عبدالله البحيري
عبدالله البحيري

@AbdullahBuhairi

42 تغريدة 111 قراءة May 05, 2022
السلام عليكم ورحمة الله
من يعرف ماهو هذا الجهاز؟
ولماذا يستخدم؟
وهل هو فعال؟
وهل يحتاج الى اعادة تعبئة او أي مواد أخرى للتشغيل؟
هذا الجهاز اسمه OZONE DTA
ويستخدم لعلاج:
1- التهابات اللثة
2- تقرحات الفم
3- قبل وبعد زراعة الاسنان
4- قبل و بعد خلع الاسنان
5- في تعقيم قنوات الجذور قبل obturation
6- قبل حشوات اسنان الاطفال
الجهاز يعمل على تحويل O2 الىO3 خلال جزء من الثانية
الابحاث اثبتت فاعلية O3 في التعقيم
هل الجهاز فعال؟
نعم الاوزون و بشكل عام (بغض النظر عن العلامة التجارية) اثبت انه معقم عالي الفعالية
ونحن اطباء الاسنان بحاجة ماسة جدا لتعقيم منطقة العلاج للحصول على اعلى نسبة نجاح علاجية
هل يحتاج الى اعادة تعبئة؟
الجواب هو: لا
انا شخصيا استخدمة من عام ٢٠١٢ ومرتاح جدا للنتائج
استكمالا للحديث عن الاوزون في طب الاسنان
ماذا قال اطباء الاسنان حول العالم؟
لماذا الاوزون يقتل المايكروب و لايؤثر على خلايا الانسان؟
مجموعة فيديوهات تتكلم عن الاوزون في طب الاسنان
youtu.be
youtu.be
youtu.be
youtu.be
نواصل الحديث عن الاوزون في طب الاسنان
دكتور مارك دينولا
من كمبرلاند/ الولايات المتحدة
يتحدث عن تجربته في تطبيقات الاوزون
youtu.be
سوف اقوم بتحميل بعض الابحاث المنشورة عن الاوزن في رابط و ارسلها في تغريدة لاحقة
.... يتبع
الاوزون بشكل عام يعتبر من وسائل التطهير لكثير من الاشياء:
الجروح
التقرحات
الادوات الطبية بدلا من المطهرات السائلة وقبل التعقيم بالاوتوكليف
حبوب الشباب
ولو طلعنا عن المجال الطبي شوي .... ممكن نستخدمها لتطهير العاب الاطفال
youtu.be
السلام عليكم
ماهذا الجهاز؟
وفي ماذا يستخدم؟
هل هو فعال؟
هل مرخص من FDA الامريكية؟
هل مرخص من SFDA?
..... يتبع
هذا جهاز لانتاج الاوزون من Apoza
ويستخدم في علاجات الاسنان المختلفة
والفيديو يخص تجميع الغاز في حقنة بلاستيكة من أجل استخدامها في تطهير قنوات الجذور
It is used as germicidal agent for root canal before obturation
هل هو فعال: الاوزون بشكل عام فعال
نعم مسجل في FDA الامريكية
.. يتبع
لكل جهاز دواعي استعمال
و
تحذيرات استعمال
يجب الحذر عند استخدام الاوزون مع الحالات المذكوره ادناه ... ويشترط عند استخدام الاوزون وجود تهوية جيدة و جهاز شفط قوي
السلام عليكم
نتحدث من جديد عن غاز الاوزون
رابط الفيديو يوضح ان غاز الاوزون يكون طبقة واقية لكوكب الارض
youtu.be
غاز الاوزون لايمكن تخزينه وانما يتم انتاجه لوقت قصير جدا اجزاءا من الثانية
ورغم ذلك له تأثيرات ايجابية في عالم طب الاسنان
سبحان من علم الانسان
.. يتبع
