Mohammed | Rad ☢️
Mohammed | Rad ☢️

@IR_Tech96

16 تغريدة 132 قراءة Oct 13, 2020
تجي كثير من الأسئلة ع الخاص..
ما هو قسم الاشعة التداخلية ؟ ما هو قسم الانجيو ؟ ما الفائدة منه ؟
خصوصا من طلاب قسم الاشعة والانتيرن الي مروا على الانجيو مرور الكرام ولم يكتسبوا منه أي شيء.
سأبدا في هذا الثريد اعرف عن الانجيو ببعض المعلومات وان شاء الله نفيد ونستفيد.
@DiaryOfRad
اسم القسم:
قسم الاشعة التداخلية وتصوير الاوعية الدموية
(Interventional Radiology & Angiography Department)
من أبرز مميزات قسم الانجيو:
المعالجة تكون اقل خطورة، واقل الم على المريض، واقل من العمليات الجراحية في وقت الشفاء (Recovery time)، وفي الغالب المريض لا يحتاج للتخدير الكامل.
في قسم الانجيو نقوم بإجراءات بعضها وعائي (vascular) والآخر لا وعائي (nonvascular).
اجهزة الاشعة المستخدمة بالقسم:
جهاز الفلوروسكوبي (fluoroscopy)
جهاز التصوير بالموجات فوق الصوتية (Ultrasound)
جهاز الاشعة المقطعية (CT Scan)
وكل جهاز منهم له مهامه في إجراءات وفحوصات القسم.
في الانجيو ممكن نشخص الحالة وممكن نعالج المريض وممكن نضع له قساطر فيعتبر قسم تشخيصي وعلاجي.
من اهم الإجراءات الي نسويها بالقسم:
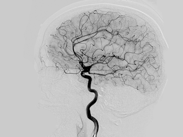
(Angiogram)
هو تشخيص للأوعية الدموية ومشاكلها من انسدادات وتضيقات وتشوهات.
(Angioplasty)
هو توسيع الاوعية الدموية المتضيقة بالبالونات ووضع الدعامات.
(Thrombolysis)
هو استخراج التخثرات او الجلطات.
(Embolization)
هو يكون مثل اقفال النزيف بعد الحوادث واقفال بعض الاوعية الدموية باللفافات.
(Biopsy and drainage)
وهو اخذ الخزع وتصريف السوائل من الجسم.
وغيرها الكثير الي راح نتكلم عنها ان شاء الله.
من الأمور المهمة بقسم الانجيو على الموظفين التقيد بضوابط السلامة والحماية من الاشعاع خلال الفحوصات والإجراءات وذلك بارتداء:
1- TLD
2- Lead apron
3- Thyroid apron
4- Lead goggle
يوجد عدة عناصر أو أدوات اساسية نحتاجها في كل اجراء او فحص من اهمها:
ابرة الدخول في الوعاء الدموي (Puncture needle)
سلك توجيه او السلك المرشد (Guide wire)
الشيث (Sheath)
قسطرة (Catheter)
راح أتكلم عن بعض فوائدهم.
فائدة القايد واير هي انه يساعدنا بعد ادخال الابرة في الوعاء الدموي بالتأكد من اننا في الاتجاه الصحيح داخل الوعاء الدموي ونستطيع ان نراه بجهاز الفلورو، ويساعدنا في الوصول الى منطقة الليجون او المنطقة المرادة في الوعاء الدموي ويعتبر كدليل او مرشد للكاثيتر للوصول للمنطقة المرادة.
فائدة الشيث انه يحفظ لنا مكان الدخول (Vessel Access) ما نفقده ، والفائدة الأخرى انه يوسع الوعاء الدموي حتى يمكننا ادخال القسطرة على سبيل المثال، ويأتي بعدة أحجام ومقاسات.
الكاثيتر تأتي بعدة اشكال وقياسات ومهام على حسب شكل الوعاء الدموي،كل منطقة في الاوعية الدموية لها كاثيتر مناسبة لها.
نستفيد منها اننا إذا وصلنا للمنطقة المرادة نحقن الصبغة ونشخص المشكلة لدى المريض.
بعض أنواع الكاثيتر نوصل من خلالها البالونات والدعامات والطرق العلاجية الاخرى.
الاجراءات تبدأ دائما بـ(Seldinger Technique)
في بداية كل فحص يبحث الدكتور عن المنطقة المناسبة للدخول من خلال الوريد أو الشريان وكل فحص له بروتوكول في تحديد مكان الدخول (Vessel Access) فبواسطة جهاز الالتراساوند يبحث الدكتور عن مكان الدخول المناسب ثم إذا حدده يخدر المريض موضعيا...
ثم يدخل الابرة بالشريان أو الوريد ويتأكد من ذلك من خلال متابعة الابرة في الالتراساوند ويتأكد أكثر انه داخل الوريد إذا خرجت قطرات دم من الابرة، ويتأكد انه شريان إذا تناثر الدم بشكل سريع بسبب أن ضغط الدم أكبر في الشريان من الوريد.
نعيد من جديد..
إذا حدد الدكتور المكان المناسب (Vessel Access) يخدر المريض موضعيا (Local)،ثم يدخل الابرة (Puncture Needle) من خلال الوعاء الدموي،ثم يدخل بعد ذلك الـGuide Wire، ثم يخرج الابرة ويدخل الشيث ليحفظ الاكسيس، ومن ثم الخطوات التالية تعتمد على نوع الفحص أو الاجراء المعمول.
هذه بإختصار خطوات (Seldinger Technique) الذي يعتبر أساس أي اجراء يتم في قسم الانجيو.
*الخطوة الرابعة بالصورة المرفقة لم اذكرها بالشرح بالتغريدة السابقة.. وهي بعد ما يخرج الدكتور الابرة يوسع بالمشرط الاكسيس حتى يدخل الشيث بشكل اسهل.
هذا مقطع فديو قصير لكيفية (Seldinger Technique).
هاذي نظرة عامة عن قسم الاشعة التداخلية، ان شاء الله اني اكون وفقت في توضيح بعض الامور عن هذا القسم الجميل 😊، وبإذن الله راح انزل تغريدات من فترة لفترة لبعض الاجراءات الي نسويها لتتضح الرؤية بشكل اكبر، وبالتوفيق للجميع يا رب ♥️

جاري تحميل الاقتراحات...