Salwa 🔬
Salwa 🔬

@salwa_MLs

17 تغريدة 204 قراءة Apr 17, 2021
لو عندك عينتين وحده من ميل والثانيه فيميل وتلخبط بينهم العينتين كلها بدون ليبل وابغى اعملهم تحليل CBC و نتيجه CBC الاثنين عندهم انيميا وكلهم الهيموقلوبين عندهم LOW
هل نقدر نحدد الجنس من عينه الدم🤔 !!!؟؟؟
للأسف في يوم انسألت السؤال ذا و ماجاوبت 😪🤦🏻‍♀️
بس ذحين بجاوبه🤗
كيف نفرق بينهم عن طريق
Blood film
نصبغه ب Giemsa Stain
و عطول نشوف Neutrophil من خلالها راح نقدر نحدد الجنس
ضروري نفهم الاساس عشان نقدر نفسر ونعرف ايش الاحاصل بالضبط وليش خلايا الفيميل ظاهره بذا الشكل🤔
•In male XY chromosome
•In female XX chromosome
كروموسوم X يعتبر كرومسوم كبير يحتوي حوالي الف جين يعني له كثير وظائف ومهم جداجدا موجود في الميل و الفيميل و الخليه تحتاج منه بس واحد
عشان كذا في الفيميل يحصل
x chromosomal Inactivation
يتعطل واحد و الثاني يبقى نشط يقوم بتعبير عن جينات وبروتينات وكثير صفات
كيف يحصل X Inactivation ؟
يحتوي كرومسوم x على منطقه اسمها
X Inactivation center(xic)
فيها جينين مهمين 🧬
1- Xist ( x inactivation specific transcript )
يحصل لها ترانسكربشن ويسبب عمليه Inactivation
2- Tsix (antisense )
عمله عكس Xist ويسبب activation
في حاجه تفرز في الخليه اسمها Blocking factor تروح ل XIC
وتعمله block
وبكذا لما يحصل Transcription
ل Xist يعطي none coding RNA
ينتشر none coding RNA حول الكروموسوم و يحصل له زي انكماش
ويلتف ع نفسه ويسمى Barr body
طيب متى يحصل تعطيل X كروموسوم
In Embryonic stage
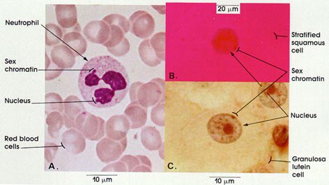
فين نقدر نشوف Barr body!!؟؟
نقدر نشوفه في خلايا Epithelial cells عن طريق اخذ مسحه من باطن الخد وتصبغ وتفحص تحت المايكروسكوب .
و في خلايا Neutrophil يظهر على شكل عصا الطبل ويسمى drumsticks
نلاحظ هنا الفرق بين الميل و الفيميل
مثال على تعطيل كرومسوم x
X-chromosome inactivation in the calico cat
كرومسوم X الا يتعطل احتمال يكون من الام واحتمال يكون من الاب ببساطه انو كل خليه راح تعطل اكس كرومسوم وتخلي واحد يبقى نشط بمزاجها يكون عشوائي عشان كذ البسه ظاهره بأكثر من لون بينما لو جبنا الذكر مراح نشوف كذا اختلافات الالوان
كمان تساعد في تشخيص
-Female withe XXX
(Triple X syndrome)
-Male withe XXY
(Klinefelter syndrome)

جاري تحميل الاقتراحات...