في كثير من الأحيان ، تؤدي بعض الحركات أو الأنشطة إلى حدوث نوبات الألم. يمكن أن تشمل:
-لمس الوجه
-وضع المكياج
-المضغ
-الكلام
-تفريش الأسنان
-الابتسامة أو العبوس
-الهواء البارد على الوجه
-الحلاقة
#ألم_العصب_الخامس #trigeminal_neuralgia
-لمس الوجه
-وضع المكياج
-المضغ
-الكلام
-تفريش الأسنان
-الابتسامة أو العبوس
-الهواء البارد على الوجه
-الحلاقة
#ألم_العصب_الخامس #trigeminal_neuralgia
الأسباب
-ضغط على العصب الخامس بسبب التماس مع شريان أو وريد أو ورم
-التصلب المتعدد
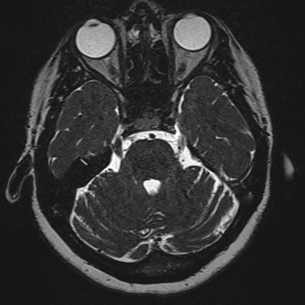
التشخيص
-يتم التشخيص بالاعتماد على الأعراض واستبعاد المسببات التي قد تسبب آلاما شبيهة مثل ألم الأسنان
-الرنين المغناطيسي للدماغ
#ألم_العصب_الخامس #trigeminal_neuralgia
-ضغط على العصب الخامس بسبب التماس مع شريان أو وريد أو ورم
-التصلب المتعدد
التشخيص
-يتم التشخيص بالاعتماد على الأعراض واستبعاد المسببات التي قد تسبب آلاما شبيهة مثل ألم الأسنان
-الرنين المغناطيسي للدماغ
#ألم_العصب_الخامس #trigeminal_neuralgia
العلاج
يتم استخدام بعض الأدوية أهمها دواء الكارباميزابين - carbamazepine
في الحالات المستعصية التي لا تستجيب للأدوية قد تحتاج إلى تدخل جراحي أو حقن العصب
#ألم_العصب_الخامس #trigeminal_neuralgia
يتم استخدام بعض الأدوية أهمها دواء الكارباميزابين - carbamazepine
في الحالات المستعصية التي لا تستجيب للأدوية قد تحتاج إلى تدخل جراحي أو حقن العصب
#ألم_العصب_الخامس #trigeminal_neuralgia
جاري تحميل الاقتراحات...