عبدالرحمن البلادي 🥼
عبدالرحمن البلادي 🥼

@ALbladi_26

18 تغريدة 55 قراءة Sep 07, 2020
فقر الدم ( Anemia ):
نقص مستوى الهيموقلوبين عن المستوى الطبيعي، بالتالي قد يشكوا المرضى من علامات وأعراض مثل ( الإرهاق، الصداع، عدم التركيز )
قد يؤدي الى نقص مستوى الأوكسجين في الأنسجة، ضعف في الجهاز التنفسي، إضطراب القلب والأوعية الدموية.
التصنيف:
1- الشكل (Morphology ) ترتبط بشكل خلايا الدم الحمراء ( RBCs ).
2- المسبب ( Etiology ) على أساس المسبب لفقر الدم، [ فقدان الدم، إنتاج غير كافٍ، او تدمير مفرط للخلايا ].
فقر الدم بسبب نقص الحديد ( IDA ):
الحديد عنصر مهم في تكوين الهيموقلوبين، فنقصانه يؤدي الى نقصان إنتاج الهيموقلوبين بالتالي تنتج خلايا حمراء بحجم صغير بصِبغة ناقصه (hypochromic)، من أعراضه التعب والإعياء، أضافر هشه او على شكل ملعقه، التهاب اللسان و الرغبه في تناول مواد غير غذائية.
اختبارات الحديد ( Iron profile ):
• serum iron: مستوى الحديد في الدم
• serum ferritin:
بروتين يستخدم لتخزين الحديد، يعتبر الاكثر تخصصا ( في حال عدم وجود عدوا او التهاب ).
•Transferrine & total-iron binding capacity (TIBC):
-transferrin; بروتين ناقل للحديد في الدم.
