حالة نسيجية جديدة للمهتمين بعلم الانسجة 👇👇 ولا تنسوني من دعواتكم الطيبة #اليوم_العالمي_للمختبرات_الطبية
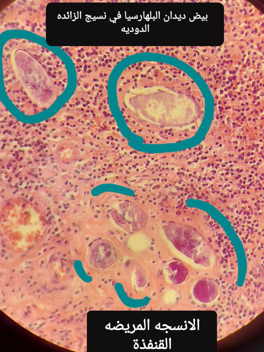
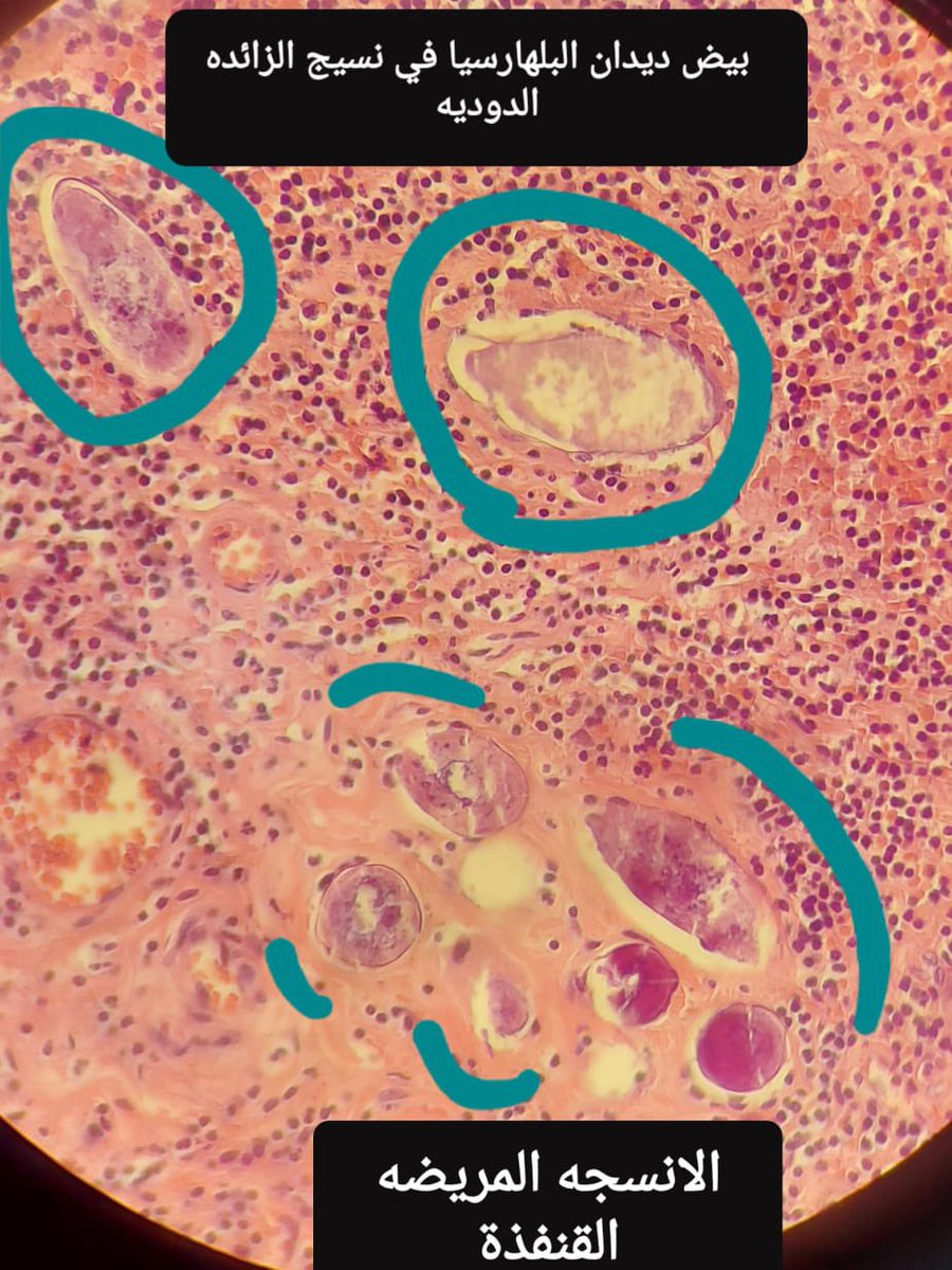
التهاب الزائده الدوديه المعروف امر شائع..لكن كونه تسببه ديدان البلهارسيا هذا امر نادر.
الصور اخذت من المجهر توضح بيض ديدان البلهارسيا..بعضه متعظم ( Calcified) ( اللون الاحمر الداكن)..يغزو نسيج الزائده الدوديه (خلفية مجال الصورة)
الصور اخذت من المجهر توضح بيض ديدان البلهارسيا..بعضه متعظم ( Calcified) ( اللون الاحمر الداكن)..يغزو نسيج الزائده الدوديه (خلفية مجال الصورة)
المريض يشكو الم في مكان الزائده الدوديه..الجانب الايمن اسفل البطن..تم تشخيصه التهاب زائده..تم ازالتها..وارسالها للانسجه..و وجدنا ان الالتهاب سببه البلهارسيا..وهو متفق تماما مع عمر المريض..
وتكثر في اماكن معينه..حيث المياه الراكده..ومناطق الزراعه وتجمع الياه والترع.
وتكثر في اماكن معينه..حيث المياه الراكده..ومناطق الزراعه وتجمع الياه والترع.
جاري تحميل الاقتراحات...