العالم فرانك بلومر من وينيبيغ قد مات
2.19
وفاة العالم الكندي فرانك بلومر في كينيا، حيث قاد نجاحات حول فيروس الايدز
تاريخ النشر: فبراير 04, 2020
ساعد عمل الدكتور فرانك بلومر في مجال الأمراض المعدية على تنظيم سياسات الصحة العامة الدولية.(جون وودز/الصحافة الكندية)
العالم فرانك بلومر من وينيبيغ قد مات
2.19
ولد ونشأ في وينيبيغ، حيث ترأس مختبر NML لسنوات.
شارك في شراكة بحثية بين جامعتي مانيتوبا ونيروبي قبل أن يدرك العالم فيروس الإيدز.
قال كيث فوك استاذ قسم علم الاحياء المجهرية في جامعة مانيتوبا ساعد في تحديد الكثير من العوامل الرئيسية في انتقال فيروس الايدز في الايام الاولى".
2.20
شارك في شراكة بحثية بين جامعتي مانيتوبا ونيروبي قبل أن يدرك العالم فيروس الإيدز.
قال كيث فوك استاذ قسم علم الاحياء المجهرية في جامعة مانيتوبا ساعد في تحديد الكثير من العوامل الرئيسية في انتقال فيروس الايدز في الايام الاولى".
2.20
CBC 1987: الدكتور فرانك بلومر يتحدث عن النجاحات في أبحاث فيروس نقص المناعة البشرية / الإيدز في جنوب أفريقيا.
amp.cbc.ca
قبل تلك الشراكة، لم يكن العلماء يعرفون أن فيروس ايدز يمكن أن ينتقل إلى النساء أو الأطفال من خلال حليب الثدي.
2.21
amp.cbc.ca
قبل تلك الشراكة، لم يكن العلماء يعرفون أن فيروس ايدز يمكن أن ينتقل إلى النساء أو الأطفال من خلال حليب الثدي.
2.21
وأضاف فوكي قائلا: "لقد طور الكثير من التدخلات التي ساعدت في إنقاذ مئات الآلاف من الأرواح في جميع أنحاء العالم. "بلومر كان بالتأكيد عقل رائع. "
وكأخصائي في الأمراض المعدية، أثر عمل بلومر على سياسات الصحة العامة الدولية.
2.22
وكأخصائي في الأمراض المعدية، أثر عمل بلومر على سياسات الصحة العامة الدولية.
2.22
وكتب ماثيو جيلمور المدير العام للمختبر الوطنى للاحياء الدقيقة فى رسالة بالبريد الالكترونى الداخلية الى موظفى وكالة الصحة العامة الكندية يوم الثلاثاء " ان فرانك كرس عقودا من وقته لافريقيا وقاد اختراقات تغير العالم فى الوقاية من فيروس نقص المناعة .
2.23
2.23
وقال زميل آخر، د.ألان رونالد، إن وفاة بلومر مأساوية وخسارة للعلم.
وقال: "كان يأمل كثيرا أن يكون على الطريق الذي سينتهي باكتشاف لقاح فيروس ايدز - وهو الطريق الذي بدأه قبل 30 عاما تقريبا.
2.25
وقال: "كان يأمل كثيرا أن يكون على الطريق الذي سينتهي باكتشاف لقاح فيروس ايدز - وهو الطريق الذي بدأه قبل 30 عاما تقريبا.
2.25
وقال رئيس جامعة مانيتوبا ونائبه د.ديفيد بارنارد إن بلومر كان له تأثير كبير على الصحة العامة العالمية.
وقال انه يحظى بإعجاب وبتقدير كبيرين من الاكاديميين والباحثين في جميع انحاء العالم ، ومازال تراثه في السعي لتطوير لقاح ضد فيروس ايدز احد معالم الوقاية من الامراض المعدية
2.26
وقال انه يحظى بإعجاب وبتقدير كبيرين من الاكاديميين والباحثين في جميع انحاء العالم ، ومازال تراثه في السعي لتطوير لقاح ضد فيروس ايدز احد معالم الوقاية من الامراض المعدية
2.26
" .
