عبدالخالق بن علي
عبدالخالق بن علي

@abdulkhalig_ali

25 تغريدة 169 قراءة Aug 20, 2021
1⃣الطب(اليأس والأمل)
لأسباب طبية بحتة سوف أكتب (ثريد) تحت هذه التغريدة عن حالة زوجتي (أم محمد) الطبية من بدايتها حتى تم استئصال الورم في مدينة الملك فهد الطبية بفضل الله وكرمه.
@tfrabiah @SaudiMOH @KFSHRC_J @KFSHRC @mgreeha999 @NGHAnews @KFMC_RIYADH @gmaanalzhrani @DrHaniAljohani
2⃣أهداف الثريد: أولا توجيه رسالة للمرضى أن لا ييأسوا من رحمة الله، وألا يتوقفوا عن البحث عن العلاج. ويجب أن ألا تحبطهم بعض الرسائل السلبية التي يبثها بعض الاطباء في نفوس مرضاهم، إما لجهل أو تهاون.
3⃣ثانيا توجيه رسالة إلى الجهات المسؤولة في مختلف القطاعات الطبية بضرورة متابعة تطور طواقمها الطبية وعدم تأخرهم عن التقدم الطبي العالمي، مهما كانت سمعتهم الطبية. وحالة أم محمد تؤكد أن التأخر المعرفي عند بعض الأطباء من الأسماء الكبيرة في المستشفيات الكبيرة حقيقة وليست ادعاء.
4⃣وصف الحالة
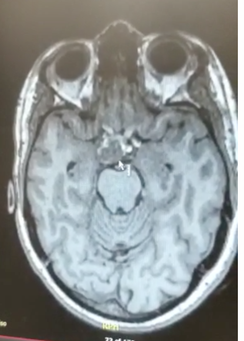
تم اكتشاف الحالة نتيجة سقوط جفن العين اليمنى لأم محمد، وبعد مراجعة مستشفى العيون في جدة، اكتشفوا وجود ورم في قاع الجمجمة يضغط على العصب البصري. (في منطقة الكهف تحت الغدة النخامية في أعمق منطقة في الجمجمة، بالقرب من الشريانين الرئيسيين للدماغ، ومنطقة الاعصاب).
5⃣البحث عن علاج: بدأنا في البحث عن أفضل مكان ممكن للعلاج، وكان التخصصي والحرس الوطني في جدة أنسب مكانين. و بشفاعة صاحب السمو الملكي الأمير تركي بن طلال أمير منطقة عسير حفظه الله، عن طريق الاخ عبدالله البدوي @Albadwe_A_Aziz جزاه الله خيرا، تم قبول حالة أم محمد في المستشفيين.
6⃣موعد الرعب
أعطينا موعدا في مستشفى الحرس، وقمنا بزيارته. وبعد الاجتماع مع خمسة أطباء، قال قائد الفريق وهو استشاري جراحة المخ والأعصاب في المستشفى كلاما أقرب (لنعي المريضة). مثل (حالة غريبة جدا، لم يمر عليّ مثلها طوال 25 سنة)، (ما هذا الورم؟ من أين يبدأ وأين ينتهي؟).
7⃣(لا نعرف نوع هذا الورم الغريب)، وأخيرا (مستحيل استئصال الورم). العلاج المقترح بعد الجلسة الأولى والوحيدة والتي استمرت ما يقارب ساعتين (باستخدام الاشاعة المقطعية التي أحضرنها) هو (العلاج الاشعاعي)، ونسبة النجاح غير معروفة.
8⃣التخصصي، العلاج الضار
بعد موعدين واشاعة رنين، قال الطبيب جملتين، (مستحيل اجراء عملية لاستئصال الورم، والعلاج الاشعاعي هو الحل الوحيد)، ثم اضاف بما يشبه اقناع المريضة بتقبل الوضع بعدم وجود أمل (يا أختي، الورم جاك في البخت) (والاشعاع علاج تلطيفي لعدة سنوات، والعمر بيد الله).
