مشاعل الاسمري
مشاعل الاسمري

@hope6mash

4 تغريدة 1 قراءة Jan 24, 2023
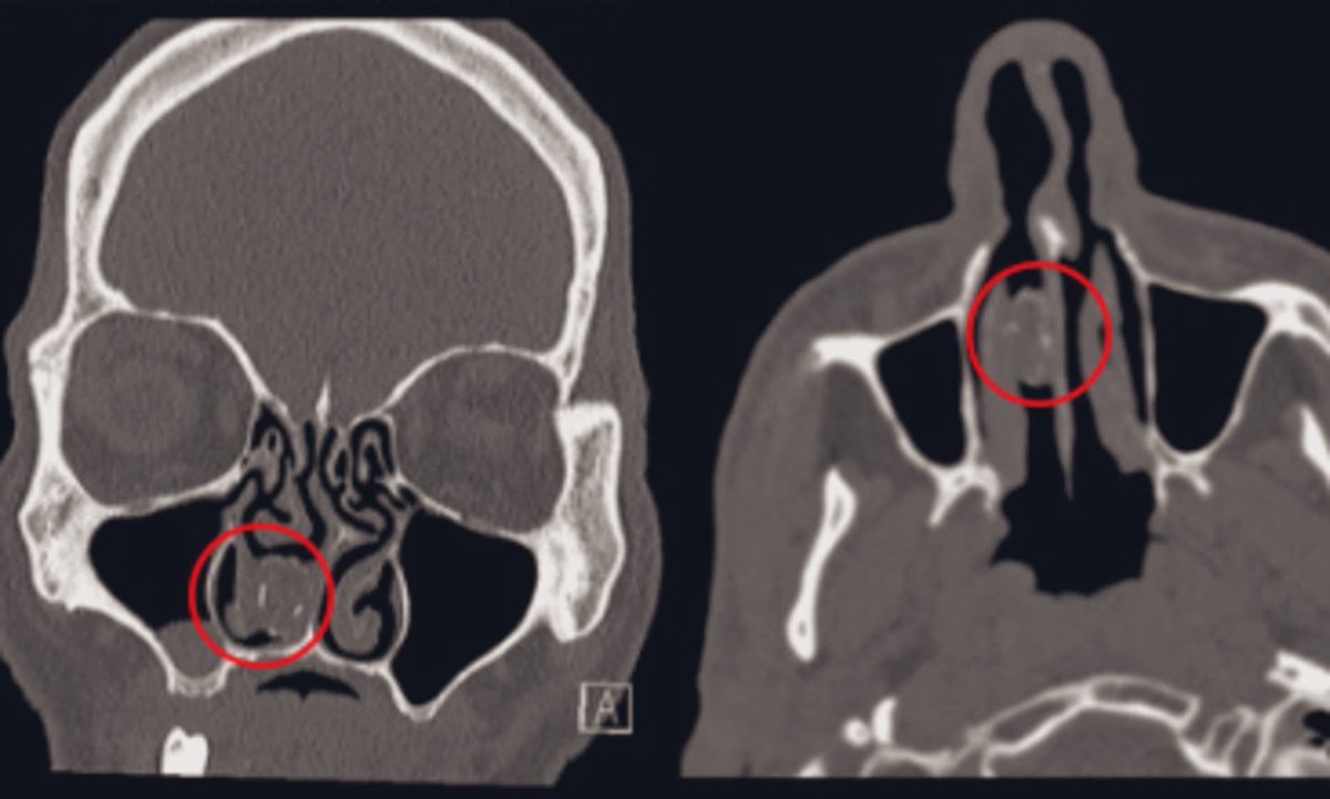
أول حالة يتم الإبلاغ عن وجود كبسولة تحتوي على الماريجوانا في أنف سجين سابق وذلك بعد 18 عاماً من تهريبها إلى السجن ⛓
وبحسب الفريق الذي أبلغ عن القضية في المجلة الطبية البريطانية ، أن الرجل حصل على الماريجوانا ملفوفة في كبسولة مطاطية من صديقته التي كانت تزوره في السجن.
حيث قام بوضعها في فتحة أنفه اليمنى لتجنب اكتشاف الحراس لها ولم يستطيع اخراجها بعد ذلك لدخولها في عمق تجويف الانف 🙆🏻‍♀️🤦🏻‍♀️
عانى المريض من الصداع و التهابات الجيوب الأنفية المزمنة وأعراض انسداد الأنف في السنوات التي أعقبت ذلك ..وعند زيارة المستشفى و عمل الاشعة المقطعية التي كشفت عن وجود انسداد ⬇️ تم ازالة الكبسولة ✔️ واستعاد المريض لصحته 👍🏼
المصدر ⬇️
cnn.com

جاري تحميل الاقتراحات...