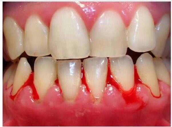
أسباب نزيف اللثه :
١ - غالباً يكون إلتهاب اللثه بسبب عدم تنظيف الأسنان و تراكم البلاك و الجير عليها و أعراض إلتهاب اللثه هي
⁃إنتفاخ اللثه
⁃إحمرارها و يكون لونها أحمر قاتم
⁃رائحة فم كريهه
⁃سهولة نزيف اللثه بمجرد إستخدام أدوات تنظيف الأسنان
١ - غالباً يكون إلتهاب اللثه بسبب عدم تنظيف الأسنان و تراكم البلاك و الجير عليها و أعراض إلتهاب اللثه هي
⁃إنتفاخ اللثه
⁃إحمرارها و يكون لونها أحمر قاتم
⁃رائحة فم كريهه
⁃سهولة نزيف اللثه بمجرد إستخدام أدوات تنظيف الأسنان
٢ - إلتهاب دواعم الأسنان بسبب تطور إلتهاب اللثه
٣ - نقص الفيتامينات
مثل فيتامين C و فيتامين K
٤- تغيرات هرمونيه
ممكن تحدث فترة الحمل بسبب التغيرات الهرمونية تصبح اللثة أكثر حساسية
٣ - نقص الفيتامينات
مثل فيتامين C و فيتامين K
٤- تغيرات هرمونيه
ممكن تحدث فترة الحمل بسبب التغيرات الهرمونية تصبح اللثة أكثر حساسية
٥ - بعض الادوية و مميعات الدم
٦- بعض الأمراض مثل سرطان الدم
٧- عوامل وراثيه مثل الهيموفيليا
٨- تفريش الأسنان بطريقه غلط أو استخدام فرشاة خشنه
٦- بعض الأمراض مثل سرطان الدم
٧- عوامل وراثيه مثل الهيموفيليا
٨- تفريش الأسنان بطريقه غلط أو استخدام فرشاة خشنه
طرق الوقاية من أسباب نزيف اللثة :
١- تفريش الأسنان بطريقة صحيحيه مرتين يوماً ( مهم جداً تكون الفرشاة ناعمه ) و إستخدام الخيط بطريقة صحيحه
١- تفريش الأسنان بطريقة صحيحيه مرتين يوماً ( مهم جداً تكون الفرشاة ناعمه ) و إستخدام الخيط بطريقة صحيحه
٢- زيارة طبيب الأسنان كل ستة أشهر للتأكد من سلامة اللثة والأسنان وفي حالة وجود التهاب باللثة يتم معالجته وعدم تطوره إلى التهابات دواعم السن
٣- تحسين نظام الغذاء (التزام بالأكل الصحي)
وسلامتكم ✨
٣- تحسين نظام الغذاء (التزام بالأكل الصحي)
وسلامتكم ✨
جاري تحميل الاقتراحات...