الدكتورة تيريزا تام، كبيرة مسؤولي الصحة العامة في كندا، توجهت إلى تويتر لتتذكر بلومر.
وكان بلامر يعيش في تورونتو, حيث خضع لعملية جراحية تجريبية في الدماغ لمكافحة إدمان الكحول.
وأول شخص في أمريكا يخضع لتحفيز عميق للدماغ لهذا الغرض.
2.27
الدكتورة تيريزا تام، كبيرة مسؤولي الصحة العامة في كندا، توجهت إلى تويتر لتتذكر بلومر.
وكان بلامر يعيش في تورونتو, حيث خضع لعملية جراحية تجريبية في الدماغ لمكافحة إدمان الكحول.
وأول شخص في أمريكا يخضع لتحفيز عميق للدماغ لهذا الغرض.
2.27
كان وجوده وذكائه تناقض حقيقة أنه رجل هادئ وخجول إلى حد ما.سيستمر العلم في البناء على إنجازاته وتحسين الصحة العامة في العالم لسنوات عديدة"
وكان في كينيا مع زوجته جو كينيلي وابنة زوجته إيموجين، وكانوا قد استمتعوا في رحلات السفاري، كما في مذكرة جيلمور.
amp.cbc.ca
2.28
وكان في كينيا مع زوجته جو كينيلي وابنة زوجته إيموجين، وكانوا قد استمتعوا في رحلات السفاري، كما في مذكرة جيلمور.
amp.cbc.ca
2.28
ترأس بلومر مختبر NML في وينيبيغ لعدة سنوات، وشارك في بحث مبتكر حول فيروس الإيدز.
انتهي مقال سيبيسي
وهناك سكت شهريار عن الكلام غير المباح عندما سمع للديك صياح
وسنعود الى تكملة سرد المصيبه
2.28
انتهي مقال سيبيسي
وهناك سكت شهريار عن الكلام غير المباح عندما سمع للديك صياح
وسنعود الى تكملة سرد المصيبه
2.28
ما لم يرد ذكره فى تقرير CBC هو ان بلومر عمل فى نفس المختبر الذي تعمل فيه الجاسوسة الصينىة شيانغ تشيو وزملاؤها حيث قاموا بتهريب فيروس كورونا السارس الى معهد ووهان الصينى لعلم الفيروسات حيث يعتقد انه تم تسليحه وتسريبه .
2.29
2.29
في الواقع أن فرانك بلومر هو الذي حصل على عينة فيروس كورونا السارس للمريض السعودي في مختبر وينيبيغ NML من رون فوشييه، في مركز إيراسموس الطبي (EMC) في روتردام، هولندا الذي حصل على الفيروس من قبل الدكتور علي زكي الذي عزل وحدد نوع غير معروف من فيروس كورونا من رئتي المريض السعودي
2.30
2.30
وصلت هذه العينة الى منشأة NML في مايو 4, 2013 من المختبر الهولندي. وقد أنشأ في المختبر مخزونات من الفيروس واستخدمه لتقييم الاختبارات التشخيصية المستخدمة في كندا. وعمل علماء وينيبيغ لمعرفة الأنواع الحيوانية التي يمكن إصابتها بالفيروس الجديد.
2.31
2.31
وقد أجريت البحوث بالتعاون مع المختبر الوطني للوكالة الكندية لفحص الأغذية، وهو المركز الوطني للأمراض الحيوانية الأجنبية الذي يوجد في نفس المجمع الذي يوجد فيه المختبر الوطني لعلم الأحياء المجهرية.
2.32
2.32
تم استهداف هذا المختبر في وينيبيغ من قبل جواسيس صينيين في ما يمكن تسميته تجسس بيولوجي. وافادت الانباء ان الجاسوسةالصينىة فى الحرب البيولوجية شيانغ تشيو وزملاؤها سرقت الفيروس من المختبر الكندى وتم تهريبها الى معهد ووهان لعلم الفيروسات حيث يعتقد ان الفيروس تم تسليحه وتسريبه.
