د. عبدالعزيز المعاوي
د. عبدالعزيز المعاوي

@dr_almaawi

7 تغريدة 308 قراءة Oct 12, 2020
1️⃣هل لديك انحراف بأصبع  القدم الكبير؟
هل الانحراف يضايقك بالحذاء أو يضغط على الأصابع الاخرى؟
هل يوجد علاج غير جراحي؟
سوف أتحدث باختصار عن انحراف الأصبع الكبير بالقدم
Hallux valgus
2️⃣الأسباب:
-مرونة بالاربطة
-وراثة، خاصة اذا كان بالجهتين
-القدم المسطحة
-الأمراض الروماتيزمية
-لبس الاحذية الضيقة، كالكعب وغيره
3️⃣الأعراض:
-انحراف أصبع القدم الكبير
-آلام بالمفصل او على الجانب
-زيادة في عرض القدم مما يسبب تضيق بالحذاء
-تأثر أصبع القدم الثاني و انحرافه (زيادة شديدة في درجة الانحراف لأصبع القدم الكبير)
4️⃣التشخيص:
الفحص السريري:
-احمرار حول مفصل الأصبع الكبير
-انحراف واضح في الأصبع الكبير
-ضغط على الأصبع الثاني
-زيادة كبيره في عرض القدم 
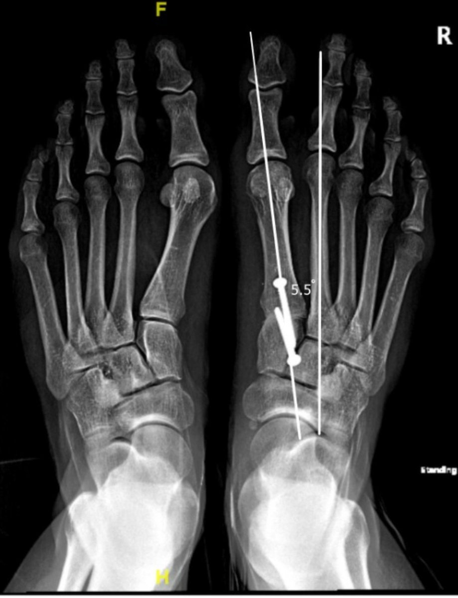
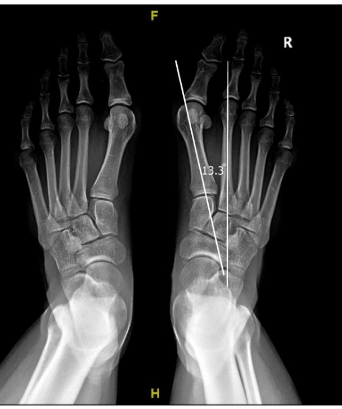
الأشعة:
- توضح درجة الانحراف
- خشونة بالمفصل
- وجود تسطح بالقدم
- انحراف بالمشط الاول للقدم
5️⃣العلاج غير الجراحي:
- الهدف من العلاج غير جراحي: تخفيف الأعراض، لا يمكن إعادة الانحراف الى الوضع الطبيعي و لكن يمكن منع الانحراف من التقدم
-لبس فاصل بين الاصبعين
- حماية الاصبع من الاحتكاك بالحذاء
-لبس فرشة طبيه للقدم المسطحة
-لبس حذاء عريض من الامام
6️⃣العلاج الجراحي:
- يعتمد على درجة الانحراف و وجود مرونة في مفصل المشط الأول بالقدم
-الهدف من الجراحة هو إعادة استقامة المشط الاول و استقامة الأصبع الكبير
@Coupons24927869 الله يعافيك، احتمال يزيد الانحراف وتحصل مضاعفات بالاصابع الاخرى

جاري تحميل الاقتراحات...