9⃣قرار العلاج تم في الجلسة الثانية ومن طبيب واحد دون استشارات، وكأن العلاج وصفة ثابتة لا تحتمل الاستشارة. لذلك تم تحويلنا لعيادة أورام الكبار، التي بدأت بالعمل على التخطيط لعلاج اشعاعي بأعلى درجة ممكنة. حيث أعطيت أم محمد 33 جلسة إشعاعية بداية عام 2018. أدى ذلك إلى تباطؤ الورم.
🔟تدهور وتجاهل
في الزيارات الدورية بعد الاشعاع كان الطبيب المعالج يقول إن الورم ثابت والحالة مستقرة، والذي ثبت لاحقا أنه غير صحيح. فبعد هدوء عدة أشهر. عادت أعراض المرض للظهور بشكل عنيف كالصداع الشديد جدا، وسقوط جفن العين، واختلال بعض وظائف الجسم بسبب الغدة وغيرها.
1⃣1⃣فخلال كل الزيارات للطبيب المعالج وكذلك اطباء الاسرة كان يتم تجاهل علاج الغدة رغم وضوح الأعراض مثل زيادة الوزن، وجفاف، ونوبات البرد الشديدة جدا، وغيرها من الأعراض الكثيرة التي ذكرت للأطباء لكنهم كانوا لا يرون وجود مشكلة تستدعي العلاج.
1⃣2⃣في حين أن الأطباء في مدينة الملك فهد بدأوا بعلاج اختلال وظائف الغدة منذ دخول المريضة للمستشفى مباشرة، مستغربين تأخر العلاج حتى هذا الوقت رغم وضح الخلل. لأن الورم بطبيعته يؤثر على الغدة، والإشعاع يزيد الأمر سوءا. وقد ظهرت نتائج إيجابية لذلك العلاج بشكل سريع.
1⃣3⃣شمعة أمل في نفق مظلم
ولأن أم محمد مقاتلة عنيدة، وانسانة صبورة جدا لا يعرف اليأس طريقا لقلبها، وقبل كل شيء ثقتها بالله لا حدود لها. لذلك ظلت تبحث عن حل لمرضها خصوصا أن حالتها بدأت في التدهور بشكل ملحوظ. وقد أوصلها بحثها للدكتور (#هاني_الجهني) جزاه الله خيرا.
1⃣4⃣حيث فتح النافذة الأولى للأمل بل بابا ضخما. فبعد أن تواصلنا معه عندما كان في باريس وارسلنا له صورا وتقريرا للحالة، قال (الورم عميق وفي مكان خطير لكن الوصول له ممكن جدا وبسهولة) ثم أضاف (أنصح إذا لم يبدأ في التأثير على أي من الحواس عدم استئصاله).
1⃣5⃣عملية عبثية
بعد أن تأكد الطبيب أن الحالة تتدهور، حيث تجاوز حجم الورم 2.5 سم وخرج جزء منه من منطقة الكهف، وتدهور البصر، لذلك قرر اجراء عملية. حسب الطبيب العملية لإنقاذ العصب البصري، وسيتم تنظيف الجزء الخارج من الكهف فقط و(كحت) المنطقة حسب وصفه، دون الوصول للورم نفسه.
1⃣6⃣رفض الحلول الحديثة
في بحثها الكثير جدا والمتواصل لعلاج حالتها تعرفت أم محمد على الكثير ما يتعلق بمرضها والحلول الممكنة له. لذلك في زياراتها لطبيبها للإعداد للعملية عرضت عليه فكرة إجراء العملية من الأنف للوصول للورم من الأسفل كما شاهدته.
1⃣7⃣فكان رد الطبيب (يا ليت يا أختي يكون في شيء زي كذا ونسويه) مع ضحكة سخرية من الفكرة،،،،، وطوال جلستين كان الإصرار على رفض كل الحلول الأحدث والأنجح لاستئصال الورم، بل ورفض وجود تلك الحلول وأنها مجرد أوهام!