2.33
2.33
وعلاوة على ذلك، كان بلومر يعمل أيضا على لقاح فيروس ايدز، ووجدت دراسة مثيرة للاهتمام نشرها مؤخرا علماء هنود وجود حقن شبيهة بفيروس ايدز في فيروس ووهان كورونا - المفتاح الذي جعل دخول الفيروس للناس ممكنا.
2.34
2.34
تعرض العلماء الهنود لانتقادات واسعة عبر الإنترنت من قبل خبراء وسائل التواصل الاجتماعي وأجبروا على سحب دراستهم، وفتحت السلطات الهندية تحقيق ضد معهد ووهان الصيني. على الرغم من أنه تجدر الإشارة إلى أن الصين بدأت الآن باستخدام لقاح فيروس نقص المناعة البشرية لعلاج فيروس كورونا.
2.35
2.35
بلومر كان المفتاح للتحقيق بأكمله على أصول كورونافيروس كسلاح. ولكن هل ستفتح الحكومة الكندية تحقيق في هذه المسألة؟ خلافا لنظرائهم الامريكيين الذين اتهموا الجواسيس الصينيين الذين يحاولون تهريب فيروسات قاتلة من جامعة هارفارد فان تفاصيل التحقيق فى وينيبيغ للتجسس محاطة بالسرية.
2.36
2.36
لمن يشكك نشر موقع tinyurl.com الكندي خبر حصول كندا على عينة الفيروس عام 2013 وعنون الخبر
المختبر الوطني الكندي حصل على عينة من فيروس جديد يشبه السارس، ويخطط لعمل دراسات عليه
بقلم هيلين برانسويل
الصحافة الكندية
نشر في مايو 16, 2013 تحديث مايو 16, 2013
2.37
المختبر الوطني الكندي حصل على عينة من فيروس جديد يشبه السارس، ويخطط لعمل دراسات عليه
بقلم هيلين برانسويل
الصحافة الكندية
نشر في مايو 16, 2013 تحديث مايو 16, 2013
2.37
نشرت هذه المقالة منذ أكثر من 8 سنوات. قد لا تكون بعض المعلومات الموجودة حديثة.
تورونتو - حصل المختبر الوطني الكندي للميكروبيولوجيا في وينيبيغ على عينة من الفيروس التاجي الجديد الذي يسبب العدوى في عدد من البلدان، وأبرزها المملكة العربية السعودية.
2.38
تورونتو - حصل المختبر الوطني الكندي للميكروبيولوجيا في وينيبيغ على عينة من الفيروس التاجي الجديد الذي يسبب العدوى في عدد من البلدان، وأبرزها المملكة العربية السعودية.
2.38
ويقول المدير العلمي الدكتور فرانك بلومر إن المختبر حصل على الفيروس من مركز إيراسموس الطبي في روتردام بهولندا. الذي تعرف على الفيروس الجديد للمرة الاولى في يونيو الماضي في عينة من رجل سعودي توفي بمرض غامض.
يقول بلومر أن العينة وصلت وينيبيغ في 4 مايو.
2.39
يقول بلومر أن العينة وصلت وينيبيغ في 4 مايو.
2.39
ويقول إن المختبر يقوم بزراعة مخزون منه وسيستخدمه لتقييم الاختبارات التشخيصية المستخدمة كندا.
كذلك يخطط علماء وينيبيغ للقيام ببعض الأعمال لمعرفة الأنواع الحيوانية التي يمكن أن تصاب بالفيروس الجديد.
وينبغي إجراء هذا البحث بالتعاون مع المختبر الوطني للوكالة الكندية لفحص الأغذية
2.40
كذلك يخطط علماء وينيبيغ للقيام ببعض الأعمال لمعرفة الأنواع الحيوانية التي يمكن أن تصاب بالفيروس الجديد.