يتبع
-TIBC;
هو انعكاس لمقدار (transferrine) المتاح لربطه بالحديد.
* يلاحظ ان صِبغة نخاع العظم تكون سلبيه
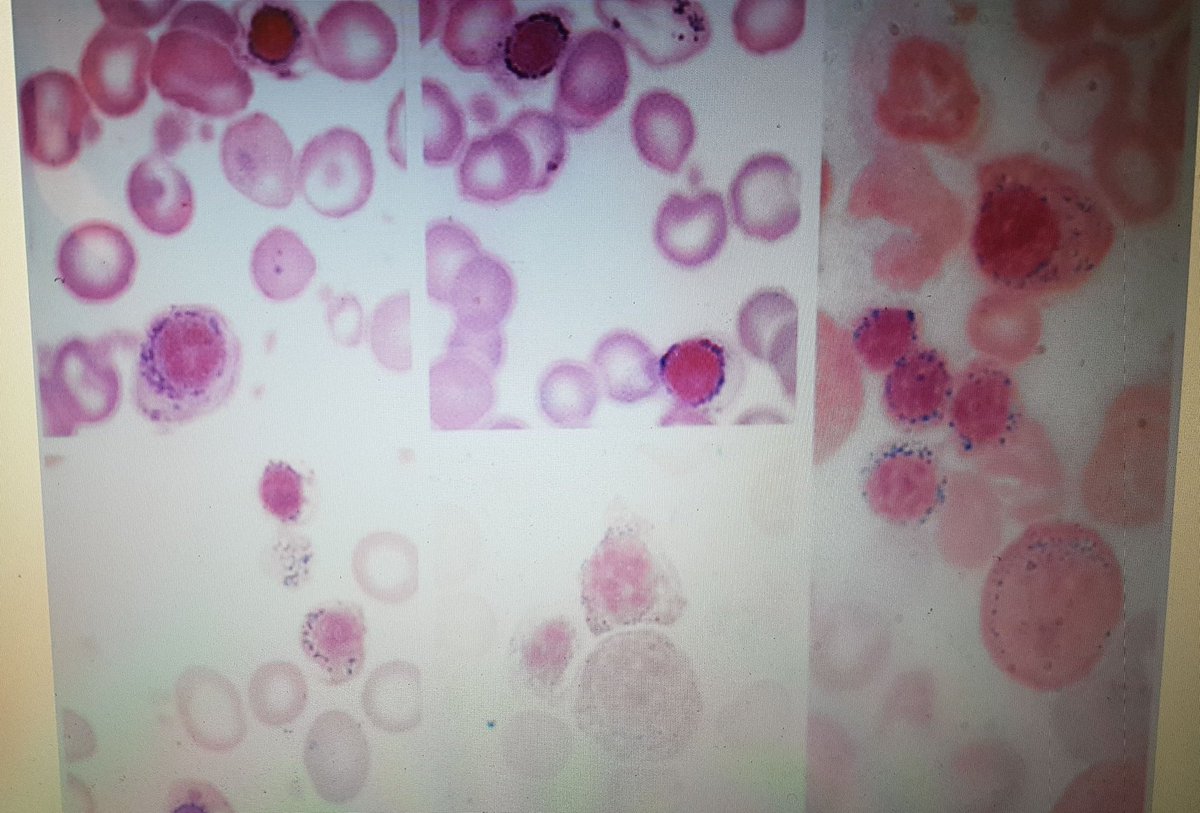
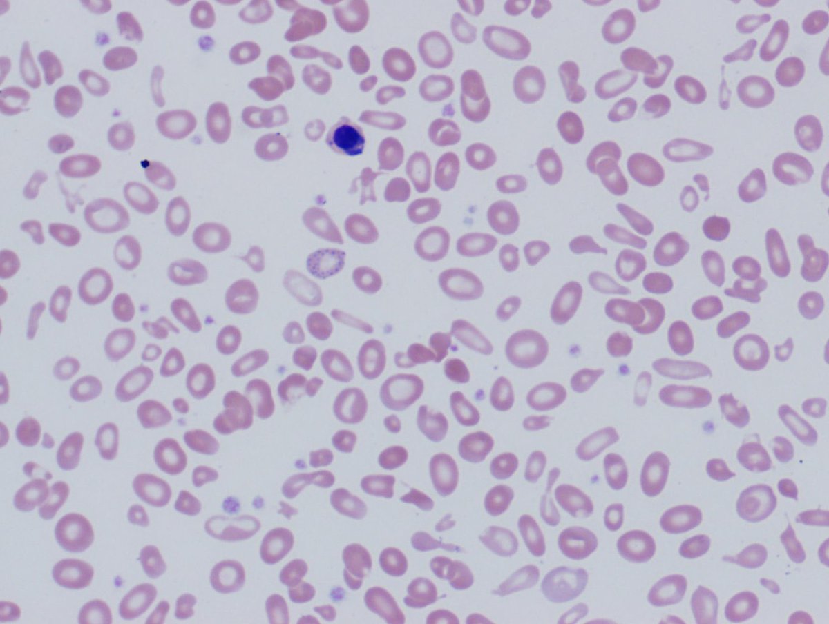
فقر الدم من الأمراض المزمنة ( ACD):
بعض الامراض المزمنة قد تؤدي الى الإصابه بفقر الدم (موضح في الصورة المرفقه)، يلاحظ ان صِبغة نخاع العظم تكون إجابيه و يحدث تراكم للحديد في الخلايا البالعه (macrophages).
Thalassemia:
مجموعه من الاعتلالات الموَرثه اللتي تؤثر على عدد ونوع الهيموقلوبين (اللي يتكون من 4 Alpha-globin و 2 Beta-globin)
يتبع؛
- Alpha-Thalassemia:
يعتمد على الطفرات المتواجده في الجين (على كروموسوم 16)؛
• طفرة واحدة يعتبر حاملا فقط(لايعتبر مريض).
• طفرتان، يعتبر فقر دم بسيط تسمى ب الصغرى (Minor) باعراض طفيفه .
• ثلاث طفرات، تسمى ب (Hemoglobin H disease) يستدعي نقل للدم طوال الحياة.
يتبع
• أربع طفرات، تسمى بالكبرى (Major)
يموت الجنين قبل او بعد ولادته بفترة قليله حيث يصاب بفقر دم حاد جدا (hydrops fetalis)(youtu.be)
- Beta-Thalassemia:
•طفرة جينية واحدة تسمى بالصغرى (Minor) بأعراض طفيفة.
• طفرتان جينيتان تسمى بالكبرى (Major) تصيب هيموقلوبين A.
