بنت سلطان
بنت سلطان

@Rayyalmulla

8 تغريدة 68 قراءة Oct 24, 2020
إذا كنت مصاباً بفيروس كورونا أو تعرف شخصاً مصاباً به فالثريد التالي لك : متى يحتاج المصاب إلى الرعاية الطبية في المستشفى ؟
من أهم ما تعلمته في الفترة السابقة من التقييم المستمر للمصابين والمخالطين واردده أولاً وثانياً وثالثاً ودائماً : لا تجزع ، لا تخاف ، لا تقلق .
من أول العلامات المبدئية لتقييم المرض وحدته هو الوظائف الحيوية vital signs وتحديداً معدل الاكسجين في الدم SPO2 نزولاً وضغط الدم ارتفاعاً، والحرارة ومعدل التنفس
معدل الأكسجين إذا كان 100% المريض بخير ، إذا كان فوق الـ94% يحتاج تقييم ، أما إذا أقل هذا يحتاج مستشفى وبشكل عاجل !
ثاني هذه العلامات هو شكل المريض أو مانسميه طبياً بالـ sick looking patient
مب إنه شكله تعبان لا، يكون شكله مريض
تذكر شكل قريبك قبل مايدخل العناية أو هو في العناية هذا الي اقصده .
طبعاً هذا العامل جداً subjective وصعب القياس عليه ، بس الي فعلاً المرض شد عليه راح يبين عليه
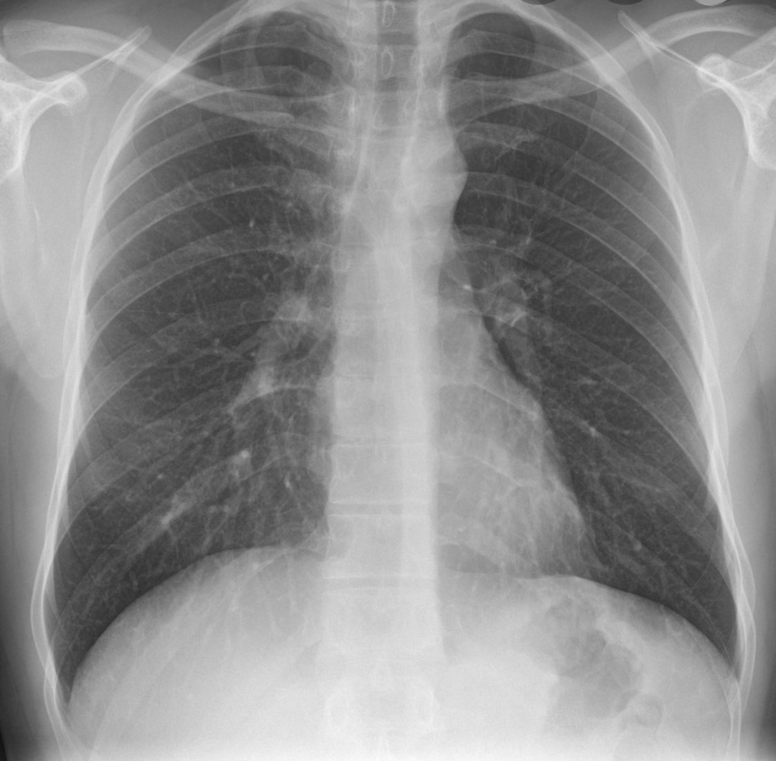
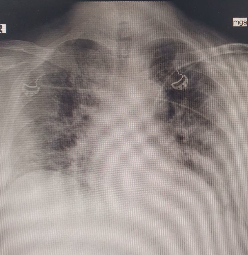
ثالثاً والأهم "أشعة الصدر" chest x-ray
لنحدد هل نزل الالتهاب على الصدر و ما هي حدته.
تنقسم الرئة لجزء أيمن يُقسم بدوره إلى فصين وأيسر يُقسم إلى ثلاثة فصوص ، كوفيد غالباً يبدأ التهابه من "الأطراف/الأضلاع" في الفصوص السفلية من الرئة وغالباً في الجهتين
هذه صور لأشعة صدر طبيعية ( سوداء والقلب في المنتصف ) وأشعة صدر غير طبيعية ، البياض الذي ترونه في الصور الأخرى هو الالتهاب ودرجاته تختلف بالطبع ، كم فص من الرئة أصيب ؟ وماهي الوظائف الحيوية للمريض وقتها و فحوصاته الأخرى
رابعاً فحوصات الدم المخبرية مقياس مهم جداً ، خصوصاً معاملات الالتهاب وتخثر الدم و فحوصات الوظائف وغيرها
وغالباً ما تبنى فحوصات الدم بناءً على حالة المريض و عمره و وضعه الصحي السابق وأمراضه وأعراضه و وزنه "السمنة عامل خطوره عالٍ جداً في كوفيد"
تغير حالة المريض أمر وارد جداً ، قد نقيم المريض كحالة مستقرة ويعود لاحقاً بوضع آخر
من المهم جداً ملاحظة الأعراض، هل عندك صعوبة بالتنفس؟
كتمة شديدة في الصدر ؟
"ماتروم تير نصخك؟ "
الحرارة ماتنقطع أبداً ؟
الكحة زادت بشكل ملحوظ ؟
أي تغير واضح في الأعراض يستدعي التقييم مرة أخرى
الي تعلمناه وعرفناه عن كوفيد إلى الآن هو أن الرعاية الطبية المبكرة مهمة جداً وتفرق
مب كل مصاب يحتاج المستشفى بس كل مصاب يحتاج الراحة و الاهتمام بالسوائل و والتغذية السليمة و ملاحظة الأعراض والتغير فيها
لا تهمل نفسك
وفي نفس الوقت لا تقلق
"وإذا مرضت فهو يشفين"

جاري تحميل الاقتراحات...