أول موضوع ببتدي فيه السلسلة هو G6PD enzyme
📍 بنعرف مع بعض المعادلة حق G6PD
📍كيف ممكن ينتقل للأبناء
📍الأعراض لِ نقص G6PD
📍كيف أشخص نقص G6PD؟
📍 بنعرف مع بعض المعادلة حق G6PD
📍كيف ممكن ينتقل للأبناء
📍الأعراض لِ نقص G6PD
📍كيف أشخص نقص G6PD؟
G6PD deficiency enzyme ..
Is the commonest of the inherited red cell enzyme disorders
Is the commonest of the inherited red cell enzyme disorders
لما يكون عندي خلل في انزيم Glucose-6- phosphate hydrogenase " G6PD" بيصير الخلايا الحمراء سهل انها تتكسر بوجود Oxidants
خلينا اول شيء نعرف شنو معادلة G6PD؟
هالانزيم بيساعد انه ينتج لي NADPH واللي بدوره بيزود الجسم بِ glutathione وبيساعدنا في الحفاظ على الخلايا الحمراء قدام oxidant لأن في oxidant الجسم بيحتاج NADPH + glutathione أكثر
هالانزيم بيساعد انه ينتج لي NADPH واللي بدوره بيزود الجسم بِ glutathione وبيساعدنا في الحفاظ على الخلايا الحمراء قدام oxidant لأن في oxidant الجسم بيحتاج NADPH + glutathione أكثر
طيب شنو oxidants اللي تخلينا نحتاج NADPH + glutathione؟
⁃بعض الأدوية.
⁃العدوى.
⁃بعض الأكلات مثل: الفول
⁃بعض الأدوية.
⁃العدوى.
⁃بعض الأكلات مثل: الفول
طريقة التوريث: ينتقل وراثياً عن طريق X chromsome يعني المصابين عادة رِجال والنساء يكونون حاملين للمرض بس.
شنو الأعراض؟
بعض الأشخاص يكونون بدون أعراض أساساً
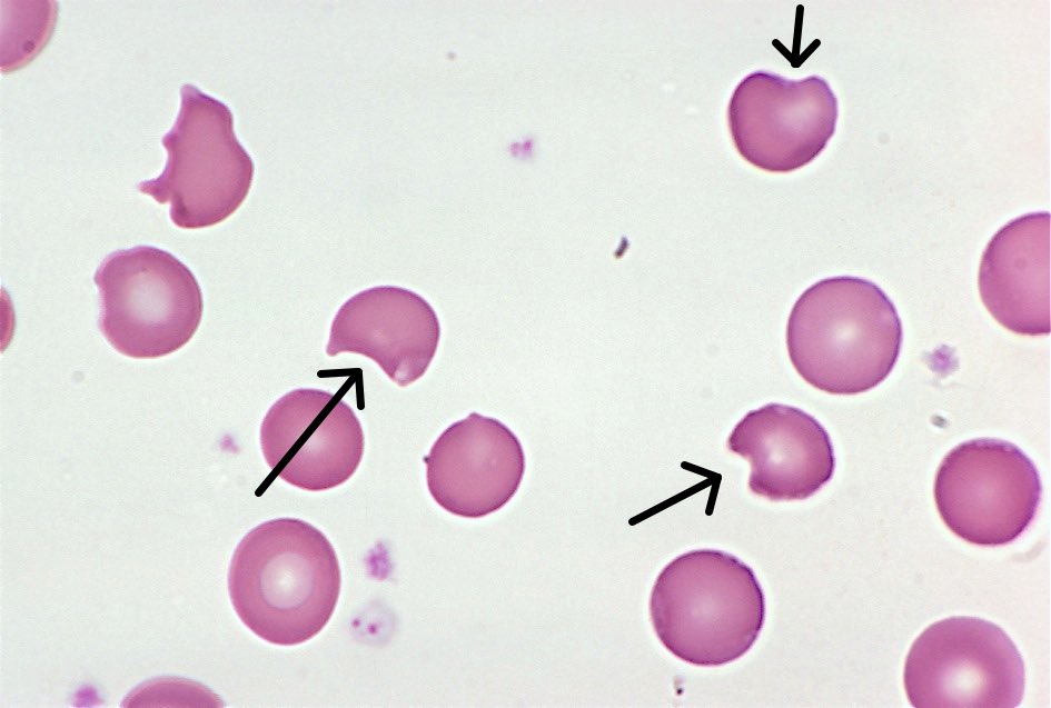
ولكن فيه ناس تبان عليهم الأعراض مثل: دوخة + تعب + حرارة + jaundice وأيضاً بياض في العين + دقات القلب تكون سريعة + تضخم في الطحال + صعوبة في التنفس
بعض الأشخاص يكونون بدون أعراض أساساً
ولكن فيه ناس تبان عليهم الأعراض مثل: دوخة + تعب + حرارة + jaundice وأيضاً بياض في العين + دقات القلب تكون سريعة + تضخم في الطحال + صعوبة في التنفس
كيف ممكن إني أشخص G6PD ؟
أول شيء بقيس الهيموغلوبين " لو كان الشخص توه متعرض لِ oxidant ممكن انه الهيموغلوبين يصير له نزول سريع + وممكن نشوف هيموغلوبين في البول "
أول شيء بقيس الهيموغلوبين " لو كان الشخص توه متعرض لِ oxidant ممكن انه الهيموغلوبين يصير له نزول سريع + وممكن نشوف هيموغلوبين في البول "
في تست إسمه methemoglobin test:
بستخدم فيه sodium citrate عشان أحول الهيموغلوبين إلى ميثاموغلوبين وبستخدم فيه methylene blue " في الشخص الطبيعي راح يرجع الميثاموغلوبين الى هيموغلوبين
بستخدم فيه sodium citrate عشان أحول الهيموغلوبين إلى ميثاموغلوبين وبستخدم فيه methylene blue " في الشخص الطبيعي راح يرجع الميثاموغلوبين الى هيموغلوبين
في اختبار ثاني بعد أغلب المستشفيات تسويه اسمه fluorescent NADPH spot test:
هنا انا بستخدم reagent وبحطه مع العينة عشان يكسر لي الخلايا وبحطها بفحص هل اللي داخل NADPH ولا NADP
هنا انا بستخدم reagent وبحطه مع العينة عشان يكسر لي الخلايا وبحطها بفحص هل اللي داخل NADPH ولا NADP
فيه اختبارات ثانية مثل:
- rapid card test.
- PCR mutation detection.
- rapid card test.
- PCR mutation detection.
جاري تحميل الاقتراحات...