د. نداء الخميس
د. نداء الخميس

@NedaaAlkhamis

22 تغريدة 332 قراءة Jun 10, 2021
لقد تطرقت لهذا الموضوع من قبل ، واعيد ذكره مرة اخرى للتوعية حول اختبار فحص كورونا وخطورته
تم إجراء التحليل في الأشهر من نوفمبر 2020 إلى مارس 2021 على عصي الاختبار في مجموعات. SD Biosensor ،أبوت ونادال في مختبر مستشفى لم يذكر اسمه من براتيسلافا ، سلوفاكيا. كانت مسحات الاختبار من
المجموعات المستخدمة في الاختبارات السطحية في سلوفاكيا والمستشفيات.
الشكل 1 و 2 ألياف نايلون جوفاء في النهاية المكسورة لمسحات الاختبار.

الشكل 3. للمقارنة ، صورة لصوف قطني كلاسيكي تحت المجهر.
يمكنك بسهوله ترى الفرق بين الصوره السابقة ( المصنعة لغرض محدد) والصوره الحاليه الوضع الطبيعي للمسحه الطبيعية.
الشكل 4 و 5 نهايات مكسورة الشكل
مهمتها هي تعطيل الظهارة (الطبقة السطحية) على الغشاء المخاطي ، وبالتالي تكسيرها وترشيح محتوى الألياف اللاحق بها - داربا هيدروجيل والليثيوم. الخيوط حاصلة على براءة اختراع [بواسطة داربا].
الشكل 6 الألياف المفتوحة طوليًا بنهاية مكسورة وكرات محتوى داربا هيدروجيل.
الشكل 7.
على الشريحة ، بعد التلاعب الميكانيكي ، والذي يتطابق مع مادة البلعوم الأنفي، المسحة التي تحتوي على ألياف النايلون المكسرة ، والهيدروجيل والليثيوم. تبقى هذه المادة في البلعوم الأنفي بعد التزاوج.
الشكل 8 و 9.
حبات داربا هيدروجيل التي تشكل محتوى ألياف النايلون المجوفة.
الشكل 10 إلى 11.
بعد ملامسة Darpa Hydrogel بالسوائل العضوية (مثل اللعاب) ، يبدأون في غضون بضع دقائق في تكوين هياكل بلورية مستطيلة الشكل. هذه تنمو تدريجيا بطريقة كسورية.
الشكل 12. نتيجة التبلور بعد 24 ساعة.
الشكل 13.
هذه البلورات Darpa Hydrogel تخلق بنية مكانية ثلاثية الأبعاد وتنمو عبر الأنسجة.
الشكل 14.
تنمو بلورات داربا هيدروجيل تحت المجهر في اتجاه المجال المغناطيسي. في البلعوم الأنفي البشري بعد المسحات تنمو باتجاه الغدة الصنوبرية. تخلق الغدة الصنوبرية مجالًا مغناطيسيًا أقوى محليًا من المجال المغناطيسي الخارجي للأرض.
الشكل 15 و 16.
التبلور الطبيعي للعاب بدون داربا هيدروجيل. لا تنشئ البلورات نماذج مكانية ثلاثية الأبعاد ولا تشكل حتى هياكل مستطيلة ولا تنمو بطريقة كسورية.
الشكل 17 3D.