عرفنا في التغريدة السابقة ان طبقة الاوزون في الغلاف الجوي تعمل على حماية و تنقية كوكب الارض
في هذا الفيديو تجربة مصورة لعمل غاز الاوزون في تنقية المياة
youtu.be
ومن هنا ندرك مدى تأثير الاوزون في تنقية:
١.اللثة
٢.سطح اسنان الاطفال قبل الفيشرسيلانت
٣.قنوات الجذور
الحمدلله حمدا كثيرا على نعمه التي لاتحصى
نعمة العلم عظيمة جدا
مازالت نتائج تطبيق جهاز الاوزون ناجحة مع كثير من المرضى الذين اعالجهم
هذه أحدث حالة لرجل مسن يعاني من التهابات مزمنة باللثة .... اختفى نزيف اللثة و الشعور الغير مريح بعد العلاج بالاوزون
وما أجمل الدعاء من لسانه
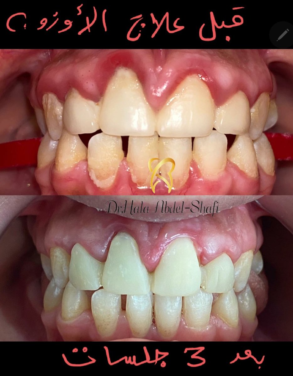
الدكتورة هالة
من مركز رسمة البسمة
في اول استخدام لها لجهاز الاوزون في علاج التهابات اللثة
لاحظت تحسن ايجابي خلال 48ساعة بعد تطبيق الاوزون لفترة علاج خمس دقائق فقط
المريض بحاجة الى 4 جلسات أخرى
لعل الدكتورة تزودنا بالصور بعد اكتمال العلاج
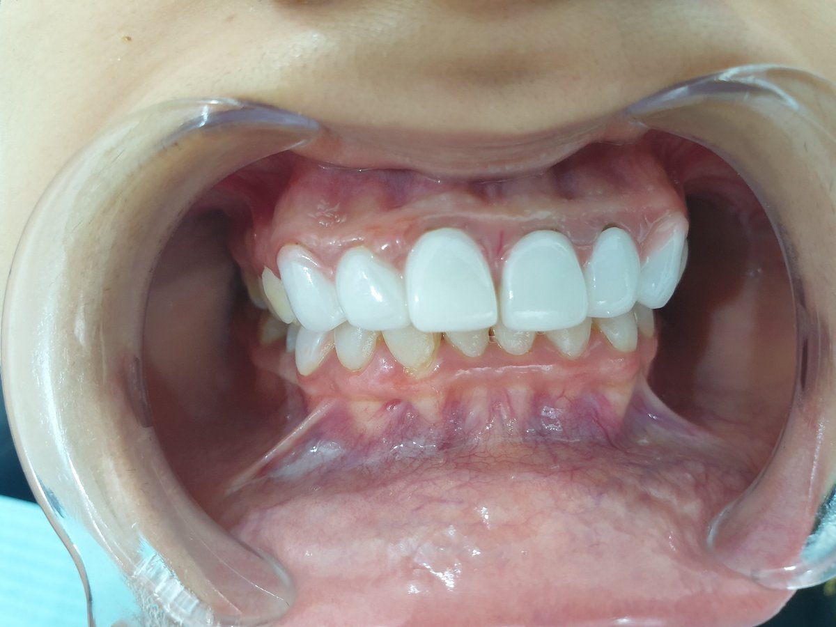
متابعة صور لمريض تحت اشراف الدكتورة هالة بمركز رسمة البسمة
تقدم واضح جدا في أثر العلاج بالاوزون بعد ثلاث جلسات
بمعدل 10 دقائق لكل زيارة
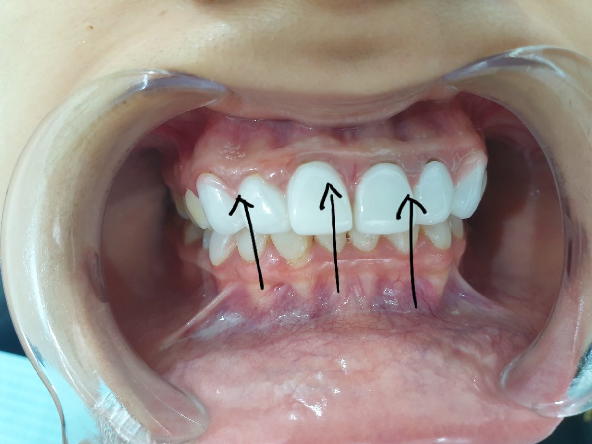
التقدم واضح جدا في الفك السفلي
بعد عدد 6 جلسات علاج بالاوزون
تحسن عمق الجيوب اللثوية و صار في المقياس الصحي
توقف النزيف بشكل ملحوظ وكانت اللثة سابقا تنزف بشكل تلقائي
تغير مظهر اللثة
توقف اهتزاز الاسنان
اكثر واحد كان جدا مبسوط هو المريضة
لم تكن تتوقع ان ترجع اللثة للوضع الصحي السليم
مجموعة ابحاث حول الاوزون في رابط واحد
drive.google.com
في آخر حالة تم تحويلها لي بعد ان تم استبدال التركيبات القديمة
المريضة ترغب في علاج يساعد على تسريع التئام اللثة
كان الاختيار هو العلاج بالاوزون
بمعدل الجلسة 20 دقيقة
النتيجة بعد يومين فقط كانت مبهجة للمريضة
آخر حالة تم علاجها اليوم لالتهاب لثوي للضاحك رقم 45
في الصورة رقم 1 قبل العلاج
ويتضح التهاب مقاوم
الصورة رقم 2 بعد 15 دقيقة بالعلاج بالاوزون
وبإذن الله اوافيكم بالصور للزيارة القادمة
الاوزون مصنف انه معقم عالي الدرجة
والتعقيم العالي مطلب لمكافحة الالتهابات الجرثومية بانواعها
احيانا تحدث بعض المضاعفات بعد خلع الضرس ومن ضمن المضاعفات dry socket وكما هو معروف علاجها التقليدي
ولكن مع الاوزون العلاج مختلف جدا
نستمع للفيديو
التهابات القلاح aphthous ulcer هي التهابات مؤلمة و مزعجة جدا
وألمها مستمر
ويزداد مع المحفزات مثل الحوامض و البهارات
علاج التهاب قلاعي بالاوزون
رأي المريض بعد تلقي العلاج بالاوزون بعد جلستين ليومين
بمعدل خمس دقائق فقط للجلسة
الالتهاب القلاعي لم يتغير شكله
