Mustafa Alhasan
Mustafa Alhasan

@DrMostapha

14 تغريدة 50 قراءة Oct 03, 2021
ثريد للماموجرام السنوي يتضمن معلومات عن الفحص والأشعة التي يتم التعرض لها وغيرها:
1. توصي ال USPSTF جميع النساء في سن ال 50 بفحص الماموجرام لكل سنتين حتى سن ال 74 من العمر. طبعا التوصية تختلف من أطباء الأشعة وأطباء السرطان وهي كالتالي في رقم 2.
2. توصي الكلية الأمريكية للأشعة ACR وجمعية تصوير الثدي SBI بالبدء من سن ال 40 سنويا والجمعية الأمريكية للسرطان بالبدء من سن ال 45 سنويا واختياريا من سن ال 40.
اختلاف بسيط في توصية الجمعية الأمريكية للسرطان حيث يمكن التحول للماموجرام كل سنتين أو الإبقاء على كل سنة بعد سن 54.
3. مقدار الأشعة التي يتم التعرض لها في الماموجرام يساوي 0.4 mSv ويعادل مقدار 7 أسابيع من التعرض للأشعة في الطبيعة أو يعتبر أقبل 8 مرات من مجموع الأشعة التي يتعرض لها الشخص من الفضاء الخارجي. فقط التعرض لأكثر من 100 mSv لها علاقة مثبتة بحدوث سرطان.
هذا يعني أن المرأة تحتاج للتعرض لماموجرام يومي لسنة كاملة لتبدأ احتمالية الإصابة بالسرطان تزيد لديها. يعني سوي الماموجرام بدون أي خوف من الأشعة التي سيتم التعرض لها.
تقريبا يتم اكتشاف حالتين إلى ثلاث حالات من 100 فحص ويمكن علاجها بشكل مبكر جدا والقضاء على المرض بعد مشيئة الله.
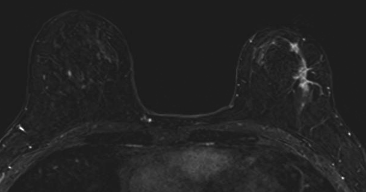
4. من يتم عمل فحص له بالرنين المغناطيسي؟
أ. الحاملين لطفرة جينية في BRCA1 or BRCA2.
ب. النساء الذين لديهم أقرباء من الدرجة الأولى ويحملون الطفرة مثل الأم والأب والأخ والأخت والأبناء.
ج. النساء الذين لديهم معامل خطورة عالي 20-25% بناء على تاريخهم المرضي ويقوم الطبيب بحسابه.
د. النساء الذين تعرضوا لعلاج إشعاعي لمنطقة الصدر لعلاج حالات مثل اللمفوما وكانوا في سن 10-30 سنة.
هـ. لديهم متلازمة مرضية معروفة بحدوث بعض أنواع السرطان فيها مثل: Li-Fraumeni syndrome, Cowden syndrome, or Bannayan-Riley-Ruvalcaba syndrome
و: يضاف لذلك النساء الذين تم علاجهم من سرطان ثدي سابق أو لديهم تغييرات تشير لإمكانية حصول سرطان بناءا على خزعة من الثدي وكذلك النساء الذين يعانون من كثافة شديدة في أنسجة الثدي.
5. نستعرض بعض الحالات بشكل سريع:
الحالة الأولى: تم اكتشاف كتلة في الثدي الأيسر. ثم تشخيصها بعد عمل خزعة بالأشعة التلفزيونية. تم عمل PET CT بعد ذلك واتضح وجود الكتلة وانتشار لأحد فقرات الظهر. ثم عمل ال MRI ويتضح وجود الكتلة في الجزء الخلفي الخارجي للثدي الأيسر.
تم علاج المريضة بعلاج اشعاعي لمنطقة الفقرة المصابة وعلاج السرطان بالعلاج الكيماوي واختفى بعد ذلك في الرنين المغناطيسي ثم تم استئصاله كاملا والحمدلله.
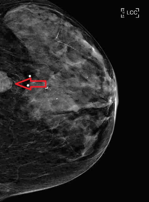
الحالة الثانية: اتضح وجود كتلة كبيرة في الصدر الأيمن بعد الفحص وعمل خزعة تحت الأشعة التلفزيونية ثم رنين مغناطيسي للصدر يوضح انتشارها. تم علاج المريضة وعمل رنين مغناطيسي يوضح صغر الكتلة بشكل كبير جدا ثم تم استئصال الثدي الأيسر بشكل كامل وترميمه جراحيا.
الحالة الأخيرة: كتلة صغيرة جدا في الثدي الأيسر. تم عمل رنين مغناطيسي واكتشاف انتشار للغدد اللمفاوية المجاورة. تم علاج المريضة واستئصال الكتلة والغدد بشكل كامل.
أخيرا: لا تستهينوا بهذا الفحص أبدا. الكثير من الكتل لا يمكن اكتشافها إلا بالفحص لأنها قد تكون صغيرة جدا أو بمكان عميق داخل الصدر لا يمكن تحسسها بالضغط على الثدي فقط. الأشعة المستخدمة لن تضر الثدي ولن تتسبب في حدوث أي مضاعفات. أتمنى الشفاء لكل مريضة بهذا المرض
وأنصح الأصحاء بالمتابعة أولا بأول والفحص والحمدلله متوفر في معظم السعودية. طبيب الأشعة والأورام وجراحي الصدر والتجميل يعملون سوياً للخروج بأفضل نتيجة للمصابين وكذلك الحفاظ على المظهر الخارجي للصدر. في أمريكا كنا أسبوعيا نقوم بمناقشة الحالات معهم ونقاشها للخروج بأفضل نتيجة ممكنة.

جاري تحميل الاقتراحات...