1⃣8⃣كورونا وطبيب العيون ينقذون أم محمد
بعد أن تقرر إجراء العملية تم تأجيلها أولا بسبب إصابة أم محمد بكورونا. خلال تلك الفترة زادت الحالة سوءا، وبعد التعافي تم الاعداد للعملية مرة أخرى. وكان من ضمن الاجراءات زيارة طبيب العيون، وفي يوم زيارته وبعد الفحص، ومعرفته بالعملية.
1⃣9⃣سأل أم محمد (هل اخبرك الطبيب أن العملية لن تصل لمنطقة العصب ولن تؤثر عليه وسيظل الحال كما هو؟؟) صدمت أم محمد ولم تجب، ثم ذهب طبيب العيون للدكتور المعالج، بعدها جاءها الطبيب المعالج ليقول (ابشرك يا أختي ما فيه داعي للعملية، العصب البصري اللي كنا نبغى ننقذه انتهى خلاص)!!!
2⃣0⃣عودة للدكتور هاني الجهني
بعد التدهور! قررنا التواصل مع الدكتور هاني الجهني في القصيم. وتم تحديد موعد معه بمساعدة كبيرة جدا من الاستاذ ابراهيم الماجد @almajed118 جزاه الله خيرا. ذهبت أم محمد وشقيقها يوسف(جزاه الله خيرا) للطبيب الذي قال (العملية ممكنة جدا) ونصح بإجرائها سريعا.
2⃣2⃣لكنه ولأسباب تقنية لا يستطيع اجراءها بنفسه، لذلك نصح بأجرائها في مكانين فقط (مدينة الملك فهد الطبية) بالرياض عند الدكتور(جمعان الزهراني) تحديدا أو في فرنسا. ثم أعطى أم محمد ورقة تحويل للدكتور جمعان. ومن أول زيارة للدكتور جمعان وهو يبذل قصارى جهده لإجراء العملية في أسرع وقت.
2⃣3⃣جهد جبار
عند حضورنا لموعد العملية، قام طواقم مدينة الملك فهد الطبية بجهود جبارة بالتجهيز للعملية في أسبوع واحد فقط، لإجراءات لا يمكن تنفيذها في أقل من شهر في أي مستشفى أخر، كون المريضة لا تملك أي بيانات أو معلومات في المستشفى.
2⃣4⃣أفضل مما تمنينا
أجريت العملية بطاقم طبي سعودي 100٪ مكون من فريقين، واستمرت العملية 9 ساعة أو أكثر. خرج بعدها الدكتور جمعان الزهراني والدكتور محمد بافقيه ليبشراني بنجاح العملية، وأن النتيجة (أفضل مما تمنينا) كما قال الدكتور جمعان حفظه الله وزملاءه وبارك فيهم وزادهم من فضله.
2⃣5⃣ نتائج العلاج الخاطئ
تسبب العلاجي الخاطئ في نتائج سيئة جدا: -حيث أخر البحث عن العلاج السليم، ما أدى لزيادة آلام المريضة وهمها. - تدهور الحالة الصحية للمريضة. - التأثير على نسبة نجاح برنامج العلاج اللاحق، بسبب زيادة حجم الورم، والالتصاقات الشديدة التي تسبب بها العلاج الاشعاعي.
2⃣6⃣شكر وامتنان
الشكر أولا وأخيرا لله عزا وجل، على أفضاله ولطفه. ثم الشكر والامتنان للفرق الطيبة والتقنية في مدينة الملك فهد الطبية على جهودهم الجبارة. والشكر موصول لكل من ساعدنا طوال 4 سنوات بشفاعة أو نصيحة. ولكل من أكرمنا دعوة من الأهل والاقارب والاصدقاء والمعارف وجميع من دعا.

جاري تحميل الاقتراحات...