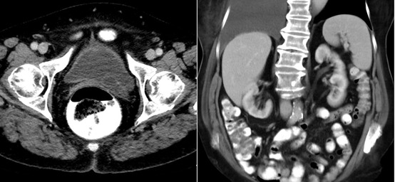
انسداد الحالب:
سداد يحصل في إحدى الحالبين أو كليهما.
رغم أن حالة انسداد الحالب قابلة للعلاج إلا أن عدم الحصول على العلاج في الوقت المناسب قد يكون له عواقب وخيمة مثل فشل الكلى.
#صوت_الطبيب
#تجمع_أطباء_العالم
سداد يحصل في إحدى الحالبين أو كليهما.
رغم أن حالة انسداد الحالب قابلة للعلاج إلا أن عدم الحصول على العلاج في الوقت المناسب قد يكون له عواقب وخيمة مثل فشل الكلى.
#صوت_الطبيب
#تجمع_أطباء_العالم
✳️الأعراض:
انسداد الحالب قد لا يظهر أية علامات أو أعراض. العلامات والأعراض تعتمد على مكان طهور الانسداد، وما إذا كان جزئيًا أم كليًا، ومدى تطوره، وما إذا كان يؤثر على كلية واحدة أم الاثنتين.
انسداد الحالب قد لا يظهر أية علامات أو أعراض. العلامات والأعراض تعتمد على مكان طهور الانسداد، وما إذا كان جزئيًا أم كليًا، ومدى تطوره، وما إذا كان يؤثر على كلية واحدة أم الاثنتين.
قد تتضمن العلامات والأعراض ما يلي:
📌الألم
📌تغيرات في كمية البول الناتجة
📌وجود صعوبة في التبول
📌دم في البول
📌تكرار الإصابة بالتهاب الجهاز البولي
📌ارتفاع ضغط الدم (فرط ضغط الدم)
📌الألم
📌تغيرات في كمية البول الناتجة
📌وجود صعوبة في التبول
📌دم في البول
📌تكرار الإصابة بالتهاب الجهاز البولي
📌ارتفاع ضغط الدم (فرط ضغط الدم)
2⃣ تشوه يتصل فيه الحالب بالمثانة أو الكلية:
مما يمنع تدفق البول قد يؤدي الاتصال غير الطبيعي بين الحالب والكلية إلى تورم الكلية وتوقفها عن العمل آخر الأمر. ويكون هذا التشوه خلقيًا. يؤدي الاتصال غير الطبيعي بين الحالب والمثانة إلى ارتداد البول إلى الكليتين.
مما يمنع تدفق البول قد يؤدي الاتصال غير الطبيعي بين الحالب والكلية إلى تورم الكلية وتوقفها عن العمل آخر الأمر. ويكون هذا التشوه خلقيًا. يؤدي الاتصال غير الطبيعي بين الحالب والمثانة إلى ارتداد البول إلى الكليتين.
4⃣ تليف خلف الصفاق:
يحدث هذا الاضطراب النادر عندما ينمو النسيج الليفي في المنطقة خلف البطنية. قد تنمو الألياف بسبب السرطانات، أو قد تنتج عن تناول بعض أدوية معينة تستخدم لعلاج الصداع النصفي. تطوّق الألياف الحالبين وتسدهما مما يؤدي إلى ارتداد البول إلى الكليتين.
يحدث هذا الاضطراب النادر عندما ينمو النسيج الليفي في المنطقة خلف البطنية. قد تنمو الألياف بسبب السرطانات، أو قد تنتج عن تناول بعض أدوية معينة تستخدم لعلاج الصداع النصفي. تطوّق الألياف الحالبين وتسدهما مما يؤدي إلى ارتداد البول إلى الكليتين.
الأسباب المُحتملة الأخرى:
📌حصوات الحالب
📌الإمساك الشديد، والذي يصيب الأطفال بشكل أساسي، ولكن يُصيب البالغين أيضا
📌الأورام السرطانية وغير السرطانية
📌نمو الأنسجة الداخلية مثل الانتباذ البطاني الرحمي عند الإناث
📌تورم جدار الحالب طويل الأمد الذي يرجع عادة إلى أمراض مثل السل
📌حصوات الحالب
📌الإمساك الشديد، والذي يصيب الأطفال بشكل أساسي، ولكن يُصيب البالغين أيضا
📌الأورام السرطانية وغير السرطانية
📌نمو الأنسجة الداخلية مثل الانتباذ البطاني الرحمي عند الإناث
📌تورم جدار الحالب طويل الأمد الذي يرجع عادة إلى أمراض مثل السل
✳️التشخيص:
📌اختبارات الدم والبول
📌التصوير بالموجات الفوق صوتية
📌تصوير المثانة والإحليل الإفراغي
📌الفحص النووي للكلى
📌تنظير المثانة
📌الفحص بالتصوير المقطعي المحوسب (CT)
📌التصوير بالرنين المغناطيسي (MRI)
📌اختبارات الدم والبول
📌التصوير بالموجات الفوق صوتية
📌تصوير المثانة والإحليل الإفراغي
📌الفحص النووي للكلى
📌تنظير المثانة
📌الفحص بالتصوير المقطعي المحوسب (CT)
📌التصوير بالرنين المغناطيسي (MRI)
✳️العلاج:
يكمن الهدف من علاج انسداد الحالب في إزالة الانسداد أو تخطي الانسداد يمكن أن يتضمن العلاج مضادات حيوية للقضاء على الالتهابات المصاحبة.
هناك عدة خيارات علاجية متاحة تبعا لحالة المريض، وعادة ما يتم اتباع مجموعة من الإجراءات الطبية في ذات الوقت لعلاج الحالة، وهذه بعضها:
يكمن الهدف من علاج انسداد الحالب في إزالة الانسداد أو تخطي الانسداد يمكن أن يتضمن العلاج مضادات حيوية للقضاء على الالتهابات المصاحبة.
هناك عدة خيارات علاجية متاحة تبعا لحالة المريض، وعادة ما يتم اتباع مجموعة من الإجراءات الطبية في ذات الوقت لعلاج الحالة، وهذه بعضها:
✳️مضاعفات انسداد الحالب:
في حال لم يتم إخضاع المريض للعلاج في الوقت المناسب، قد يتسبب انسداد الحالب بمضاعفات خطيرة تشمل:
⚠️تضخم الكلى
⚠️إنتان وتعفن الدم
⚠️فشل الكلى
⚠️التهابات مزمنة في المسالك البولية
في حال لم يتم إخضاع المريض للعلاج في الوقت المناسب، قد يتسبب انسداد الحالب بمضاعفات خطيرة تشمل:
⚠️تضخم الكلى
⚠️إنتان وتعفن الدم
⚠️فشل الكلى
⚠️التهابات مزمنة في المسالك البولية
جاري تحميل الاقتراحات...