يسبب فيروس النطاقي الحماقي عدوى الجديري المائي،وهو يسبب طفحا جلديا وحكة مع بثور صغيرة، مملوءة بسائل. وهو من الأمراض شديدة العدوى للأشخاص الذين لم يصابوا بالمرض من قبل، أو لم يلحقوا ضده. ولكن اليوم، أصبح اللقاح متاحا لوقاية الأطفال، هو طريقة آمنة وفعالة للوقاية من المرض ومضاعفاته.
الأعراض
تظهر بثور الطفح الجلدي المثير للحكة من 10 إلى 21 يومًا بعد التعرض للفيروس، وعادةً يستمر من 5 إلى 10 أيام. تتضمَّن العلامات والأعراض الأخرى التي قد تظهر في يوم أو اثنين قبل الطفح ما يلي:
•الحُمّى
•فقدان الشهية
•الصداع
•الإرهاق وإحساسًا عامًّا بعدم الصحة
تظهر بثور الطفح الجلدي المثير للحكة من 10 إلى 21 يومًا بعد التعرض للفيروس، وعادةً يستمر من 5 إلى 10 أيام. تتضمَّن العلامات والأعراض الأخرى التي قد تظهر في يوم أو اثنين قبل الطفح ما يلي:
•الحُمّى
•فقدان الشهية
•الصداع
•الإرهاق وإحساسًا عامًّا بعدم الصحة
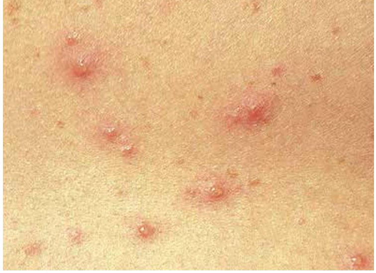
يمر طفح الجديري المائي حال ظهوره بثلاث مراحل:
•ظهور فقاعات وردية أو حمراء، وتحتفي بعد عدة أيام.
•تكون بثور مملوءة بسائل بسيط (حويصلات) في غضون يوم من هذه الفقاعات، ثم تنفتح ويتسرب السائل
•قشور تغطي البثور المفتوحة، وتأخذ عدة أيام لتختفي.
•ظهور فقاعات وردية أو حمراء، وتحتفي بعد عدة أيام.
•تكون بثور مملوءة بسائل بسيط (حويصلات) في غضون يوم من هذه الفقاعات، ثم تنفتح ويتسرب السائل
•قشور تغطي البثور المفتوحة، وتأخذ عدة أيام لتختفي.
تستمر فقاعات جديدة في الظهور لعدة أيام؛ لذلك تمر بالمراحل الثلاثة للطفح -الفقاعات والبثور والجلد المُقشر- في نفس الوقت.
يمكن للمريض أن ينشر الفيروس في غضون 48 ساعة قبل ظهور الطفح، ويظل الفيروس غير مُعدٍ حتى تتقشَّر البثور المفتوحة.
يمكن للمريض أن ينشر الفيروس في غضون 48 ساعة قبل ظهور الطفح، ويظل الفيروس غير مُعدٍ حتى تتقشَّر البثور المفتوحة.
العلاج
في حالة الأطفال والأشخاص الاصحاء لا يحتاج الجديري المائي عادة إلى علاج طبي. قد يصف الطبيب مضادا للهستامين لتخفيف الحكة. لكن في أغلب الأحوال يسمح للمرض بأخذ مجراه.
في حالة الأطفال والأشخاص الاصحاء لا يحتاج الجديري المائي عادة إلى علاج طبي. قد يصف الطبيب مضادا للهستامين لتخفيف الحكة. لكن في أغلب الأحوال يسمح للمرض بأخذ مجراه.
جاري تحميل الاقتراحات...