د.عبدالملك الوهابي
د.عبدالملك الوهابي

@Drwahabi91

19 تغريدة 53 قراءة Nov 11, 2020
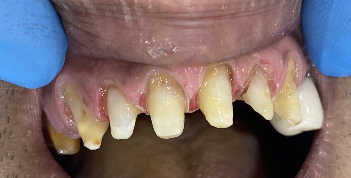
هذي حاله اعادة علاجات تأهيل كامل للفم جميع الاسنان لسوء علاجات سابقه عدد ٢٨ سن .بعد اتمام علاجات العصب والاوتاد وبناء السن وتجهيزه للتلبيس .قمت بتجربة استخدام مادة صنع التلبيسات المؤقته الاكريليك بالماده التي تستخدم بالمعمل ولا نستخدمها بالعياده ونجحت نجاح تام .سأقوم بشرح الطريقه
الهدف من هذه الحاله وتجربة الطريقه الجديده هو تغيير نوع الماده التي نستخدمها لل Relining لعمل التلبيسات المؤقته بالعياده باستخدام ماده اقوى وهي الاكريليك الذي يتصلب باستخدام light curing وليس الحراري ويمكن لا يعرفه الكثير او لم يشاهد كيف يعمله الفني بالمعمل ..يتبع
وهو يحتاج لعدة اشياء ضروريه لتطبيق طريقتي هذي .
- transparent tray
- transparent impression
- الماده المستخدمه بالمعمل لعمل التلبيسات المؤقته القويه وليس الضعيفه المستخدمه بالعياده حاليا
وميزتها انها repairable اي نستطيع اضافة الماده فهي شبيهه بالكومبوزيت بالضبط .يتبع
بالاضافه انها تعطيك الحريه الكامله والوقت عند وضعها بالفم وتشكيلها فهي لا تتصلب الا عند تعريض الضوء لها فهنا نكون نملك الوقت الكافي لتشكيلها عكس الماده الاخرى التي تحقن وتتصلب خلال ثواني لا تعطيك الحريه الكامله لاعادة تشكيل السن للتلبيسات المؤقته .يتبع
وهذه هي الماده الشفافه والتي تمرر الضوء من خلالها لتثبيت الاكريليك وتكون مائيه تميل الى اللون الازرق الفاتح وبعد تصلبها تكون قويه حدا زي الحجر
بعدها يتم اضافة الماده داخل الطبعه ووضعها بالفم بالشكل الصحيح ثم تسليط الضوء عليها من الخارج وهو الهدف اصلا من هذه الطريقه ثم اخراجها وعمل تفنيش نهائي لها وتلميع
الميزه الاهم عند تثبيتها بالفم لا احتاج ابدا لأي سيمينت مؤقت فهي تمسك بشكل قوي بالسن ولا تتحرك ويمكن ازالتها بسهوله
للامانه كنت انتظر النتيجه لهذي الطريقه الي من زمان كنت ابي اسويها ولا سمح لي الوقت فكانت للامانه مذهله الاسنان المؤقته كأنها مقصوصه بجهاز الكاد كام بدون أي فقاعات ولا اي نقص ولا شي 👍👍👍رااائعه بمعنى الكلمه ولا تتصبغ وقويه فرق شاااسع عن مادة الريلايننق التي نستخدمها بالعاده
فقط كنت احتاج وقت اضافي لعمل تلميع كامل للمؤقت افضل حتى يطهر جماليا لكن الان الاهم انها اول خطوه ونتايجها ممتازه .فقط تحتاج الى تلميع اضافي .الاهم الان ثباتها عالتحضير بشكل ممتاز
لو كان عندك معمل مباشره عطيه المؤقت بدقايق يعمله كامل التلميع والتفنيش لتوفر الاجهزه لديه اسرع
ايضا من مميزات هذه الطريقه والمهمه توفر كل الالوان للمؤقت وسهولة وضعه زي الكومبوزيت بالضبط وهذي ميزه اضافيه لقوته عكس الماده العاديه التي كثيرا تتوفر بلون واحد فاتح جدا وضعيفه وتتصبغ بسرعه وتتكسر ولها شفافيه عاليه لا نريدها
ايضا من المميزات عدم استخدام سيمينت مؤقت لتثبيتها تثبت بقوه من نفسها لتشكلها الكامل بشكل تحضير السن وهذا يمنع الالتهابات باللثه من السيمنت المؤقت ويمنع تنظيف الاسنان منه لاحقا وقت تثبيت التركيب النهائي
نستطيع ان ننتج اعمال احيانا نعتقد بصعوبتها ونتكل على غيرنا زي المعامل وتاخذ وقت وحنا نستطيع ان ننجزها بأنفسنا .
فقط نفكر نبتكر ننجح 🙏🙏🌹🌹
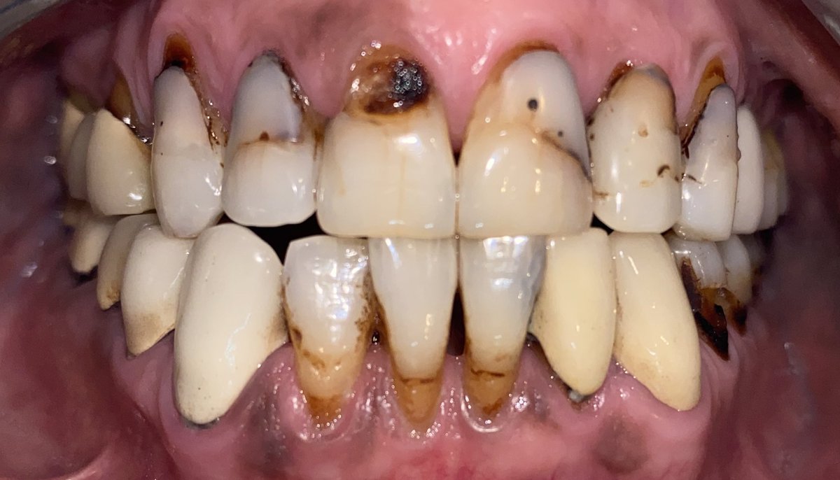
طبعا التلبيسات هذي فقط مؤقته ومتصله ببعضها وهي صوره طبق الاصل والشكل للاسنان الطبيعيه له ولكن النتيجه النهائيه لاحقا هي تلبيسات الزركون المنفصله كل سن على حده وبشكل جديد جمالي لتعديل الشكل السابق
ننتظر التلبيسات النهائيه قريبا
هذي الماده الي قلتلكم عليها وتستخدم في المعامل اصلا
ويلوموني بال
Two stepsimpression technique
No retraction cords only paste
Two stepsimpression technique
No retraction cords only paste
It was very deep subgingivally
Can you believe this is the case !!

جاري تحميل الاقتراحات...