وفترة الالتئام كما هي متوقع كالعادة 10 ايام
(((ولكن الأهم هو ان الألم شبه اختفى)))
كثير من الابحاث اثبتت ان الاوزون يعتبر غاز معقم عالي الفعالية
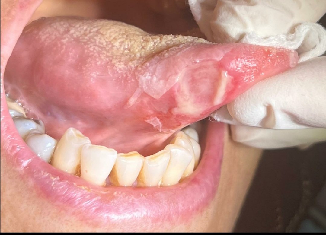
مريضة تعاني من تقرحات متكررة على اللسان
تم علاجها اليوم الاربعاء 20/12/2021 بالاوزون
ولثقتي بالله ثم بقوة تأثير العلاج بالاوزون تم نشر الصورة اليوم لمقارنتها بمظهر اللسان الاحد القادم
من بشائر علاج اليوم بالاوزون .... اختفاء الألم بعد اول زيارة
Ozone sure effective
تصحيح للتاريخ اعلاه
29/12/2021
كما وعدتكم بالامس
ان انزل صور المريضة و بشكل يومي لمتابعة الحالة
هذا لثقتي التامة بقوة مفعول و تأثير العلاج بالاوزون لتقرحات الفم
التقدم واضح في الصورة اليوم
والألم خف كثير جدا (وهو الأهم)
الجلسة الثالثة بعلاج الاوزون
تقدم واضح ولله الحمد في البرء
والألم خف كثير جدا
وردت بعض الردود بخصوص احتمال oral cancer حمانا الله واياكم
اعراض القرحة هنا تختلف كثير عن اعراض oral cancer كما ان المريضة اعرفها من 5 سنوات وهي تعاني من تكرار ظهور التقرحات
.... يتبع
كانت تعاني من التقرحات بمعدل كل 4 شهور
قبل ان تبدأ بالعلاج LAD & Ozone وبعد كل جلسة علاج صار يتأخر ظهور التقرحات
وآخر مرة عالجتها كان من سنة تقريبا
وهذا يعتبر تقدم في العلاج ولله الحمد
من مزايا العلاج بالاوزون للتقرحات انه يؤخر رجوعها مرة أخرى
الى ان تختفي بمشيئة الله
جهاز الاوزون يعتبر اضافة ممتازة لعيادة الاسنان
ومؤثر قوي في علاج الكثير من تقرحات و التهابات الانسجة الطرية
كما انه مفيد كذلك في تعقيم قنوات العصب قبل الحشو النهائي
#الاوزون
#علاج_الاسنان_بالاوزون
#تقرحات_الفم
#تعقيم_قنوات_عصب_الاسنان
اليوم الاحد
كما كان متوقع للحالة
تقدم ملموس في العلاج خاااااااصة الألم
الحمدلله على فضله و نعمته
حالة أخرى لتقرحات الانسجة الطرية بالفم
تم العلاج بجهاز FotoSan (LAD) يختلف في ادائه عن الاوزون
الاوزون يحول O2 الى O3
بينما LAD يحول O2 الى O- مما يتسبب في تأكسد جدار المايكروب مؤديا الى تحلله
متابعة حالة (أم عبدالله)
تقرح قلاعي على طرف اللسان
اللهم لك الحمد والشكر
بعد ثلاث جلسات اوزون ozone
بمعدل 10 دقائق كل زيارة
نتج عنها برء و التئام و اختفاء الألم
وخير من هذا كله ....... دعاء جميل من أم عبدالله نسأل الله له القبول
زارتني بالمركز السابق عام 2019
كانت مكتئبة جدا بسبب كثرة المراجعات وعمل تجريف لثة ولكن دون تقدم في العلاج
كان عمق الجيوب اللثوية يتراوح بين 6 الى 9 ملم
ونزيف في كل اللثة
ولله الحمد فقط خمس جلسات اوزون
وتحسنت حالة اللثة كثير جدا
المتابعة بعد 3 سنوات
صارت الجيوب اللثوية 3الى4 ملم