وينبغي إجراء هذا البحث بالتعاون مع المختبر الوطني للوكالة الكندية لفحص الأغذية
2.40
المركز الوطني للأمراض الحيوانية الأجنبية. يقع في نفس المجمع الذي يوجد فيه المختبر.
مختبر وينيبيغ أجرى اختبارات تشخيصية قبل أشهر، بناء على بيانات التسلسل الجيني للفيروس الجديد. هذه الاختبارات كانت في أيدي مختبرات المقاطعة منذ الخريف الماضي، يقول بلومر.
وللحدبث بقيه
2.41
مختبر وينيبيغ أجرى اختبارات تشخيصية قبل أشهر، بناء على بيانات التسلسل الجيني للفيروس الجديد. هذه الاختبارات كانت في أيدي مختبرات المقاطعة منذ الخريف الماضي، يقول بلومر.
وللحدبث بقيه
2.41
حبيت اضيف كلام له ما ذكر بالمقالة:
وتظهر حالات مؤكدة جديدة للفيروس بشكل شبه يومي مما يبدو أنه تفشي كبير ومستمر في شرق السعودية، قرب الخليج الفارسي.
وتفيد تقارير أن التفشي بدأ في مشفى
2.42
وتظهر حالات مؤكدة جديدة للفيروس بشكل شبه يومي مما يبدو أنه تفشي كبير ومستمر في شرق السعودية، قرب الخليج الفارسي.
وتفيد تقارير أن التفشي بدأ في مشفى
2.42
ليس من الواضح ما إذا كانت جميع الحالات مرتبطة بالمشفى بعد الآن أو ما إذا كان يحدث بعض الانتشار محليا.
وكانت المعلومات التي نشرت قليلة ولم تشر عموما إلى ما إذا كانت الحالات من أفراد من عائلة واحدة -مما قد يوحي بانتشار محدود من إنسان لآخر- أو أفراد لا صلة لهم ببعض.
2.43
وكانت المعلومات التي نشرت قليلة ولم تشر عموما إلى ما إذا كانت الحالات من أفراد من عائلة واحدة -مما قد يوحي بانتشار محدود من إنسان لآخر- أو أفراد لا صلة لهم ببعض.
2.43
وقد يشير النمط الأخير من الإصابات إلى أن الفيروس ينتشر بسهولة أكبر بين الناس.
و إن الوضع مقلق، على الرغم من أنه يشعر بالقلق دائما عندما يبدأ فيروس جديد في إصابة الناس.
واضاف هناك اسئلة حول الفيروس. ولأن المعلومات كانت نوعا ما ضبابية، من الصعب معرفة ما تم إنجازه وما هو معروف.
2.44
و إن الوضع مقلق، على الرغم من أنه يشعر بالقلق دائما عندما يبدأ فيروس جديد في إصابة الناس.
واضاف هناك اسئلة حول الفيروس. ولأن المعلومات كانت نوعا ما ضبابية، من الصعب معرفة ما تم إنجازه وما هو معروف.
2.44
أفادت وزارة الصحة السعودية يوم الثلاثاء أنها أكدت وجود إصابات في 2من العاملين في مجال الرعاية الصحية - حددتهما بعض وسائل الإعلام على أنهم من طاقم تمريض.
وهذه هي المرة الأولى التي يعترفون فيها بانتشار الفيروس إلى العاملين في مجال الرعاية الصحية، وهي علامة مقلقة.
2.45
وهذه هي المرة الأولى التي يعترفون فيها بانتشار الفيروس إلى العاملين في مجال الرعاية الصحية، وهي علامة مقلقة.
2.45
ومع تفشي المرض، ينبغي على المستشفيات أن تطلب من الموظفين الذين هم على اتصال بالحالات المحتملة استخدام ما يسمى باحتياطات الحاجز - القفازات والعباءات وأجهزة التنفس لحماية الأنف والفم والنظارات الواقية لحماية العينين.
انتهى حديثه
2.46
انتهى حديثه
2.46
جاري تحميل الاقتراحات...