Nasser Alshamli-ناصر الشملي
Nasser Alshamli-ناصر الشملي

@ntoosh

14 تغريدة 845 قراءة Jul 30, 2020
اذا كنت مريض #قرنية_مخروطية وناوي على عملية #زراعة_عدسة ICL داخل العين !! فلعلك سمعت عن محاسنها من الجراح ولا يمنع ان تتابع السرد لتتعرف على تبعاتها المحتملة ايضا 👇
#معا_لتغيير_حياة_مرضى_القرنية_المخروطية
زرع عدسة داخل العين هو إجراء جراحي وكما هو الحال في أي إجراء طبي آخر ، هناك مخاطر تنطوي عليها، لهذا السبب من المهم أن تفهم قيود ومخاطر جراحة زرع العدسة لتزن بعناية المخاطر والفوائد وأن تحاول تجنب التأثر بأشخاص آخرين يشجعونك على القيام بذلك 👍
المخاطر المحتمله:
- قد تفقد الرؤية!! حيث انه في حالات نادره ولكن محتمله ان يفقد بعض المرضى الرؤية نتيجة لهذا العمل الجراحي وللاسف قد لا يمكن تصحيحها باستخدام النظارات أو العدسات اللاصقة لاحقا !! أو أي جراحة أخرى وقد يكون مقدار فقدان هذه الرؤية شديدًا.
- اعراض بصريه مزعجة متوقعه بعد الجراحه !! قد يصاب بعض المرضى بالوهج ، والهالات ، أو الرؤية المزدوجة ، و / أو ضعف الرؤية في حالات الإضاءة المنخفضة المستوى التي يمكن أن تسبب صعوبة في أداء المهام اليومية ، مثل القيادة ، خاصة في الليل.
- قد تحتاج لإزالة العدسة واعادة زراعتها !! إذا كانت قوة العدسة غير صحيحة ، فقد تكون هناك حاجة إلى استبدال العدسة المزروعه ولكن للاسف عمليه الاستبدال ليست بسهوله العملية الاولى !! لذلك كل عملية جراحية إضافية لها مخاطرها الخاصة.
- قد تكون نتيجة النظر مخيبة لأملك في نظر 6/6 !! فلا يوجد جراح يضمن لك ذلك !! وهذا يعني أنك ستظل على الأرجح بحاجة إلى نظارات أو عدسات لاصقة لأداء بعض المهام على الأقل ، على سبيل المثال ، قد تحتاج إلى نظارات للقراءة ، حتى لو لم تكن بحاجة إليها قبل العمليه .
- ارتفاع ضغط العين ( النزول الاسود ) وارد جدا بعد عماية زراعه العدسه ! قد تعاني من زيادة الضغط داخل العين بعد الجراحة ، وقد يتطلب جراحة أو دواء للتحكم في ضغط العين وقد تحتاج إلى علاج طويل الأمد بأدوية الجلوكوما وإذا كان الضغط مرتفعًا جدًا لفترة طويلة فقد تفقد الرؤية خاصه الطرفيه!
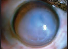
- قد تسبب عتامه مزمنه في القرنية ! أظهرت بعض تصميمات العدسات أن زراعتها يسبب فقدان الخلايا المبطنه للطبقة الداخلية للقرنية والتي تتحكم في تشرب القرنية للسوائل وينتج عن ذلك عتامة تفقد الرؤية وقد تحتاج الشخص لعملية زرع القرنية من أجل الرؤية بشكل أكثر وضوحًا !!
- النزول او الماء الابيض cataract او اعتام عدسه العين الداخليه الطبيعيه وارد ايضا في عمليات زراعه العدسه وهنا تتعقد الامور اكثر من المعتاد حيث يجب ازاله العدسه المزروعه والعدسه الطبيعيه ثم اعادة زراعه جديده قد تحتاج الى اكثر من جراحه !!!
- انفصال الشبكيه اثناء او بعد جراحه زراعه العدسه وارد ايضا ، ويزداد خطر انفصال الشبكية مع المصابين اصلا بقصر نظر شديد نتيجه ضعف الشبكيه وعدم تماسكها بسبب الشد الناجم عن طول العين في حالات قصر النظر الناجم عن طول العين نفسها !!
- التهابات العين الداخليه او الخارجية وارده ايضا مع عمليه زراعه العدسات ، فقد يعاني المريض من عدوى أو نزيف أو التهاب شديد (ألم ، احمرار ، وضعف في الرؤية)، وهذه مضاعفات نادرة يمكن أن تؤدي في بعض الأحيان إلى فقدان دائم للرؤية أو فقدان للعين في حالات نادرة جدا .
الخلاصة:
عملية زراعه العدسات تظل احد الحلول المقترحه لمرضى ضعف النظر الشديد او مرضى القرنيه المخروطيه ، لا تقدم عليها الا بعد استنزاف الخيارات غير الجراحيه وان قررت الاقدام عليها فكن على علم بعواقبها المحتمله 👆

جاري تحميل الاقتراحات...