المريضة كانت حريصة جدا على اتباع التعليمات مابعد العلاج
وهذا كان سبب قوي جدا لتقدم وتحسن الحالة
لها كل الشكر و التقدير
تم تطوير بروب لتجميع غاز الاوزون و الاستفادة منه بشكل مباشر
يتم انتج غاز الاوزون خلال 20 ثانية
ويتم تجميعه في حقنة معقمة
ثم يتم تفريغه في قنوات الاسنان خلال فترة لاتتجاوز 20 ثانية .... لانه سيتحول الى O2 اذا لم يفرغ خلال هذا الوقت
طريقة سهلة جدا لتجميع غاز الاوزون
وتفريغه داخل قنوات الاضراس و الاسنان
الطريقة سريعة كذلك
الفيديو يشرح بساطة و سرعة العملية
هل ممكن استخدام جهاز الاوزون في المنزل و بشكل شخصي
الجواب نعم
خاصة في وجود البثور و حبوب الشباب او تقرحات الجلد لمرضى السكري
وسوف اتكلم عنها لاحقا في تغريدة قادمة ان شاء الله
في العشرينات من عمره
لايشتكي من اي امراض باطنية (سوا جرثومة المعدة)
تقرحات بالفم متكررة من مرتين الى ثلاث مرات شهريا
مؤلمة جدا
بعد جلسة واحظة فقط بعلاج الاوزون ... خفت التقرحات
العلاج المقترح .... جلسات متكرره علاج اوزون مع كل مرة تظهر فيها التقرحات الى ان تخافي بإذن الله
تكلمنا عن استخدامات الاوزون في علاج التهابات الانسجة الطرية داخل الفم
لكن هذي احد مساعدات طبيب الاسنان عندنا في المركز قرأت عن الاوزون لعلاج حب الشباب و بثور الجلد
كانت تعاني من ظهور بثور متكرر في الوجه
عملت لنفسها 3 جلسات علاج بالاوزون
ونلاحظ الفرق واضح في ترتيب الصور
علاج التهابات اطراف اصابع الاقدام بالاوزون
تكلم كثيرون عن هذه الطريقة
وهل هي فعالة وناجحة
معروف ان الاوزون له تأثير على قتل المايكروبات وله تأثير لتجديد خلال الانسجة الطرية
help-curriculum.com
#الاوزون
#العلاج_بالاوزون
الروابط في شبكة الانترنت التي تتكلم عن فوائد العلاج بالاوزون كثيرة
البعض يبالغ جدا فيها و آخرين يتكلمون باثباتات و تجارب و البعض يدلو بدلوه دون اثباتات علمية
الفيصل في العلاجات الطبية هو التجارب المثبته و المنشورة
help-curriculum.com
#العلاج_بالاوزون
حدثني احد المرضى ان هناك خلاف حول العلاج بالاوزون
جوابي كان: الخلاف طبيعة البشر
وهناك اختلافات حول امور طبية كثيرة
ليس مجالنا ان نخوض فيها الان
لكن ببساطه:
الجهاز حاصل على اعتراف امريكي
وحاصل على اعتراف اوروبي
ومصنف في هيئة الغذاء و الدواء السعودي
وله رقم تصنيف في جمارك الرياض
السلام عليكم
هذي احدث حالة تم تحويلها لي من طبيب الترميم
المريضة تشتكي من التهاب مزمن و نزيف لثوي
لايوجد جير
السبب تصميم غير جيد للتركيبات الثابتة
تم علاجها بالاوزون ولله الحمد سبع جلسات
رجعت اللثة صحية وحيوية
ويستطيع الطبيب اكمال علاج ترميم الاسنان
@Layan_one
@Drwahabi91

جاري تحميل الاقتراحات...