MLT|جُوري الحربي🔬🧪
MLT|جُوري الحربي🔬🧪

@labspecialist3

15 تغريدة 28 قراءة Nov 01, 2020
اجابه السؤال تحت هذا الثريد 👏🏻👇🏻..
بديه عندنا نوعين من الهيموقلوبين 🩸
1- طبيعي :
*Hb A وهو الموجود بالكبار
*Hb A2 و Hb F وهو الموجود بالاطفال
2- غير طبيعي :
*Hb S وهو الموجود بهذه الانيما وراح نتطرق له تحت
* Hb C
* Hb E
بدايه خلونا نراجع شكل الهيموقلوبين الي موجود بالكبار الطبيعي HB A
يتكون من جزئين heme ..... golbulin
-(heme ) (non protien )منها 4 subunit = تكون شايله الiron والاكسجين
وهذه الهيم تكون داخل او محاطه بال👇🏻
-(globulin )(protien ) برضو منها 4 subunit وهي ٢ الفا و٢ بيتا
بالسكل سيل يكون موجود عندي الهميوقلوبين الغير طبيعي الي هو Hb s مثل ما ذكرنا ..
طيب كيف ينتج؟
ينتج نتيجه mutation اسمها missense بالHb A الطبيعي
بجين اسمه HBb تحديدها بال
Beta globulin chain على كروموسوم رقم١١
تتغير عندي base من T الى A
بالتالي راح تغير لي بالبروتين من Glutamic الى Valine
وهنا ينتج عندي الHbs المسوول عن السكل سيل
مثل مو ملاحظين بالصوره👇🏻
طبعاً المرض وراثي autosomal recessive
autosomal : يعني على الكروموسومات الجسميه
recessive : يعني محتاج 2 allel عشان يظهر المرض
_________
يعني AA تعني سليم وعنده ٢ من HBA الطبيعي
وAS تعني حامل للمرض وعنده الHBA الطبيعي و HBS
وSS تعني مصاب وعنده ٢ من الHBS
شكل الخلايا راح يكون يشبه المنجل وهذه الخلايا تكون صلبه وغير مرنه بالتالي ماراح تقدر تعبر الاوعيه بسهوله مما يؤدي ل اعاقه حركتها داخل الاوعيه بالتالي يسبب لي انسداد في هذه الاوعيه وتكسرها
بالتالي يسبب لي مشاكل منها :
* اعياء وتعب بشكل عام لان نسبه الاكسجين تقل
* تورم باليدين والارجل نتيجه لانسداد الاوعيه
* ضعف الرؤيه نتيجه لانسداد الاوعيه التي تغذي الشبكيه
*تكرر العدوى لان هذه الخلايا تؤثر على الطحال وهو العضو المحارب ضد العدوى
* تأخر النمو نتيجه عدم وصول المواد الغدائيه الكافيه للجسم
وممكن توصل لمضاعفات اكبر مثل :
*سكته دماغيه نتيجه انسداد مجرى الدم بالدماغ
*وتلف الاعضاء مثل الكبد والكليه وغيرها نتيجه ان ما يوصلها اكسجين فبالتالي تموت
*عمى
*ارتفاع ضغط الرئه نتيجه عدم وصولها الاكسجين الكافي
Diagnosis📝:
1- CBC :
-RBC ⬇️
-Hb⬇️
-ESR ⬆️
-reticulocyte ⬆️ لان الجسم يستجيب لهذا التكسر فيصنع كريات دم بشكل كبير
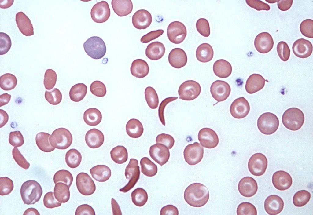
وبالblood smear 🩸 نلاحظ وجود شكل المنجل👇🏻
ملاحظه // نجدها فقط بالشخص المصاب وليس الحامل ..
2- gel electrophoresis :
عشان نشخص وجود الHb S
وبالنسبه للاختبارات الجينيه للطفل الي حابين نكشف عنه وهو لسى ما انولد ، عندنا اختبارين:
1- aminocentesis :
وهو اخذ عينه من السائل الي يحيط بالجنين واختبارها جينياً
لان السائل المحيط بالجنين عنده نفس الDNA الي عند الجنين
2-chorionic villus sampling CVS:
وهو اخذ عينه من المشيمه نفسها
ايضاً لان المشيمه عندها نفس الDNA الي عند الجنين
العلاج :
العلاج يكون فقط لتخفيف الالام والمضاعفات لاكن ما يعالج المشكله ك كل ...
١- hydroxyurea
٢- مضادات حيويه مثل penicillen للطفل الى عمر ٥ سنوات عشان يحميه من العدوى
٣- nitric oxide inhalation وظيفته يوسع الاوعيه الدمويه ويقلل من تراكم الخلايا المنجليه داخل الاوعيه
٤-نقل الدم المستمر
٥- التطعيمات للحمايه من العدوى لان مثل ما ذكرنا الشخص يكون عرضه للاصابه اكثر من غيره
٦- وايضاً ممكن نتفادى السكته الدماغيه عن طريق قياس تدفق الدم عن طريق ultrasound ونشوف هل الدم يتدفق بشكل سليم ولالا
وبالنسبه لنقل الخلايا الجذعيه فهو الحل الوحيد لعلاج الانيميا المنجليه ... لكن صعب ومخاطره كثيره لان الجسم ممكن يرفضه حتى لو كان متطابق..
انتهى🩸

جاري تحميل الاقتراحات...