حاتم الكعبي
حاتم الكعبي

@Pt_hatem

11 تغريدة 25 قراءة Sep 04, 2020
#تجميع_معلومات 💡
أكيد بتمر عليكم حالات كسور بعيادة العلاج الطبيعي سواءً حديثة Acute او قديمة Chronic موضوع اليوم تلخيص لأهم المضاعفات Complications of Fractures
مابعد الكسور، يهمك تعرفها كأخصائي علاج ط سواءً في التقارير الي تمر عليك او للمعرفة خصوصاً المهتمين في الأُرثو🤓📚
يمكننا أن نقسم مضاعفات مابعد الكسور الى ثلاثة تصانيف رئيسية:
١- مضاعفات فورية immediate cx
وتصير وقت حدوث الكسر مباشرةً.
٢- مضاعفات مبكرة Early cx
وتصير في اول ثلاثة ايام من الكسر.
٣- مضاعفات متأخرة
وتصير بعد فترة ايام طويلة من الكسر.
Hypovolaemic Shock
أشهر سبب للوفاة بسبب كسر وغالبا بيصير من كسر عظام مثل الحوض او الفخذ
تعني حصول نزيف داخلي او خارجي: داخلي يكون اخطر في الكسور القريبة من البطن والاعضاء والخارجي في الكسور المضاعفة Compound fx .
يصير نقص حاد في منسوب الدم hypovolaemia يفقد المصاب ٢٠٠٠ مل من 🩸
Fat Embolism Syndrome
وهي الحالة الي يصير فيها انسداد للاوعية الدموية بخثرة دهنية، تطلع من نخاع العظم المكسور! وهي حالة مشهورة في الكسور المضاعفة وتكون خطيرة خصوصاً للكسور في اللور لمب.
ايش خطرها؟
ممكن تسبب جلطة رئوية|قلبية وينتبه لها بمراقبة العلامات الحيوية وعلامات الجلطة.
Deep Venous Thrombosis DVT
وهي اشهر مضاعفات كسور الجزء السفلي وكسور العمود الفقري، وتصير بسبب عدم حركة الجزء المكسور او تنويم المريض ف تبدأ تتكون خثرات دموية تسد شرايين مهمة ممكن تسبب جلطة دماغية او رئوية، ومن اهم علاماتها تورم البطة وسخونيتها والم عند تحريك الكاحل Homan's sign
Infection - Osteomyelitis
إصابة العظم بالعدوى خصوصاً للكسور اللي تتثبت تثبيت خارجي External Compounding لانها بتعطي فرصة لدخول الجراثيم والعدوى. وممكن تتحول العدوى الى غرغرينة.
Compartment Syndrome
وهي حالة يصبح فيها عند التجمعات العضلية زي البطة في الساق نقص تروية دموية ischemia تسبب تورم والم في هذه العضلات نتيجة الشد العضلي Contractures واشهر الأماكن الي تحصل فيها هي:
- supracondylar fx of humerus 🦴
- forearm fx closed
- closed tibial fx
Avascular Necrosis
واللي هي عدم وصول الدم لمنطقة الكسر ممايسبب موت النسيج العظمي والي في الغالب يصيب الاماكن:
Head femur
Proximal Scaphoid bone
Body of Talus bone
ايش مخاطرها ؟
ممكن تسبب لنا في الغالب لتشوه العظم وتآكله وبعد سنين قليلة يصير فرصة خشونة Osteoarthritis
Sudeck's Dystrophy
وهي حالة تصبح فيها أعصاب (مستقبلات الألم) المنطقة الي فيها ضربة الكسر متهيجة وحتى بعد شفاء الكسر يضل الألم والتورم موجود، وفي هذه الحالات للعلاج الطبيعي دور مهم جداً في السيطرة على الألم.
📎| youtu.be
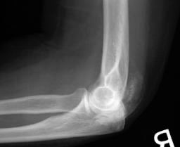
Myositis Ossificans
وهو تجمع دموي يصير حول المفصل الي فيه كسر ممايسبب تكوّن كتلة عظمية تقفل المفصل جزئيا او بشكل كامل، وهي شائعة عند كسور الأطفال واكثر مفصل تصير فيه Elbow Joint.
ملاحظة احياناً بعض المرضى الي يدلكون مكان الكسر ويسوون مساج عليه يكون سبب في حصول هالحالة لهم ⚠️
هذا كل الي عندي بالنسبة لأهم المضاعفات بعد الكسور اذا نسيت شيء اكتبوه لي تحت هالتغريدة 😌
تعمدت ما اذكر المضاعفات الخاصة بالمفاصل والاربطة زي تيبس المفصل الـstiffness و mal union (التحام العظم المشوه) وتأخر التئام العظم لأن موضوعها طويل وعميق ويحتاج ثريد لوحده👌🏽📝

جاري تحميل الاقتراحات...