Dr. Fatimah alsharif-د.فاطمه الشريف
Dr. Fatimah alsharif-د.فاطمه الشريف

@DrFatimahDENT

7 تغريدة 87 قراءة Feb 19, 2021
دائماً نسمع أن الفلورايد مفيد لصحة الأسنان .. بس مهم نعرف أنه زي أي شي في الدنيا (إذا زاد عن حده انقلب ضده!)
بحكي لكم عن .....
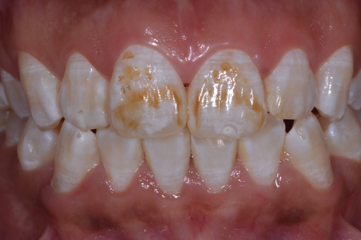
التفلور الزائد للأسنان ( Dental Fluorosis)
هو نقص في معادن مينا الأسنان بسبب حصول الجسم على جرعات زائدة من الفلورايد أثناء تشكل مينا الأسنان يسبب تغير في درجة لون الأسنان .. يحدث في الفتره الي تتكون فيها الأسنان مرحلة الطفولة
أسبابة :
١- مياة الشرب لم يتم فحص مستوى الفلورايد فيها
٢- كثرة إستخدام معجون الأسنان و غسول الفم المحتوي على الفلورايد ، ممكن يبتلعها الطفل
أنواعة :
١- أبسط شكل يكون خطوط أو بقع بيضاء باهته
٢- متوسط يكون بقع بيضاء منقوشه على سطح الأسنان
٣- شديد يكون بقع باللون البني تغطي معظم الأسنان
علاجه :
١ - في الحالات البسيطه جداً ينفع معها التبيض
٢- حشوات التجميلية
٣ - عدسات الأسنان ( veneers )
* كيف نحمي أنفسنا و من نحب من أضرار الفلورايد :
١- تجنب إبتلاع معجون الأسنان أو أي منتجات عناية فموية تحتوي على الفلورايد ( مهم جداً نراقب أطفالنا وقت تنظيفهم لأسنانهم ) 👧🏻👶🏻👁
*النسبة الآمنة من الفلورايد في معجون الأسنان هي
1000 ppm - 1500 ppm
* النسبة الآمنة من الفلورايد في غسول الفم هي
0.05%
٢- نحرص على معرفة نسبة الفلوريد في مياة الشرب
* النسبة الآمنة حسب هيئة الغذاء و الدواء هي بين
0.7-1.5 ملغم/لتر
وسلامتكم ✨🦷✨

جاري تحميل الاقتراحات...