د. هيفاء حمد الراشد🇸🇦
د. هيفاء حمد الراشد🇸🇦

@Dr_Hayfaa

13 تغريدة 48 قراءة May 01, 2021
هناك #سؤال يرد بمعدل يومي وبنفس الطريقة تقريبا:
لثتي إذا غسلتها تنزف!وش الحل؟
#الجواب دائما حسب الحالة..
نشرح الحالات في هذا الثريد بطريقة مبسطة ودائما الحل (إن وجد)يكون بعد التشخيص ولكن هناك أساسيات يجب عدم الاغفال عنها. (١)
"سلسلة عن مشاكل وأمراض اللثة"
#معلومات_عن_صحة_فمك
اللثة السليمة:
لكي نتعرف على اللثة المريضة يجب أولا معرفة الصحية أو السليمة ونعرف الاختلافات البسيطة بين جميع الأعراق.
اللثة السليمة لونها زهري(غالبا)ملتصقة بالأسنان لامعة (غالبا)لا تنزف عند اللمس أو التفريش أو بدون سبب/بعض الناس(الملونين)لديهم تصبغات سمراء طبيعية(الشرح لاحقا)(٢)
مراحل التهاب اللثة:
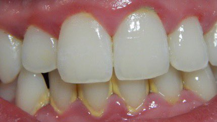
التهاب اللثة الخارجي(مرحلة١):
-الإنتفاخ
-الإحمرار
-النزف
-الألم
-سهل العلاج ويختفي تماماً
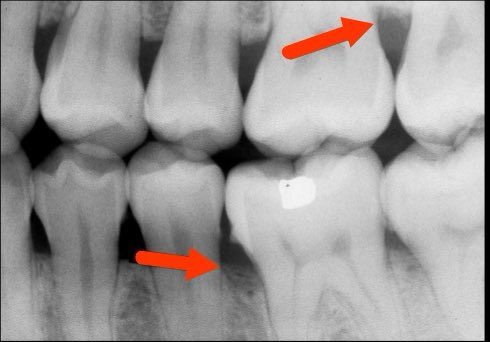
التهاب اللثة العميق(مرحلة٢):
-تآكل بسيط في اطراف العظم الداعم للآسنان وقد(غالبا)يكون مصحوب بعلامات من التهاب اللثة الخارجي
-يمكن علاجه إذا اكتشف باكرا وإيقاف تقدمه.(٣)=
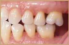
-التهاب اللثة العميق (متوسط) (المرحلة ٣):
- بعض علامات التهاب اللثة الخارجية (ليس بالضرورة تكون موجودة)
-تآكل لمستوى اكثر في العظم الداعم
-نزوح في اللثة الخارجية (النسيج المحيط بالأسنان) (أحيانا)
-بدء حركة الأسنان بدرجة بسيطة
-يكتشف احيانا بالصدفة عند اخذ أشعة الأسنان(٤)=
لمرحلة المتقدمة من التهاب اللثة (المرحلة ٤):
-ألم ونزف
-حركة واضحة ومؤلمة عند المضغ
-رائحة كريهة ومزعجة
-سقوط الأسنان بدون التعرض لضربات أو حوادث
-العلاج قد يكون غير ممكن 💔 (٥)=
الوقاية :
١-الإهتمام بإزالة البلاك بشكل دقيق واستعمال الفرشاة والمعجون مرتين إلى ثلاث يوميا وخيط الأسنان بشكل منتظم مرة يومياً.
٢- منع تجمع الجير بين الأسنان واللثة وعدم إهماله والحرص على إزالته بشكل دوري في عيادة الأسنان
٣- الإمتناع عن التدخين (٦)=
الوقاية(تابع):
٤-الغذاء الصحي والطبيعي
٥- المحافظة على معدل السكر التراكمي منتظم في الدم لمرضى السكري
٦- تكثيف زيارات الفحص الدوري للمرضى المستخدمين لأدوية مؤثرة على اللثة كمرضى الصرع والشحنات الكهربائية. (٧)=
الوقاية:
٧-استشارة الطبيب المختص في حالة وجود تزاحم غير مقبول بين الأسنان لعمل تقويم إذا لزم الأمر
٨- مرضى #متلازمة_داون عرضة أكثر لالتهاب اللثة لذلك يجب العناية اكثر لتأخير حدوث المرض
٩-الحوامل يتعرضن أكثر لإلتهابات اللثة ويجب الإهتمام بكل سبل النظافة والعناية والفحص الدوري(٨)=
الوقاية:
٩- الاشخاص الذين يستعملون الأجهزة التقويمية يجب أن يراعو عناية فائقة بالأسنان واللثة لوجود اجهزة يعلق بها كمية أكبر من البلاك وبالتالي تضاعف عدد البكتيريا المسببة للتسوسات والتهابات اللثة (٩)=
الوقاية:
٩- الاشخاص الذين يستعملون الأجهزة التقويمية يجب أن يراعو عناية فائقة بالأسنان واللثة لوجود اجهزة يعلق بها كمية أكبر من البلاك وبالتالي تضاعف عدد البكتيريا المسببة للتسوسات والتهابات اللثة (٩)=
العلاج:
يعتمد علاج أمراض اللثة على مرحلة المرض ومسبب المرض.. ويكون العلاج عادة بإزالة المسبب ومحاولة استدراك الخلل.
بمعنى:
-ازالة الجير وتنظيف اللثة (من بسيط إلى عميق ومتقدم) حسب التشخيص والمشكلة..
-ابعاد التلبيسات او الحشوات السيئة وتعويضها بجيدة (١٠)=
العلاج:
-عمل جراحات لثوية خاصة لبعض الأسنان وخاصة قبل تقدم المرض للمرحلة الرابعة وعمل بعض التعويض العظمي صناعيا
-عمل ترقيع لثوي خارجي لإنحسار اللثة اذا توفرت الظروف الملائمة والمحفزة لنجاح الجراحة
-السيطرة على مستوى السكري في الدم لتخفيف أثره على اللثة
-التوقف عن التدخين والكحول
في الختام:
اذا كنت تعاني من النزيف، الحساسية، الرائحة، الألم في اللثة.. لا تحاول البحث عن حلول ووصفات منزلية دون التأكد أولا ان اللثة بخير والامر لا يتعدى التهاب بسيط يمكن علاجه ببساطة عن طريق استعمال غسولات الفم والفرشاة والمعجون..
◀️راجع الطبيب دوما لمنع تطور الأمراض

جاري تحميل الاقتراحات...