سعود بن سلمان
سعود بن سلمان

@Sauds_qh

11 تغريدة 215 قراءة Feb 26, 2021
هل ابتسامة هوليوود الحل المناسب لجميع المشاكل ؟
هذا الثريد راح يكون فيه جميع تفاصيل الابتسامة و رأيي بها في النهاية.
فضلوا التغريدة و ارجعوا لها اذا احجتوها ❤️
- وش هي ابتسامة هوليوود ؟
هي عبارة عن قشرة مصنوعة من السيراميك أو الزيركون يتم إلصاقها بعد نحت جزء من المينا بالأسطح الأمامية للأسنان الظاهرة في وضع الابتسامة.
- ابتسامة هوليوود هي الفينيرز و اللومينير ؟
اي نعم جميع العدسات التجميلية نفس الفكرة, لازم يصير فيه نحت لجزء من المينا لكن الاختلاف كمية النحت.
النحت في اللومينير أقل بكثير من الفينيرز و يعطي منظر طبيعي أكثر من الفينيرز.
- متى تكون العدسات هي الحل المناسب ؟
في الحالات التالية :
- التصبغ الداخلي بسبب المضادات الحيوية أو الفلورايد.
- وجود مسافات بسيطة بين الأسنان.
- صغر حجم بعض الأسنان.
- عيوب في تكوين طبقة المينا.
إذا كانت أسنانك نفس الصور هذي أنصحك تاخذ أكثر من استشارة للتوصل للعلاج المناسب.
- هل هي آمنة بالكامل ؟
بالطبع لا, إذا تم عملها بشكل خاطئ و عدم مراعاة من الطبيب لصحة اللثة راح تسبب التهابات باللثة و رائحة كريهة.
و أيضا إذا ما تم العناية بها من قبل المريض راح تسبب مشاكل.
هذي أحد المشاكل اللي تصير بعد العدسات ⬇️
- كيف نقول العدسات هذي جميلة أو سيئة ؟
فيه مفهوم خاطئ منتشر اللي هو كل ما كانت الأسنان ناصعة البياض صارت أحلى, المفروض العدسات تكون بشكل طبيعي من ناحية اللون و الشفافية في أطراف السن و عشان نوصل لشكل طبيعي لازم يتم تقييم لون العيون و الشعر و البشرة كل هذي عوامل مهمة.
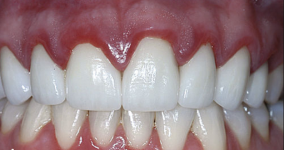
الفرق 😍⬇️
من كثر ما إن الموضوع مستفز شوفوا هنا صور بعد لحالات تم علاجها بالسابق بشكل سيء و كارثي و تم تصحيح العلاج و اعادة عمل التلبيسات بذمة و ضمير. ❤️
شوووفوا الفرق كيف كانت اللثة و ايش صارت و فرق اللون و شفافية السن و كيف صارت طبيعية و جميلة 😍
العناية بعد تركيب العدسات:
- تجنب المضغ على اشياء قاسية لتجنب تكسر التركيبات.
- الحفاظ على الزيارة الدورية كل 6 شهور.
- التفريش على الأقل مرتين باليوم بعد الأكل و قبل النوم.
- استخدام الخيط بعد الأكل لمنع الرائحة الكريهة.
- استخدام غسول الفم.
- رأيي بابتسامة هوليوود ؟
تعتبر حل مناسب لكثير من الحالات و علاج ممتاز بشرطين, إذا تم عملها عند دكتور ممتاز و ينتبه لصحة اللثة, و إذا كانت بمنظر طبيعي. 👌
نصيحتي المتواضعة :
- تجنبوا الإعلانات و العروض المضللة, حاولوا استشارة أكثر من دكتور و قبل العلاج حاول توصل لحسابات الدكتور بالتواصل الاجتماعي و تشوف حالاته, تجنب الاسنان ناصعة البياض أرجوووكم.
- مو أي عيادة يعلنون لها بعض المشاهير تكون كويسة و شغلها احترافي انتبهوا.
المعذرة على الإطالة و أتمنى أكون شرحت شرح وافي و اللي عنده إضافات أو أسئلة يقدر يكتب تحت.
و لا تنسون الدعم بلايك و فولو 😊❤️

جاري تحميل الاقتراحات...