مرضى السرطان الذين يعانون من انتشار ثانويات سرطانية للعظام .. كثيراً ما يُصرف له حُقن علاجية تعمل على تقليل تآكل العظام المرافق للانتشار السرطاني هناك ..
ومن أبرز هذه الأدوية:
١- الدينوسوماب (denosumab) كإبر تحت الجلد كل ٤ أسابيع
٢- الزوميتا (zometa) كإبر وريدية كل ٣-٤ أسابيع
ومن أبرز هذه الأدوية:
١- الدينوسوماب (denosumab) كإبر تحت الجلد كل ٤ أسابيع
٢- الزوميتا (zometa) كإبر وريدية كل ٣-٤ أسابيع
يرافق هذه الإبر عادةً بعض الآثار الجانبية من أبرزها:
١- هبوط مستوى الكالسيوم
٢- قصور وظائف الكلى (للزوميتا فقط)
٣- حدوث نخر في عظم الفك
١- هبوط مستوى الكالسيوم
٢- قصور وظائف الكلى (للزوميتا فقط)
٣- حدوث نخر في عظم الفك
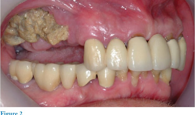
ما يهمنا هنا هي المشكلة الثالثة (نخر عظم الفك أو ما يُعرف Jaw Osteonecrosis ) ..
هي مشكلة قليلة الحدوث ولكنها من المشاكل التي قد تكون مزعجة وعلاجها صعب إلى حدٍ ما .. ولذا الوقاية منها خير من علاجها بعد حدوثها ..
هي مشكلة قليلة الحدوث ولكنها من المشاكل التي قد تكون مزعجة وعلاجها صعب إلى حدٍ ما .. ولذا الوقاية منها خير من علاجها بعد حدوثها ..
تزيد نسبة الإصابة بنخر عظم الفك لأولئك الذين يخضعون لعلاجات تقوية العظام (anti-osteoclasts) المذكورة أعلاه .. وخاصةً إذا رافق ذلك:
١- خلع لأحد الضروس
٢- علاج إشعاعي لمنطقة الرأس والفك
٣- علاج كيماوي
١- خلع لأحد الضروس
٢- علاج إشعاعي لمنطقة الرأس والفك
٣- علاج كيماوي
علاج المشكلة إن حدثت ..
١- التدخل الجراحي لإزالة الأنسجة الميتة والمتعفنة
٢- استخدام المضادات الحيوية
٣- غسول الفم المطهر
١- التدخل الجراحي لإزالة الأنسجة الميتة والمتعفنة
٢- استخدام المضادات الحيوية
٣- غسول الفم المطهر
الوقاية خير من العلاج:
١- فحص الأسنان وعلاجها وخلع ما يحتاج لخلع أو عمل جراحات الفم .. كل ذلك قبل البدء بأدوية تقوية العظام (الزوميتا، الدينوسوماب)
٢- بعد بدء الأدوية المقوية للعظام .. لو حدث أي مشكلة بالأسنان تستدعي جراحة فالأفضل التوجه لطبيب أسنان متخصص في هذا النوع من المشاكل
١- فحص الأسنان وعلاجها وخلع ما يحتاج لخلع أو عمل جراحات الفم .. كل ذلك قبل البدء بأدوية تقوية العظام (الزوميتا، الدينوسوماب)
٢- بعد بدء الأدوية المقوية للعظام .. لو حدث أي مشكلة بالأسنان تستدعي جراحة فالأفضل التوجه لطبيب أسنان متخصص في هذا النوع من المشاكل
دمتم سالمين
جاري تحميل الاقتراحات...