Dr.Bashayer Alharbi
Dr.Bashayer Alharbi

@Bashayer1411

15 تغريدة 181 قراءة Apr 20, 2021
في الفتره الأخيره كثرت الاراء المتضاربه حول إستخدام حشوة الاسنان الفضيه ( الأملغم - Amalgam ) وماتسببه من أضرار
وبصفتي طبيبه اخصائيه في إصلاح الأسنان سأناقش الموضوع بناء على الدراسات والابحاث العالميه ✨
#الأملغم #حشوات_فضيه #حشوات_رماديه #حشوات_الأملغم #طب_الاسنان
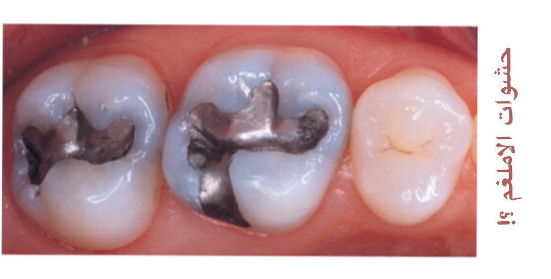
⏹ ما هي حشوات الأملغم؟
تتكون الحشوه من مزيج من المعادن بنسب معينه تشمل الزئبق، الفضة، القصدير، النحاس.
وتستخدم لتعويض الجزء المفقود من السن بسبب التسوس
ويطلق عليها أيضا اسم الحشوات الرصاصيه او الفضيه او المعدنيه
⏹⏹ ماهي مميزات حشوات الأملغم ؟
تبعا للبحث المنشور في مجلة الاسنان الامريكيه 2019 فأن حشوات الأملغم
-اسهل في الوضع مقارنة بالحشوات البيضاء خصوصا مع الاطفال واصحاب الاحتياجات الخاصه
- اقوى من الحشوات البيضاء (مناسبه للاسنان الخلفيه )
- تظل وتبقى لوقت اطول من الحشوات البيضاء
⏹ ماهي اهم عيوب حشوات الأملغم ؟
- من الناحيه الجماليه عدم مماثلة لون الحشوه للون الاسنان الطبيعي
- تحتاج لتحضير السن اكثر من الحشوات البيضاء
- لاتلتصق بالسن مثل الحشوات البيضاء
⏹ ماهو الضرر اللذي يُنسب إلى حشوات الاملقم ؟
اكثُر الحديث في الفتره الأخيرة عن الضرر الذي قد تحدثه حشوات الأملغم نظراً لاحتوائها على مادة الزئبق، و احتمالية حصول تسمم زئبقي
⏹ ماهو رأي المنظمات العالميه في حشوات الاملغم ؟
الجمعية الأمريكية لطب الأسنان : حشوات الأملغم آمنه وتكلفتها مناسبه وتبقي لفتره طويله
اللجنة العلمية التابعة للمفوضية الأوروبية : حشوات الاملغم فعالة وآمنة ، لكل من المرضى والعاملين في طب الأسنان
⏹ تابع :
الاتحاد العالمي لطب الأسنان بالتعاون مع منظمة الصحه العالميه : لا توجد دراسات تثبت ضرر حشوات الأملغم على الصحة الانسان العامه فالمعدل البسيط من الزئبق الذي ينبعث من حشوة الاملغم خصوصا اثناء وضعها أو آزالتها لا يسبب اضرار صحيه
⏹ تابع :
بيان وزارة الصحه السعوديه 🇸🇦
-مادة الأملغم لاتزال أحد الخيارات المعتمدة في حشو الأسنان.
-ازالت حشوات الأملغم الموجودة للإعتقاد بأنها غير آمنة هو أمر غير منصوح به
⏹ تابع :
دراسه حديثه ✨
Amalgam fillings: safe, strong, and affordable.JADA 2019
حشوات الأملغم: آمنة وقوية وممكن الحصول عليها
رسالة موجهة للمرضى من مجلة الجمعية الأمريكية لطب الأسنان٢٠١٩
⏹ ماهي صحة علاقة بعض الأمراض بحشوات الاملغم ؟
تبعا للFDA
-عدم وجود علاقه بين مرض الزهايمر و وجود حشوات الاملغم
- لايوجد علاقه بين حشوات الاملغم وارتفاع نسبه الزئبق في البول او ارتفاع الحساسيه للاملغم او الزئبق
- لا يوجد ضرر من حشوات الاملغم على الجهاز العصبي او الكلي للأطفال
⏹ تابع:
2011
- تشير الدراسات انه لاعلاقه بين الزئبق المنبعث من حشوات الاملغم لا يؤدي الى امراض عامه او تسمم في الجسم
- لايوجد حقائق لدعم العلاقه بين الزئبق المنبعث من حشوات الاملقم و الامراض العصبيه
⏹ هل يجب استبدال حشوة الاملغم ⁉️
لا توصي إدارة الغذاء والدواء الامريكيه FDA بإزالة حشوات الاملغم أو استبدالها إذا كانت الحشوه في حالة جيدة وسليمه إلا في حاله ضروره طبيه بتوصيه من المختصين (مثل الحساسيه من الاملغم)
🛑❌⭕️🛑❌⭕️🛑❌⭕️🛑
⏹ ماهي الاضرار الجانبيه لإزالة حشوات الأملغم ؟
ينتج عن إزالة حشوات الاملغم السليمة خسارة غير ضرورية لجزء من السن بالاضافه لزيادة مؤقتة في بخار الزئبق المنبعث أثناء عملية إزالة الحشوه
⏹ ماهي بعض الاسباب اللتي يتم فيها استبدال حشوة الأملغم ؟
- وجود سوس تحت الحشوة
- ان تكون الحشوة غير سليمه ( مكسوره مثلا )
- حساسية المريض ضد مادة الاملغم ( حالات قليله )
⏹ وبالنسبه لي مع مراجعيني فأنا لا استخدمها لوجود بديل وهو الحشوات البيضاء لعدة اسباب ولكن إذا كانت الحاله تحتاج إلى حشوة الأملغم فلا مانع ✨
وايضا أرفض تغيير حشوات الأملغم اذا كانت سليمه ولايوجد سبب صحي ✨

جاري تحميل الاقتراحات...