Emad Aljahdaly M.D|🇸🇦د عماد سليمان الجحدلي
Emad Aljahdaly M.D|🇸🇦د عماد سليمان الجحدلي

@ealjahdli

17 تغريدة 88 قراءة Jan 09, 2021
السلام عليكم. في هذا الثريد سأتحدث بإذن الله عن مرض #التهاب_القولون_التقرحي اعراضه، أسبابه، تشخيصه و علاجه. الرجاء حفظ التغريدة و مشاركتها لتعم الفائدة.
التهاب القولون التقرحي من التسمية يسبب التهابات و تقرحات في المنطقة السطحية (الاولى) من جدار الامعاء الغليظة في الجهاز الهضمي و المعروفة "بالقولون". عكس مرض كرونز و الذي قد يصيب اي منطقة في الامعاء الممتدة من الفم الى فتحة الشرج و عادة ما يكون الالتهاب في جميع طبقات الجدار.
ينقسم القولون التقرحي بحسب بعض المنظمات الصحية العالمية بصورة مبسطة الى: المستقيم، الجزء الأيسر، او القولون كاملا. تلجأ منظمات صحية اخرى الى تصنيفات اكثر دقة و تعقيدا. بشكل عام كلما ازدادت المنطقة المتأثرة ازدادت حدة الاعراض و هذا ينطبق ايضا على حدة الالتهاب.
بالنسبة لنسب الاصابة بالمرض، فهي في ازدياد واضح بالذات في دول العالم الاول مثل الولايات المتحدة و اوربا (١). بالرغم من عدم توفر ارقام و احصائيات واضحة لبعض دول منطقة الشرق الاوسط، هناك ازدياد في استهلاك الادوية المستخدمة في القولون التقرحي من قبل الاطباء كما هو موضح في الصورة (٢)
من الاعراض الشائعة لمرض التهاب القولون التقرحي: الاسهال (مصحوب عادة بدم و مخاط)، تقلصات و الام البطن، الشعور بالحاجة الى استخدام الحمام بصفة ملحة، نقص الوزن، الخمول، و ارتفاع درجة الحرارة. اعمدة شدة الاعراض على حدة الالتهاب و حجم المناطق المتأثرة في القولون.
في حالة وجود اعراض تشبه المذكورة سابقا، متى ينبغي استشارة الطبيب: في حالة استمرار الاسهال لاكثر من اسبوع او حدوثه بصفة متكررة، وجود نزيف، فقدان الوزن و ارتفاع درجة الحرارة. اود التنويه ان التهاب القولون التقرحي غير مهدد للحياة و لكن قد يؤدي الى مضاعفات خطيرة قد تتسبب في ذلك
حتى الان لا نعلم السبب الرئيسي لحدوث هذا المرض لكن تضل فرضية وجود عدة عوامل من بينها الجينية، و البيئية، و الغذائية، بالاضافة الى التغير الجذري للبيئة البكتيرية داخل الامعاء. كل ذلك في مجمله تسبب في خلل في جهاز الانسان المناعي ادى الى الهجوم على انسجة الامعاء و حدوث الالتهاب.
من الاعراض الاقل شيوعا للمرض و التي تصيب اجهزة اخرك في الجسم: التهاب بياض العين (الصلبة)، هشاشة العضام، التهاب المفاصل، الجلطات الدموية، تقرح الجلد و المعروف ب pyoderma gangrenosum
يتم تشخيص المرض عند الاشتباه بوجوده بواسطة الاعراض عن طريق فحص الدم للكشف عن وجود فقر الدم (بسبب النزيف و سوء التغذية)، ارتفاع معدلات الالتهاب مثل CRP, ESR، فحص البراز للتأكد من عدم وجود عدوى بكتيرية 🦠 تتشابه اعراضها عادة مع القولون التقرحي كالاميبا.
كما يعد منظار القولون من احد اهم الفحوصات التي نستطيع من خلالها تحديد نوع الالتهاب، حدته، المناطق المصابة من القولون و مساحتها و ايضا القدرة على جمع العينات و فحصها من قبل المختبر لمعرفة وجود اي تغير في تركيبة النسيج المجهري للمناطق المصابة.
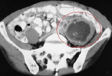
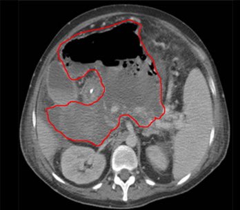
كما لا تقل الاشعة مثل المقطعية اهمية عن باقي الفحوصات في الكشف عن وجود اي مضاعفات للمرض لا سمح الله خصوصا في الحالات التي تحضر لقسم الطواريء. من المضاعفات التي يمكن حدوثها: وجود تجمع صديد داخل البطن (خرّاج)، ثقب في القولون، انسداد في الامعاء، و غيرها مما يستلزم تدخل جراحي.
اما بالنسبة لعلاج المرض فيندرج عادة تحت احد المجموعات الثلاث الموضحة في الصورة. المجموعة الاولى (مجموعة مضادات الالتهاب مثل الكورتيزون و 5-ASA)، الثانية مثبطات المناعة (immunosuppressants) مثل الاميوران، و الثالثة و هي البيولوجية (biologics) مثل الهيوميرا.
المجموعة الاولى و هي الاكثر استخداما من قبل الاطباء كون معظم الحالات تندرج تحت فئة البسيطة و يمكن علاجها بمثل هذه الادوية. عادة ما يكون الكورتيزون مؤقت في حالة استخدامه ثم يكمل المريض على aminosalicylic acid مثل ال Pentasa و mesalamine
في الحالات الاكثر حدة و ذات الاعراض الشديدة او تلك التي لم تستجب لادوية المجموعة الاولى، يتم فيها استخدام الادوية في المجموعتين التاليتين اما باحد ادويتها او بدواء من كل مجموعة بحسب ما يراه الاطباء و تستدعيه حالة المريض.
مرضى التهاب القولون التقرحي اكثر عرضة بالاصابة بسرطان القولون، لذلك ينصح باجراء فحص منظار القولون مرة كل سنة الى سنتين بعد مرور ٨ سنوات من بداية ظهور الاعراض. يستثنى من ذلك المحدودة اصابتهم بالمستقيم فقط.
تنبيه: ذلك لا يعفيهم من اجراء الفحص الروتيني لسرطان القولون عند ٥٠ عام.
هذا و صلى الله على الهادي الامين. اللهم علمنا ما جهلنا و انفعنا بما علمتنا. فضلا ساعد في نشرها لتعم الفائدة.
فضلا @Rattibha

جاري تحميل الاقتراحات...