الابتكار نتاج تفاعل الحاجة مع الموهبة والخيال✨✨
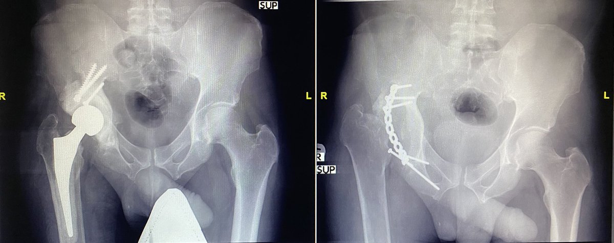
مريض أربعيني، أصيب بكسر الجوف الحقي، تعطل عن مصالحه خمس سنوات، زار عيادتي و هو في وضع يندى له الجبين...
⛔️فشل تثبيت كسر🙁
⛔️تلاشي في عظم رأس الفخذ☹️
⛔️التهاب جرثومي😢
#فضفضة_طبيب
#معلومات_طبية
#صوت_الطبيب
مريض أربعيني، أصيب بكسر الجوف الحقي، تعطل عن مصالحه خمس سنوات، زار عيادتي و هو في وضع يندى له الجبين...
⛔️فشل تثبيت كسر🙁
⛔️تلاشي في عظم رأس الفخذ☹️
⛔️التهاب جرثومي😢
#فضفضة_طبيب
#معلومات_طبية
#صوت_الطبيب
الحاجه: ازاله الالتهاب و المعدن، تنظيف الكسر واستبدال المفصل المعطوب بمفصل موقت "PROSTALAC" مخصص للمريض حتى ينهي المضاد الحيوي دورته العلاجيه و يقضي على البكتيريا الساكنه في عظم المريض منذ خمس سنين..
#صوت_الطبيب
#فضفضة_طبيب
#معلومات_طبية
#صوت_الطبيب
#فضفضة_طبيب
#معلومات_طبية
الابتكار: استخدام مواد اساسيه، لتشكيل مفصل صناعي مؤقت ومناسب لحجم المريض💫💫
الخطوات:
🅰️: صناعه قالب مخصص للمريض باستخدام البولي ميثيل ميثاكريلات الطبي
الخطوات:
🅰️: صناعه قالب مخصص للمريض باستخدام البولي ميثيل ميثاكريلات الطبي
🅱️: صب اسمنت طبي مطعم بالمضاد الحيوي الفاعل ضد جمله عامه من الجراثيم
#صوت_الطبيب
#فضفضة_طبيب
#معلومات_طبية
#صوت_الطبيب
#فضفضة_طبيب
#معلومات_طبية
جاري تحميل الاقتراحات...