قبل مانتكلم عن #Leukemia لازم نعرف بدايه تكون الخلايا Hematopoiesis
1- Site of haemopoiesis مكان حدوثها
Fetus الجنين يبدأ في yolk sac
Infant الرضع تتكون في BM وكل العظام
Adult في BM واماكن معينه اهمها عظام القفص الصدري و عظمه الحوض والجمجمه
1- Site of haemopoiesis مكان حدوثها
Fetus الجنين يبدأ في yolk sac
Infant الرضع تتكون في BM وكل العظام
Adult في BM واماكن معينه اهمها عظام القفص الصدري و عظمه الحوض والجمجمه
Haemopoiesis starts with a haematopoietic stem cell (HSC) تبدأ من خليه Stem cell (الخلاياء الجذعيه)
أهم ميزتين لها...؟؟
أهم ميزتين لها...؟؟
يتبع.....
طبعا في اللوكيميا نتكلم بشكل اساسي عن WBCs
خطين اساسين للخلايا
Myeloid cells 💡
•Basophil
•Neutrophil
•Eosinophil
•Monocyte
Lymphoid cells💡
•B cells
•T cells
•NK cells
خطين اساسين للخلايا
Myeloid cells 💡
•Basophil
•Neutrophil
•Eosinophil
•Monocyte
Lymphoid cells💡
•B cells
•T cells
•NK cells
بما انه الخلايا ماوصلت لمرحله النضج راح يحصل نقص في RBCs وتؤدي الى Anemia وتسبب Fatigue
وكمان Platelet تنقص وتسبب
Thrmbo cytopenia
وبالتالي تؤدي الى bleeding
ونقص Neutrophil يؤدي لظهور Infection عدوى متكرره
وكل ذا يحصل بشكل سريع Acute presentation
وكمان Platelet تنقص وتسبب
Thrmbo cytopenia
وبالتالي تؤدي الى bleeding
ونقص Neutrophil يؤدي لظهور Infection عدوى متكرره
وكل ذا يحصل بشكل سريع Acute presentation
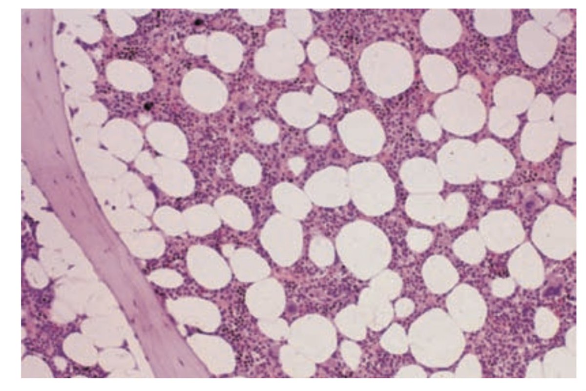
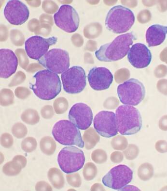
لما يحصل Increased blasts crowd out normal hematopoiesis
تبدا تطلع البلاست وتروح ل bloodstream
Leading to a High WBCs count of more than 11,000
تبدا تطلع البلاست وتروح ل bloodstream
Leading to a High WBCs count of more than 11,000
لوهي Lymphoid نسميها
Acute Lymphoid Lukimua )
الماركرز TdT= DNA polymerase
by Nuclear staining
فقط موجود في Lymphoblast✅
غير موجود Lymphocyte❌
وMyeloblast ❌
Acute Lymphoid Lukimua )
الماركرز TdT= DNA polymerase
by Nuclear staining
فقط موجود في Lymphoblast✅
غير موجود Lymphocyte❌
وMyeloblast ❌
ALL تعتبر مرض شائع في الاطفال
Bone pain تؤدي الى
Lymphadenopathy تضخم العقد اللمفاويه
, splenomegaly, hepatomegaly
وتوصل للكبد والاسبلين
Headache vomiting and fever
Bone pain تؤدي الى
Lymphadenopathy تضخم العقد اللمفاويه
, splenomegaly, hepatomegaly
وتوصل للكبد والاسبلين
Headache vomiting and fever
خلصنا من القسمين الرئيسيه
نرجع ونقسم Lymphoid
1- B Lymphoblasts ( BALL)
2- T Lymphoblasts ( TALL)
كيف نفرق بينها بناء على Surface Markers (CD)
1- B Lymphoblasts ( BALL) هي most common
و الماركرز تبعها CD10, CD19, CD22
2- T Lymphoblasts ( T ALL) الماركرز
CD2 , CD 3, CD 7
نرجع ونقسم Lymphoid
1- B Lymphoblasts ( BALL)
2- T Lymphoblasts ( TALL)
كيف نفرق بينها بناء على Surface Markers (CD)
1- B Lymphoblasts ( BALL) هي most common
و الماركرز تبعها CD10, CD19, CD22
2- T Lymphoblasts ( T ALL) الماركرز
CD2 , CD 3, CD 7
جاري تحميل الاقتراحات...