بلورات داربا هيدروجيل. تم إضافة لعاب بشري مع أجسام مضادة على اليسار ثم على اليمين بالإيفرمكتين.
انظر الشكلين 18 و 19.
الشكل 18. تأثير لعاب الإنسان الذي تغلب على COVID بشكل طبيعي ولديه أجسام مضادة. تمت إضافة هذا اللعاب إلى الجانب الأيسر من الهياكل في الشكل 17 وجاء على الفور تقريبًا إلى التفكك الدائم لهياكل Darpa Hydrogel Crystal.
الشكل 19.
تمت إضافة Ivermectin إلى الجانب الأيمن من الهياكل في الشكل 17 وحدث على الفور الاختفاء الكامل والدائم لهياكل Darpa Hydrogel Crystal. يوضح هذا بوضوح ما له تأثير قوي بشكل لا يصدق ضد ما يجعل Darpa Hydrogel في الكائنات الحية لدينا.
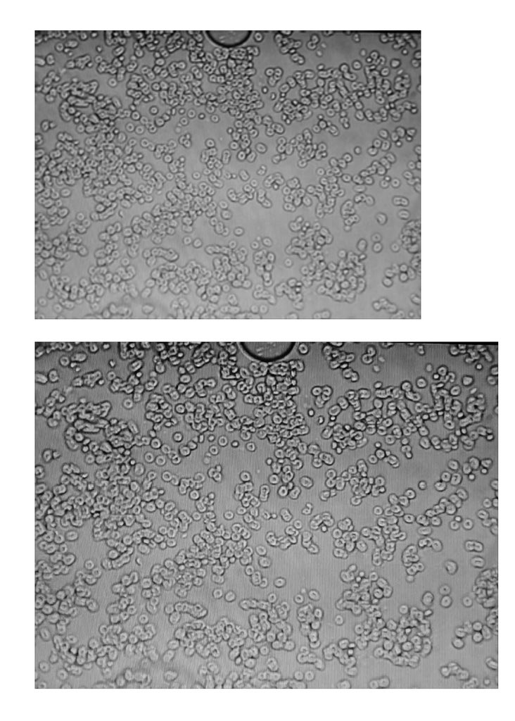
تأثير داربا هيدروجيل على خلايا الدم البشرية.
الشكل 20.
خلايا الدم الحمراء الحية الطبيعية.
الشكل 21.
أدت إضافة داربا هيدروجيل من قضيب الاختبار إلى مذبحة كاملة لخلايا الدم الحمراء.
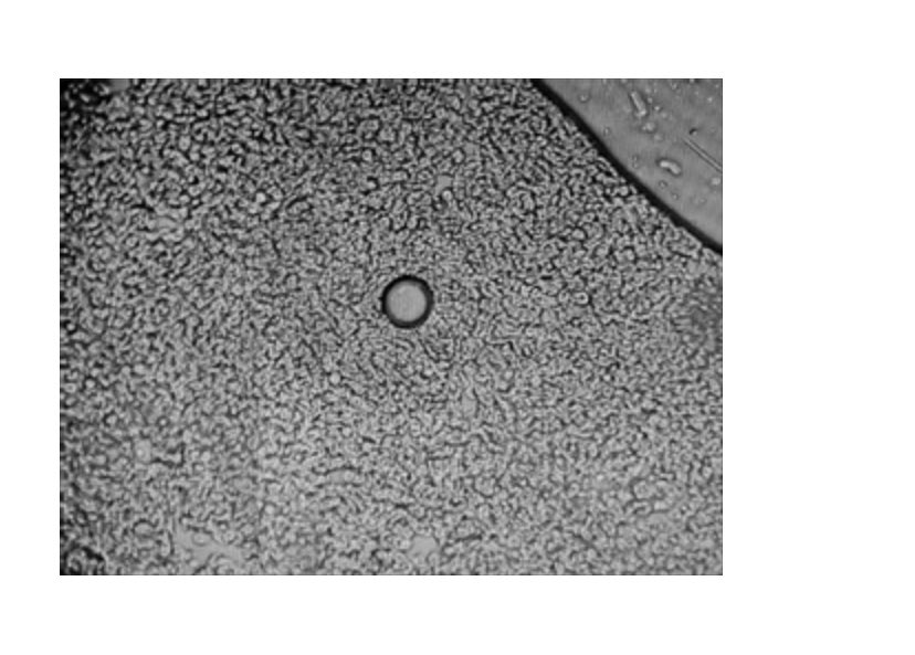
الشكل رقم 22:
يشكل داربا هيدروجيل جلطات دموية في غضون ثوان قليلة. يؤدي ذلك إلى تلف الأوعية الدموية وتسدها.
الخلاصة:
بعد وضع مزيج من شظايا ألياف النايلون ، يبقى Darpa Hydrogel على الغشاء المخاطي للأنف تحت الغدة النخامية والغدة الصنوبرية مع الليثيوم. يتفاعل هذا الخليط على الفور مع الهياكل الحية لتكوين بلورات موجهة بشكل مباشر إلى الغدة الصنوبرية ، التي لها مجالها الكهرومغناطيسي الخاص.
يحدد شكل البلورات نوع الهيدروجيل المستخدم. البلورات موصلة بسبب الليثيوم الموجود فيها. يمكن للبلورات استقبال الإشارة من جهاز الإرسال إلى الخلية ونقل الإشارات من الخلية إلى جهاز الإرسال. هذه في الواقع هوائيات نانوية.
Darpa Hydrogel مادة اصطناعية تخلق محولًا بين الإشارة الكهرومغناطيسية والخلية الحية والأنسجة والعضو. يحول إشارة كهرومغناطيسية من جهاز إرسال إلى إشارة تفهمها الخلية الحية وتستجيب لها.
وجد انه من اصيب بالفيروس سابقا وتكونت لديه اجسام مضاده قادر على ابطال مفعول المسحه.
وكذلك وجد انه في حالة اخذ دواء ايفرماكتن يبطل مفعول المسحة بشكل كبير.
لهذا السبب يتم محاربة دواء ايفرماكتن بقوة لانه يبطل مفعول مسحاتهم ويعالج كورونا بشكل سحري ووجد انه ايضا قادر على ايقاف اضرار اللقاحات.
يجب على جميع الشعوب المطالبه بادخال دواء الايفرماكتن الى دولهم .

جاري تحميل الاقتراحات...