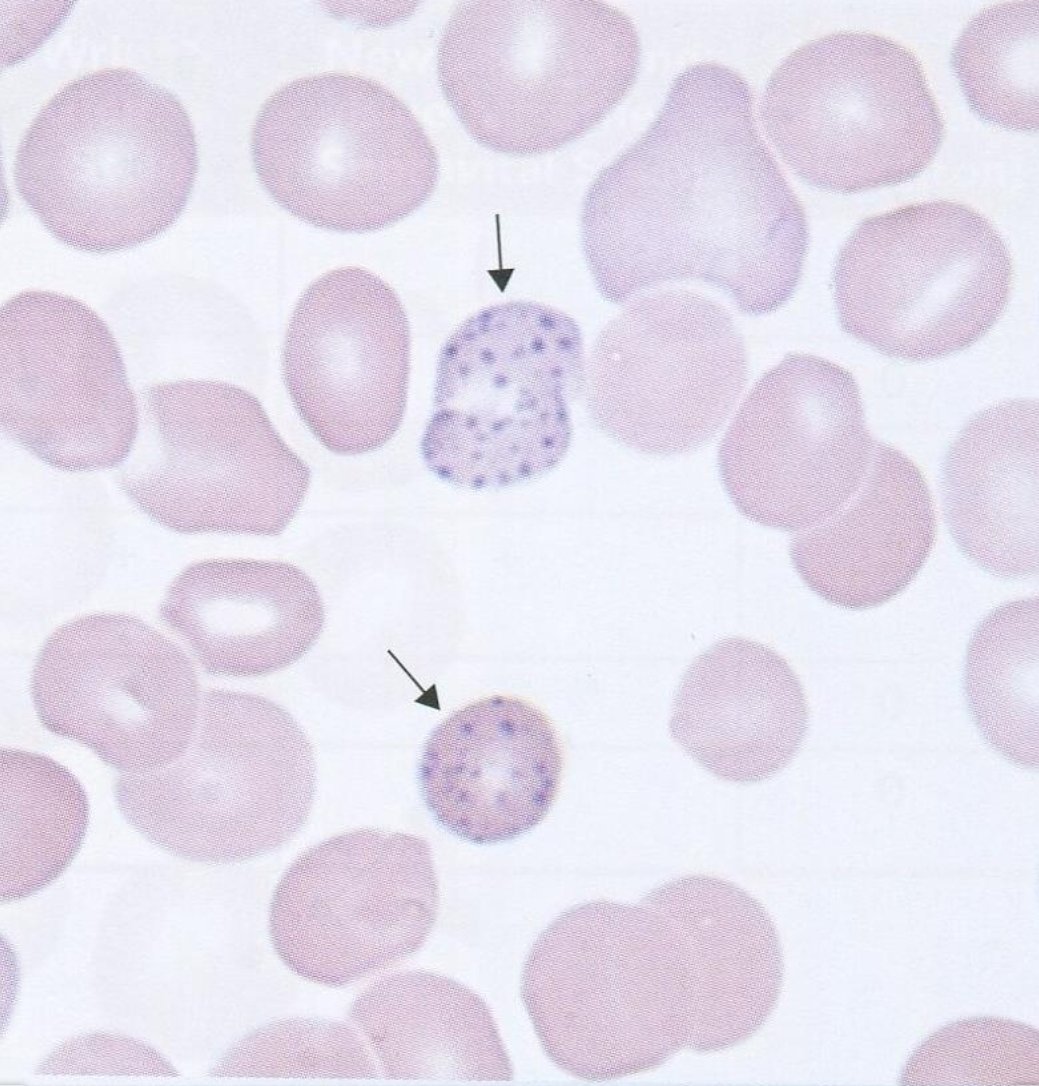
Sideroblastic anemia:
فقر الدم الحديدي الأروماتي: مجموعه من الاضطرابات تمنع صنع الهيموقلوبين على الرغم من وجود كميه كافيه من الحديد، نويجة للذلك يتراك الحديد في شكل حلقي داخل الخلايا الحمراء(Ringed sideroblast)، قد يحدث بسبب نقص فيتامين B⁶، تسمم بالرصاص، تسمم بالكحول او وراثيًا.
