عبد الهادي العشيري ABDULHADI ALASHERY
عبد الهادي العشيري ABDULHADI ALASHERY

@alashiri747

10 تغريدة 1 قراءة Dec 30, 2022
للمهتمين بعلم الانسجة والخلايا حالة مرضية نادره راح نناقشها بحول الله انتظروني ولا تنسوني من دعواتكم الطيبة .
بداية الحالة عبارة عن قولون تم استئصاله
تشخيص نسيجي نارد
Colon Basidiobolomycosis عبارة عن فطريات
basidiobolus ranarum
سبلندور هوبلي هو العالم مكتشف الفطر وتشخيصة
هذا النوع من الفطيات معروف عنه انو يصيب الحيوانات ومنها الخفاش 😁😁😁😁 ومعروف ان هذا الفطر نادرا جدا يصيب الانسان وعادة يصيب الجلد في الانسان ولكن هذه الحالة للاسف وصل للقولون وللاسف يكون عند اصابته للانسان مرض صعب علاجه
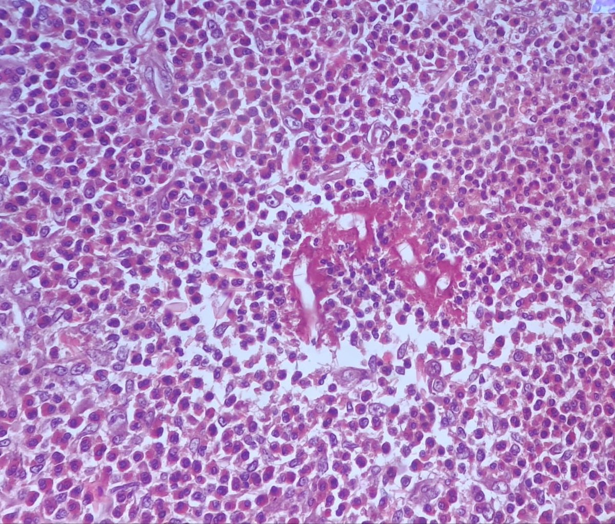
يظهر هذا النوع من الفطريات في جهاز الاشعة التلفزيونية عند الكشف عن المريض كانه عبارة عن خلايا سرطانية ويشخص للوهله الاولى احتمال ورم سرطاني ولكن عند التشخيص النسيجي الصحيح يظهر الفطر بشكل واضح كما بالصورة التالية
لو ركزنا في الصورة حنلاقي انو ما يمز هذا الفطر بالنسيج انو يكون منطقة حمراء حولة وهو ما اكده العالمان سيلندور وهوبلي كدليل واضح وتاكيد على الفطر لاحظو الصورة ركزو بالمنطقة الفاضية هذا الهيفا للفطر واضحة
في الصورة التالية نلاحظ بشكل واضح اللون الاحمر حول الهيفا للفطر لاحظو 👇👇
هنا صورة بصبغات متخصصة GMS تظهر الفطر بشكل اوضح
ياريت احد من متابعيني الافاضل والمهتمين بالانسجة المرضية يعمل دراسة عن هذا النوع من الفطريات لانه قبل كذا تم تسجيل حالات بالمملكة لمعرفة الاسباب وطرق الوقاية من هذا الفطر .... اخيرا اتمنى ايصال المعلومة للمهتمين لتعم الفائدة ولا تنسوني من دعواتكم الطيبة 🌹.

جاري تحميل الاقتراحات...