د.نايف بن عبدالله آل نويهض
د.نايف بن عبدالله آل نويهض

@Naifalshahrani

15 تغريدة 240 قراءة Jun 12, 2021
🔴 اتصل علي زميل - قرر ان يمارس رياضة المشي فجأة وكان متحمس لليوم الأول وقطع مسافة كبيرة - وقال "أشعر بألم في قدمي الايسر يتنقل من منتصف القدم ومرة في الطرف الخارجي من القدم الى درجة ما استعطت أكمل المشي" !!! وش رايك يادكتور؟
١
اذا كنت تعاني من ألم في القدم أثناء المشي او الجري هناك أسباب كثيرة من الممكن أن يكون الكسر الإجهادي أحدها سوف أتحدث في هذه السلسلة عن الكسور الإجهادية وما يجب ان تعرف عنها .
٢
يعد الكسر الإجهادي أحد أكثر الإصابات شيوعًا وخاصة لمن يمارس الرياضة قد يكون هذا مزعج للمريض.
٣
ما هو الكسر الإجهادي؟
هو كسر ناتج عن الإجهاد يحدث عندما تصل العضلات والأوتار الى درجة من الإجهاد والإرهاق وغير قادرة على امتصاص الصدمات ، وبذلك ينتقل الحمل الزائد إلى العظام مما يتسبب في حدوث شرخ صغير يسمى الكسر الإجهادي.
٤
غالبًا ما تكون الكسور الإجهاديه نتيجة لزيادة شدة النشاط الرياضي .يمكن أن تحدث أيضًا بسبب تأثير بعض الأسطح الغير مستويه او باستخدام الحذاء الغير مناسب.
٥
تحدث معظم الكسور الإجهاديه في العظام التي يكون عليها ضغط عالي وعادةً ما تكون في الساق والقدم.
أكثر من 50٪ من كسور الإجهاد تحدث في أسفل الساق .
٦
تؤثر الكسور الإجهاديه على الأشخاص من جميع الأعمار الذين يشاركون في أنشطة رياضية متكررة ، مثل المشي او الجري. أظهرت الدراسات الطبية أن النساء الذين يعانين من الكسور الإجهاديه أكثر من من الرجال.
٧
يعزو العديد من الدراسات الطبية إلى حالة يشار إليها باسم :
"الثالوث الرياضي الأنثوي"وهي : اضطرابات الأكل ( فقدان الشهية) وانقطاع الطمث وهشاشة العظام. مع انخفاض كتلة عظام الأنثى ، تزداد فرص إصابتها بالكسر الاجهادي.
٨
ما هي أعراض الكسر الإجهادي؟
الألم مع النشاط الرياضي هو الشكوى الأكثر شيوعًا هذا الألم يختفي مع الراحة.
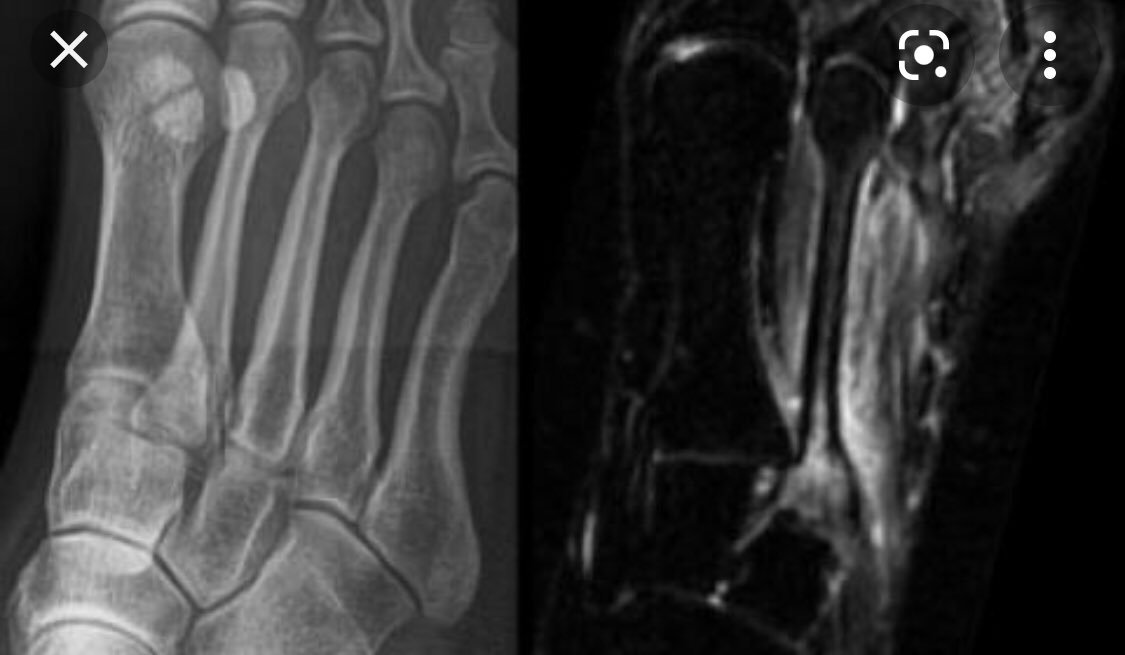
٩
كيف يتم تشخيص الكسور الإجهادية ؟
تستخدم الأشعة السينية بشكل شائع لتحديد الكسر الإجهادي. بعض الأحيان لا يمكن رؤيته في الأشعة السينية العادية ويتطلب ذلك التصوير بالرنين المغناطيسي
١٠
أهم علاج للكسر الإجهادي هو الراحة. يحتاج المريض الى الراحة من النشاط الذي تسبب بذلك .
إذا تم استئناف النشاط الذي تسبب في الكسر الإجهادي يمكن أن يتطور الى كسر أكبر ويصعب التئامه .
١١
🔺 الوقاية
فيما يلي بعض النصائح التي تنص عليها الأكاديمية الأمريكية لجراحي العظام للمساعدة في منع الكسور الإجهاديه
١٢
عند القيام بأي نشاط رياضي ، يجب ان تكون زيادة شدة التمرين تدريجية .. ولا يأخذك حماس اليوم الأول الى درجة الكسور الإجهاديه وتنقطع عن الرياضة لفترة طويلة.
١٣
حافظ على نظام غذائي صحي. تأكد من تضمين الأطعمة الغنية بالكالسيوم وفيتامين "د "في وجباتك اليومية.
١٤
.لا ترتدي أحذية الجري القديمة أو البالية
في حالة حدوث ألم أو تورم ، توقف فورًا عن النشاط واسترح لبضعة أيام. إذا استمر الألم ، استشر طبيب العظام
انتهى ..

جاري تحميل الاقتراحات...