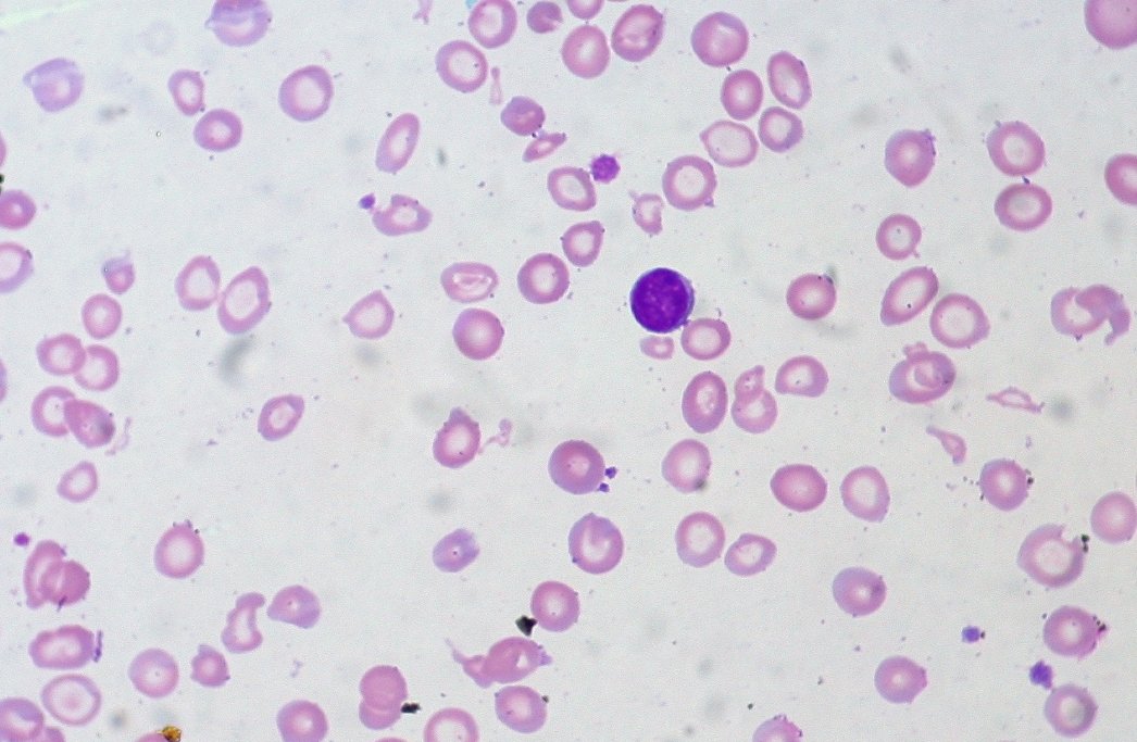
Megaloblastic anemia:
هي حالة ينتج فيها نخاع العظام خلايا دم حمراء كبيرة بشكل غير طبيعية وغير ناضجة، قد تحدث للعدة اسباب منها؛
• نقص فيتامبن B¹²: أو فقر الدم الخبيث (Pernicious anemia)، حاله يكون فيها الجسم غير قادر على امتصاص فيتامين B¹² بسبب نقص العامل الداخلي في إفرازات المعدة (intrinsic factor).
• نقص حمض الفوليت (Folic Acid deficiency): من ضمن فيتامينات B الذي يساعد في صناعة الخلايا الحمراء.
فقر الدم اللاتنسجي (Aplastic anemia): مرض نادر ينتج عنه تدمر نخاع العظم وبالتالي نقصان انتاج خلايا الدم الثلاث ، تكون فترة النزيف طويله وتكثر الاصابه بالعدوى، في الغالب يصيب كبار السن
فقر الدم الإنحلالي (Hemolytic Anemia) مرض نادر الحدوث، تتحطم فيه الخلايا الحمرا قبل اوانها، يصبح فيه معدل التدمير أكثر من معدل الإنتاج، تظهر أعراض مثل الشحوب، تضخم الطحال واليرقان
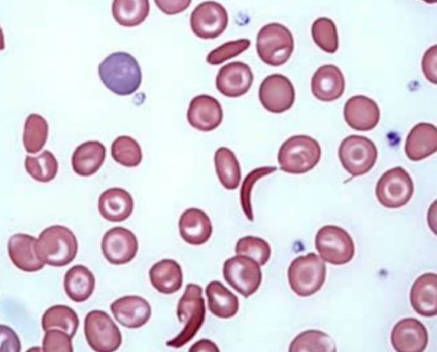
فقر الدم المنجلي (Sickle cell anemia):
مرض موَرث (غير معدي) يؤدي الى إنتاج نوع غير طبيعي من الهيموقلوبين (Hb S) تكون فيه الخلايا الحمراء على شكل هلال، تظهر اعراض مثل التعب، تورم القدم واليدين، مشاكل في الرؤيه وتأخر في النمو، ينصح المرضى بالإكثار من السوائل والابتعاد عن المرتفعات.
فقر دم الفول (Favism):
ناتج عن نقصان إنزيم
Glucose-6- Phosphate-dehydrogenase
إنزيم يساعد الخلايا الحمراء على العمل ويحميها من الضرر، تظهر أعراض مثل الخمول، ارتفاع نبضات القلب، صعوبه في التنفس، اليرقان وتضخم الطحال ( تضهر بعنف بعد تناول الفول او استنشاق حبوب لقاح زهرة الفول).
Sickle cell anemia:
(youtu.be)
Favism (G6PD):
(youtu.be)

جاري تحميل الاقتراحات...