سعود بن سلمان
سعود بن سلمان

@Sauds_qh

9 تغريدة 87 قراءة Feb 05, 2021
أعتقد أكثر سؤال يواجه جميع من له علاقة بالأسنان هو ( دكتور وش رايك في تبييض الأسنان ) في هذا الثريد راح أشرح الموضوع بكل تفاصيله ..
إذا الموضوع يهمكم فضلوها و ارجعوا لها اذا احتجتوها ❤️
- أولًا نصنف أنواع التصبغات إلى داخلية و خارجية ..
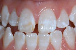
- الداخلية ( و هي تصبغ طبقة العاج بسبب إصابة أو استخدام بعض الأدوية و المضادات أو التعرض للفلورايد بتركيز عالي ) نتيجة التبييض لهذا النوع ليست مرضية كالنوع الخارجي.
الصور هذي أمثلة على التصبغات الداخلية.
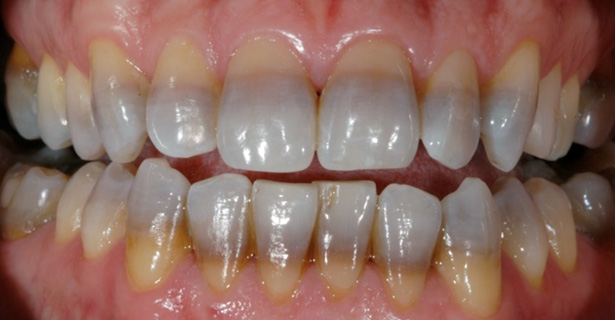
- التصبغ الخارجي ( هو اللي يصيب القشرة الخارجية " المينا " بسبب عوامل عدة منها التدخين, القهوة, الشاي, بعض الفواكه, المشروبات الغازية. ) هذا النوع من التصبغات هو اللي يستجيب بشكل ممتاز للتبييض.
- بعد ما عرفنا الأسباب أول شيء أحذركم منه ( ابتعدوووووا عن الأعشاب و التبييض بالليمون و الخرابيط ❌) ليش ؟ ببساطة تركيز المواد هذي عالي و ما نقدر نتحكم به و بقائها على سطح السن فترة طويلة راح تسبب بتآكل قشرة المينا نفس الصورة اللي تحت كلهم صدقوا الاشاعات و الخرابيط بالنت. 👎
- يوجد طريقتين للتبييض و هي العيادة أو العدة المنزلية.
- تبييض العيادة يتم عن طريق الطبيب باستخدام مواد بتركيز عالي تعمل على تفكيك الروابط للتصبغات على الأسنان و بالتالي تستعيد لونها الطبيعي و نتيجته فورية.
- العدة المنزلية عن طريق مواد بتركيز خفيف لكن تحتاج مدة أطول من العيادة.
- هل يوجد سلبيات أو مخاطر للتبييض؟
هناك احتمالية تحسس اللثة للمواد الكيميائية المستخدمة, البعض قد يعاني من حساسية الأسنان بعد التبييض لكن الحساسية تكون مؤقتة.
- هل نتيجة التبييض دائمة؟
النتيجة ليست دائمة ممكن تكون لمدة شهور إلى 3 سنوات لأن تصبغات الأسنان تختلف من شخص إلى آخر و تعتمد على استهلاكك للأكل أو المشروبات المسببة لتصبغات الأسنان.
- كيف أتجنب التصبغات من الأساس؟
1- شرب الماء باستمرار خصوصًا بعد الوجبات.
2- استخدام الشفاط للمشروبات الملونة لتفادي التصاقها بسطح الأسنان.
3- أكل الخضروات و الأطعمة المحتوية على ألياف لتقوية طبقة المينا.
4- التفريش مرتين على الأقل باليوم.
5- الحفاظ على الزيارة الدورية للطبيب.
شكرًا على اهتمامكم و أتمنى المعلومات كانت مفيدة و اللي عنده أي سؤال أو تعليق يقدر يتفضل تحت و عذرًا على الإطالة 😊❤️

جاري تحميل الاقتراحات...